В рентгеновский кабинет прибыли два пациента для рентгенографии нижней челюсти. Оказывается, накануне, они выясняли между собой отношения, по поводу чего - не помнят. Но, ожидание исследования "рядом" (в ожидальне), их, по всей видимости, полностью примирило.
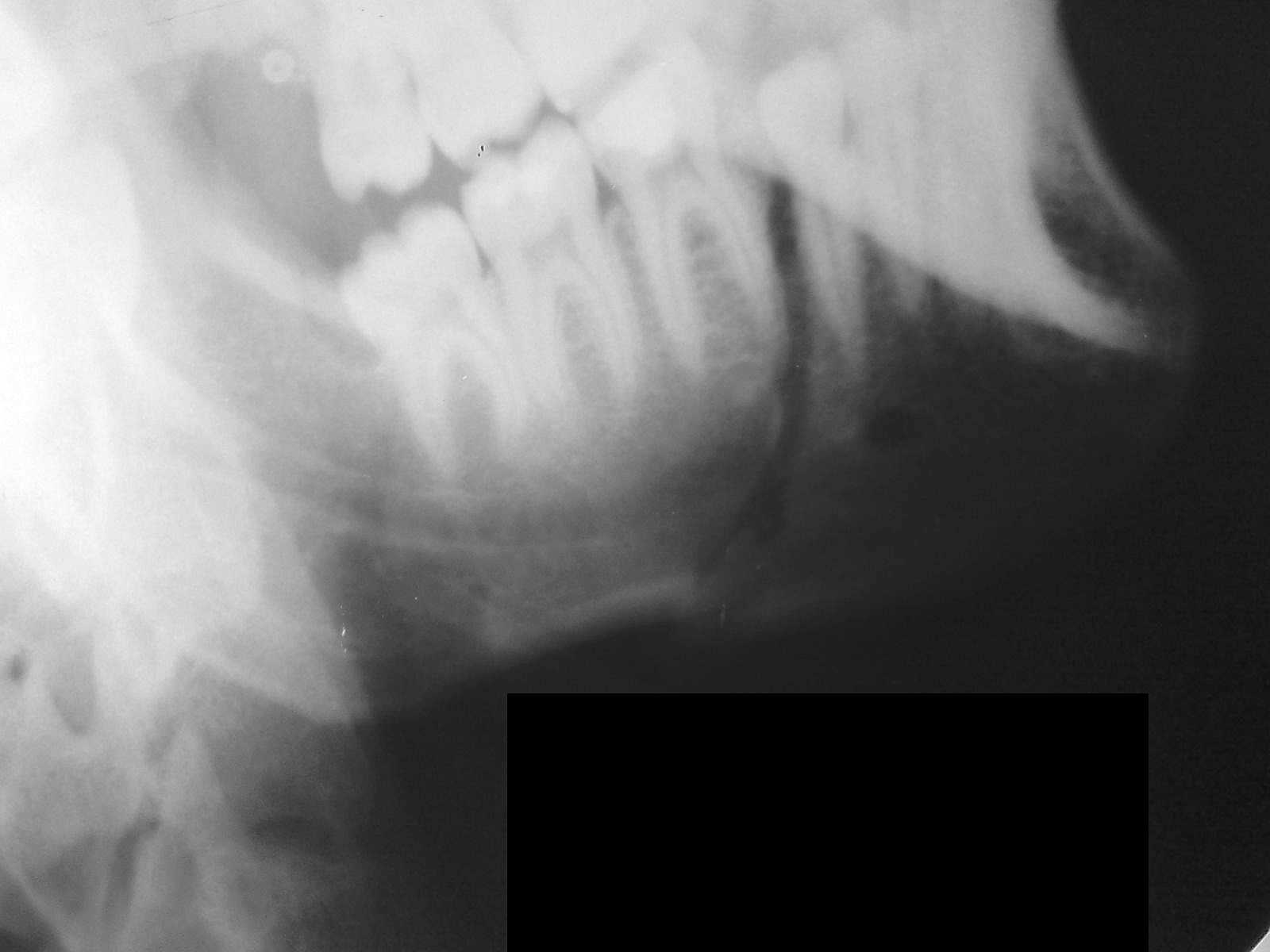
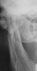
Вот один из них.




