Вы здесь

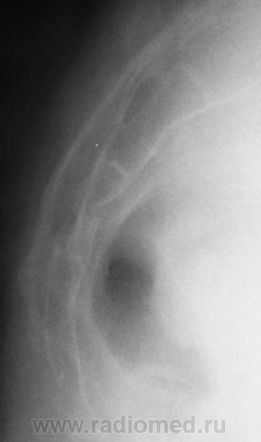
Похоже на перелом.

Пациент направлен на рентгенографию крестца и копчика с диагнозом "Перелом".

Игорь Иванович аватар
Не на сайте
Был на сайте: 3 года 9 месяцев назад
Зарегистрирован: 23.01.2010 - 14:56
Публикации: 3695

Похоже на перелом S4. Я, конечно, не поверю, что Вы обошлись только боковой. Опять интрига?

Катенёв Валентин Львович аватар
Не на сайте
Был на сайте: 7 лет 3 недели назад
Зарегистрирован: 22.03.2008 - 22:15
Публикации: 54876

Уважаемый Игорь Иванович!

Нет никакой интриги. Просто снимок, произведенный в одной боковой проекции (не у нас) был дан для описания.

Игорь Иванович аватар
Не на сайте
Был на сайте: 3 года 9 месяцев назад
Зарегистрирован: 23.01.2010 - 14:56
Публикации: 3695

Если смотреть по задней пов-ти - то все ровно. Но я думаю, что нужно смотреть все-таки по передней, а там есть ступенька в S4. И если была травма и есть клиника - грех не поставить перелом. Хотя это настолько банально, что, я думаю, Вы бы его не выставили.