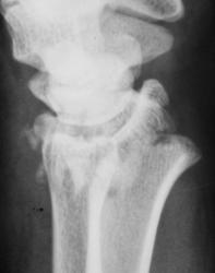
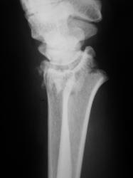
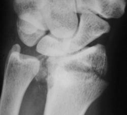
Маловато будет. Дополняю... Со смещением к тылу под углом и по ширине, плоскость эпифиза лучевой кости открыта к тылу под углом *** градусов (стояние отломков неудовлетворительное). Разрыв дистального луче-локтевого сустава.
Что значит ///Выпендрился///? Я с Вами, г-н Орехов, на брудершафт не пил, давайте оставаться на "Вы".
///Стояние отломков определяют при репозиции!/// Каждое слово в отдельности понятно, а предложение в целом - нет. Переведите, пожалуйста.
///И что значит "разрыв дистального луче-локтевого сустава", как Вы определили, что он разорван?/// Также, как и разрыв дистального межберцового синдесмоза - по ширине-с.
Я с Вами, г-н Орехов, на брудершафт не пил, давайте оставаться на "Вы
--- Извиняйте, не хотел обидеть.
Стояние отломков определяют при репозиции!
--- Репозиция-составление "мозаики" отломков в общее целое. После гипсовой иммобилизации, контрольный снимок и определение стояния отломков, т.е. устранено смещение или нет. Вроде понятно объяснил.
Также, как и разрыв дистального межберцового синдесмоза - по ширине-с.
--- А разве внутрисуставной перелом не является несомненным признаков разрыва.
ОК, я понял. Вашу фразу ///Стояние отломков определяют при репозиции!///, следует читать ///Стояние отломков определяют после репозиции!/// У меня другое мнение: стояние отломков описывается всегда. Меня учили писать оценочную характеристику: удовлетворительное/неудовлетворительное. Возможно, это зависит от школы. Если не оценивать, все равно надо описывать объективную картину: смещение в см/мм/долях-поперечника-кости и градусах.
Теперь об этом: ///А разве внутрисуставной перелом не является несомненным признаков разрыва.///. Обычно пишу не то, что подразумевается, а то, что имеется.
Кстати, не внутрисуставной перелом является несомненным признаков разрыва, а разрыв является спутником/следствием выраженного углового смещения отломков. Так более по-русски, да и причинно-следственная связь сохранена. Если нет углового смещения к тылу, то может не быть и разрыва сочленения.
Отвечаю как коллеге. ///Что есть что? Когда можно говорить о неудовлетворительном или наоборот?/// Точных данных под рукой нет, очень велика доля субъективизма. Общее правило: "Ну, не нравится мне это!!!". Все смещения по ширине просто отмечаю, в долях (1/4, 1/3, 1/2) от поперечника кости, Главное, стояние оси. Угловые смещения до 10 градусов считаются допустимыми. Плоскость эпифиза лучевой кости в норме открыта кпереди под углом 5-10 град. Горизонтальное положение можно считать допустмым. Небольшой наклон плоскости эпифиза кзади - можно считать относительно допустимым, но должен отмечаться в протоколе http://www.radiomed.ru/content/travma-pierielom-biez-smieshchieniia-kostnykh-otlomkov. Представленный случай ни в какие ворота не лезет: тут верные 25 град., более того предположительная ось кисти проецируется за пределы заднего края лучевой кости.
///какое смещение необходимо для разрыва?/// Отвечу максимально откровенно - не знаю. Тут - точно разован, щель широка. Сужу по аналогии с голеностопом. Известно, что при переломе н/3 малоберцовой кости выше лодыжки в 100% есть разрыв дистального межберцового синдесмоза (биомеханика перелома такова), а отражаю я его при наличии широкой щели.
Хирург не ошибся, перелом классический, "луча в типичном месте", как любят писать травматологи. Да еще и внутрисуставной, оскольчатый.
луча в типичном месте
Прийди к Себе
Маловато будет
. Дополняю... Со смещением к тылу под углом и по ширине, плоскость эпифиза лучевой кости открыта к тылу под углом *** градусов (стояние отломков неудовлетворительное). Разрыв дистального луче-локтевого сустава.
