Вы здесь

Разрыв дистального луче-локтевого сочленения?

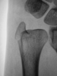
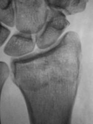
Пациент направлен врачом общей практики (ВОП) на рентгенографию лучезапястного сустава с диагнозом "Перелом?". Произведено стандартное исследование лучезапястного сустава. Выявлен перелом лучевой кости в типичном месте почти без смещения отломков, перелом локтевой кости в области основания шиловидного отростка с незначительным смещением отломков по ширине. Возникает подозрение на разрыв дистального луче-локтевого сочленения. Ваше мнение коллеги?

ИзображениеИзображениеИзображениеИзображение

Изображение

 

Ермолаев аватар
Не на сайте
Был на сайте: 8 лет 10 месяцев назад
Зарегистрирован: 07.02.2009 - 16:33
Публикации: 670

Валентин Львович! Мне думается, что Вы и сами все уже изложили.

dok

Андрей Юрьевич аватар
Не на сайте
Был на сайте: 1 неделя 4 дня назад
Зарегистрирован: 16.11.2008 - 22:16
Публикации: 18098

может и я так бы написал (вернее - с небольшим угловым смещением отломков к тылу), НО... Сейчас придет Белоусов и докажет, что поскольку плоскость эпифиза лучевой кости открыта к тылу - стояние отломков неудовлетворительное. Подождем, вдруг лействительно придетУлыбается

Андрей Юрьевич

Катенёв Валентин Львович аватар
Не на сайте
Был на сайте: 7 лет 3 недели назад
Зарегистрирован: 22.03.2008 - 22:15
Публикации: 54876

Спасибо за комментарии и высказанное мнение.