Валентин Львович! Результат налицо. Открытый перелом в области 8-го зуба. И на противоположной стороне в области 2-3-го зубов.
dok
Переломы: через лунку 8 с одной стороны, с другой - в обл 3/4.
Замечания: не маркирована сторона, не достаточно косой снимок - наложение сторон. Стоило снять с двух сторон.
Зри в корень!
Владимир Борисович, спасибо, учтем. Просто ургентируют разные лаборанты - одни более ответственны, другие менее.
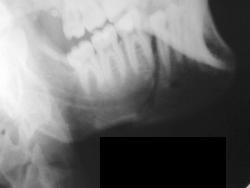
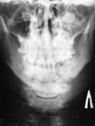
А это визави.
А у нас так ломают челюсти
Зри в корень!
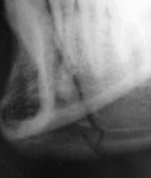
Зашинировали
Зри в корень!
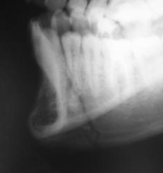
У этого 3 г. назад нелеченная травма, теперь остеомиелит
Зри в корень!
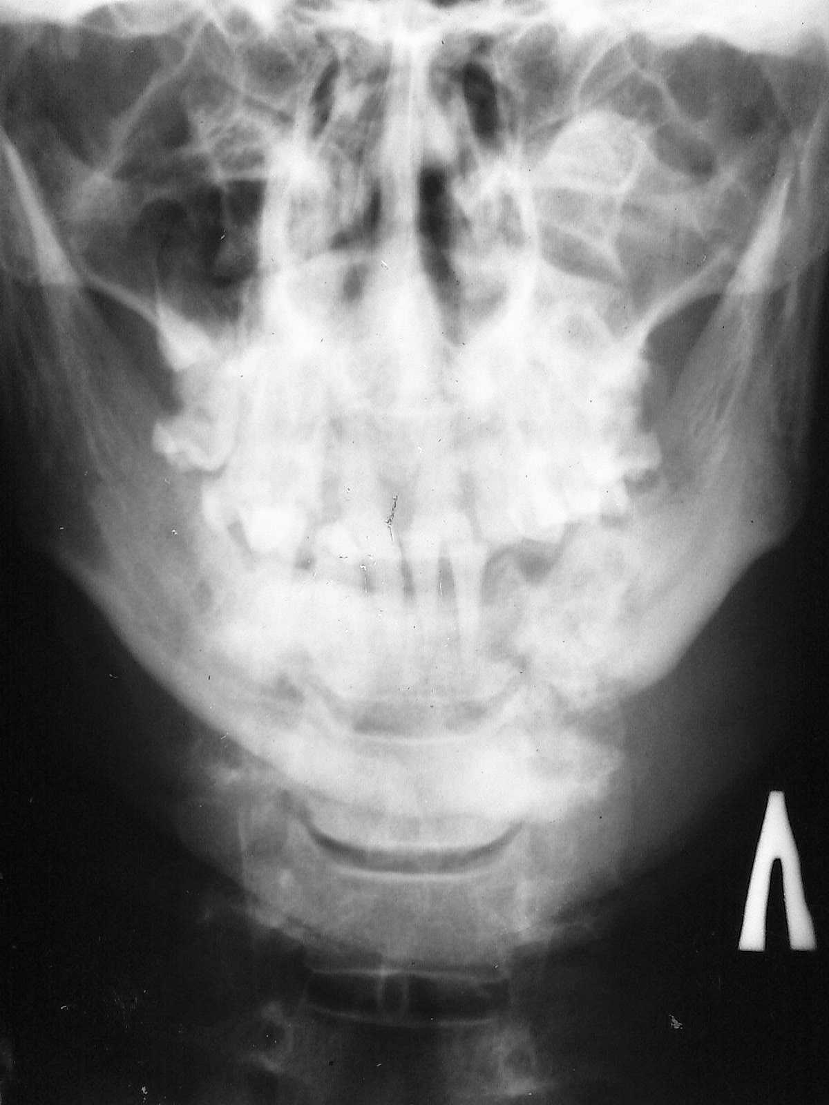
Выяснение "отношений" продолжается.
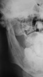
Ваше мнение коллеги.
на мой взгляд здесь перелом суставного отростка
Прийди к Себе