Андрей Юрьевич
Выпендрился,значит
Стояние отломков определяют при репозиции!
И что значит "разрыв дистального луче-локтевого сустава", как Вы определили, что он разорван?
Что значит ///Выпендрился///? Я с Вами, г-н Орехов, на брудершафт не пил, давайте оставаться на "Вы".
///Стояние отломков определяют при репозиции!/// Каждое слово в отдельности понятно, а предложение в целом - нет. Переведите, пожалуйста.
///И что значит "разрыв дистального луче-локтевого сустава", как Вы определили, что он разорван?/// Также, как и разрыв дистального межберцового синдесмоза - по ширине-с.
Андрей Юрьевич
Я с Вами, г-н Орехов, на брудершафт не пил, давайте оставаться на "Вы
--- Извиняйте, не хотел обидеть.
Стояние отломков определяют при репозиции!
--- Репозиция-составление "мозаики" отломков в общее целое. После гипсовой иммобилизации, контрольный снимок и определение стояния отломков, т.е. устранено смещение или нет. Вроде понятно объяснил.
Также, как и разрыв дистального межберцового синдесмоза - по ширине-с.
--- А разве внутрисуставной перелом не является несомненным признаков разрыва.
Уважаемый коллега Орехов!
На сайте "Радиамед" не принято обращаться к коллегам в неуважительной форме, хотя, он является одним из самых демократичный сайтов.
С уважением к Вам, модератор сайта В. Катенёв.
ОК, я понял. Вашу фразу ///Стояние отломков определяют при репозиции!///, следует читать ///Стояние отломков определяют после репозиции!/// У меня другое мнение: стояние отломков описывается всегда. Меня учили писать оценочную характеристику: удовлетворительное/неудовлетворительное. Возможно, это зависит от школы. Если не оценивать, все равно надо описывать объективную картину: смещение в см/мм/долях-поперечника-кости и градусах.
Теперь об этом: ///А разве внутрисуставной перелом не является несомненным признаков разрыва.///. Обычно пишу не то, что подразумевается, а то, что имеется.
Кстати, не внутрисуставной перелом является несомненным признаков разрыва, а разрыв является спутником/следствием выраженного углового смещения отломков. Так более по-русски, да и причинно-следственная связь сохранена. Если нет углового смещения к тылу, то может не быть и разрыва сочленения.
Андрей Юрьевич
Мой Вопрос как к коллеге: какое смещение необходимо для разрыва?
Ваши слова "Меня учили писать оценочную характеристику: удовлетворительное/неудовлетворительное"
Вопрос: Что есть что? Когда можно говорить о неудовлетворительном или наоборот?
Отвечаю как коллеге
. ///Что есть что? Когда можно говорить о неудовлетворительном или наоборот?/// Точных данных под рукой нет, очень велика доля субъективизма. Общее правило: "Ну, не нравится мне это
!!!". Все смещения по ширине просто отмечаю, в долях (1/4, 1/3, 1/2) от поперечника кости, Главное, стояние оси. Угловые смещения до 10 градусов считаются допустимыми. Плоскость эпифиза лучевой кости в норме открыта кпереди под углом 5-10 град. Горизонтальное положение можно считать допустмым. Небольшой наклон плоскости эпифиза кзади - можно считать относительно допустимым, но должен отмечаться в протоколе http://www.radiomed.ru/content/travma-pierielom-biez-smieshchieniia-kostnykh-otlomkov. Представленный случай ни в какие ворота не лезет: тут верные 25 град., более того предположительная ось кисти проецируется за пределы заднего края лучевой кости.
///какое смещение необходимо для разрыва?/// Отвечу максимально откровенно - не знаю. Тут - точно разован, щель широка. Сужу по аналогии с голеностопом. Известно, что при переломе н/3 малоберцовой кости выше лодыжки в 100% есть разрыв дистального межберцового синдесмоза (биомеханика перелома такова), а отражаю я его при наличии широкой щели.
Ну, вот и все, пожалуй.
Андрей Юрьевич