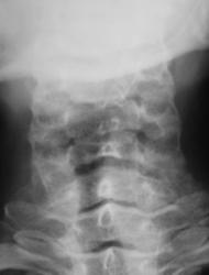
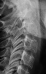
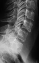
Пациент предъявляет жалобы на боли в плечевом суставе. Направлен на рентгенографию плечевого сустава хирургом. Со стороны плечевого сустава (рентгенограмма) патологических изменений не выявлено. Произведено исследование шейного отдела позвоночника.




Ваше мнение коллеги?
Валентин Львович! Не могу посчитать позвонки, перекрываются углом нижней челюсти. Ну то, что имеется остеохондроз, это понятно. Аномалия развития в виде расщепления остистого отростка позвонка или C2 или C3 позвонка. Но откуда у С1 остистый отросток?
dok
Уважаемый Валентин Львович!
Вопрос в тему: вы всегда вначале выполняете рентгенографию плечевого сустава, если пациент жалуется на боль в нем или сначала его консультирует невропатолог? Разве только боль является резонной причиной для лучевого метода исследования?
Что же касается данной шеи: считаю необходимым дообследования - рентгенография С1 позвонка "через рот", более информативно будет.