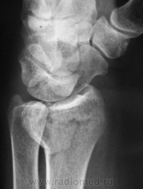
Катенёв Валенти... Дата публикации 12.01.2010, 17:50 Случай 1. Пациент направлен хирургом на рентгенографию лучезапястного сустава. Втр, 12/01/2010 - 18:02 #1 Катенёв Валенти... Не на сайте Был на сайте: 7 лет 3 недели назад Зарегистрирован: 22.03.2008 - 22:15 Публикации: 54876 Случай 2. Пациент направлен на рентгенографию лучезапястного сустава. Comment Upload: Втр, 12/01/2010 - 18:09 #2 Катенёв Валенти... Не на сайте Был на сайте: 7 лет 3 недели назад Зарегистрирован: 22.03.2008 - 22:15 Публикации: 54876 Случай 3. Пациент направлен на рентгенографию плечевого сустава. Comment Upload: Ср, 13/01/2010 - 17:31 #3 Ольга Дмитриевна Не на сайте Был на сайте: 15 лет 9 месяцев назад Зарегистрирован: 13.01.2010 - 16:55 Публикации: 168 По поводу случая 1. С лучом все понятно, а вот переломовывих ладьевидной кости? Как думаете? Красота - гормон карьерного роста! Ср, 13/01/2010 - 22:53 #4 Катенёв Валенти... Не на сайте Был на сайте: 7 лет 3 недели назад Зарегистрирован: 22.03.2008 - 22:15 Публикации: 54876 А вот как трактовать в случае 2 перелом? Ср, 13/01/2010 - 23:47 #5 Ольга Дмитриевна Не на сайте Был на сайте: 15 лет 9 месяцев назад Зарегистрирован: 13.01.2010 - 16:55 Публикации: 168 В случае 2 - на мой взгляд внутрисуставной перелом задненаружного края дист эпифиза лучевой кости. Что за +ткань по нар краю эпифиза луча - сложно сказать, мож ломал раньше. Красота - гормон карьерного роста! Ср, 13/01/2010 - 23:48 #6 Ольга Дмитриевна Не на сайте Был на сайте: 15 лет 9 месяцев назад Зарегистрирован: 13.01.2010 - 16:55 Публикации: 168 Что скажете по поводу случая1? Красота - гормон карьерного роста! Чт, 14/01/2010 - 18:17 #7 Глазков Игорь А... Не на сайте Был на сайте: 9 месяцев 2 недели назад Зарегистрирован: 19.12.2008 - 20:41 Публикации: 1597 оскольчатый перелом лучевой кости. Прийди к Себе Пт, 15/01/2010 - 22:26 #8 Катенёв Валенти... Не на сайте Был на сайте: 7 лет 3 недели назад Зарегистрирован: 22.03.2008 - 22:15 Публикации: 54876 "Красиво" упал. "Красивый" перелом Comment Upload: Вс, 17/01/2010 - 09:48 #9 Катенёв Валенти... Не на сайте Был на сайте: 7 лет 3 недели назад Зарегистрирован: 22.03.2008 - 22:15 Публикации: 54876 Случай 5. Comment Upload:
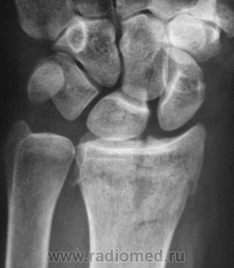
Случай 2. Пациент направлен на рентгенографию лучезапястного сустава.
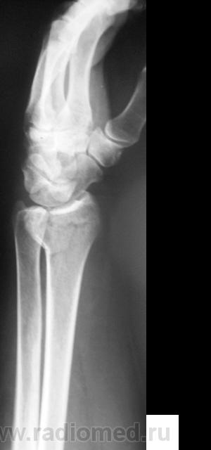
Случай 3. Пациент направлен на рентгенографию плечевого сустава.
По поводу случая 1. С лучом все понятно, а вот переломовывих ладьевидной кости? Как думаете?
Красота - гормон карьерного роста!
А вот как трактовать в случае 2 перелом?
В случае 2 - на мой взгляд внутрисуставной перелом задненаружного края дист эпифиза лучевой кости.
Что за +ткань по нар краю эпифиза луча - сложно сказать, мож ломал раньше.
Красота - гормон карьерного роста!
Что скажете по поводу случая1?
Красота - гормон карьерного роста!
оскольчатый перелом лучевой кости.
Прийди к Себе
"Красиво" упал. "Красивый" перелом
Случай 5.