Вы здесь

Пациент в реанимации.

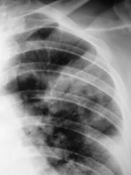
Пациент находится в реанимации, без сознания, информации "нуль".

ИзображениеИзображениеИзображение

ИзображениеИзображениеИзображениеИзображение

Кто, что может посоветовать. Позднее будут томограммы, правда довольно низкого качества.

Gorlina.Anna аватар
Не на сайте
Был на сайте: 9 лет 3 месяцев назад
Зарегистрирован: 20.02.2009 - 12:27
Публикации: 227

Думаю, что в первую очередь стоит остановиться на двухсторонней пневмонии, особенно если кровь воспалительная, лихорадка и хрипы при аускультации. Плюс праволежащая аорта, если я не ошибаюсь? А на фоне антибактериальной терапии отследить динамику. Если не будет положительного эффекта от лечения - тогда рассмотреть другие варианты (только еще не придумала, какие!).

Век живи - век учись...

Катенёв Валентин Львович аватар
Не на сайте
Был на сайте: 7 лет 5 месяцев назад
Зарегистрирован: 22.03.2008 - 22:15
Публикации: 54876

ИзображениеИзображение

ИзображениеИзображение

ИзображениеИзображениеИзображение

ИзображениеИзображениеИзображение

Спасибо Анна за высказанную точку зрения.

Ермолаев аватар
Не на сайте
Был на сайте: 9 лет 3 месяцев назад
Зарегистрирован: 07.02.2009 - 16:33
Публикации: 670

Валентин Львович! А с какой патологией пациент находится в реанимации, как долго? По рентгенограммам и ТМГ можно сказать о двусторонней пневмонии (гипостатическая?). Возможно развитие альвеолярного отека легких. И третий вариант дистресс-синдром, но под большим вопросом.

dok

Катенёв Валентин Львович аватар
Не на сайте
Был на сайте: 7 лет 5 месяцев назад
Зарегистрирован: 22.03.2008 - 22:15
Публикации: 54876

Спасибо за высказанную точку зрения. Информации "нуль". Ушел в отпуск, и в первый день отпуска "началось" - всё везут домой.

Ермолаев аватар
Не на сайте
Был на сайте: 9 лет 3 месяцев назад
Зарегистрирован: 07.02.2009 - 16:33
Публикации: 670

Уважаемый Валентин Львович! Как я Вас понимаю! Закройте глаза и бегите, уезжайте от больницы, как можно дальше! Чем дальше, тем лучше и продуктивнее отдых. Меня правда и в Ессентуках доставали.

dok

Катенёв Валентин Львович аватар
Не на сайте
Был на сайте: 7 лет 5 месяцев назад
Зарегистрирован: 22.03.2008 - 22:15
Публикации: 54876

Меня в том году нашли на Черном море, в Туапсе. Зам гл. врача звонит по мобиле и спрашивает где я, а я отвечаю, что только зашел в море "на уровень выше колен", а он спрашивает, что я там делаю (в отпуске). Материал для М. Задорного.