Стандартно проведенное рентгенологическое исследование пищевода, а не спор, что информативнее - рентгенологическое исследование, эндоскопия или КТ, решает многие вопросы.
А вот специалисты - эндоскописты в данном случае "пролетели".
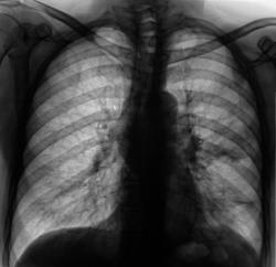
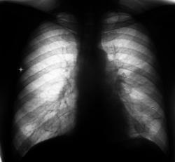
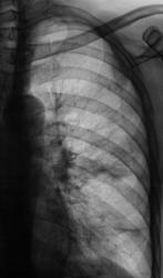
Флюорограмма.
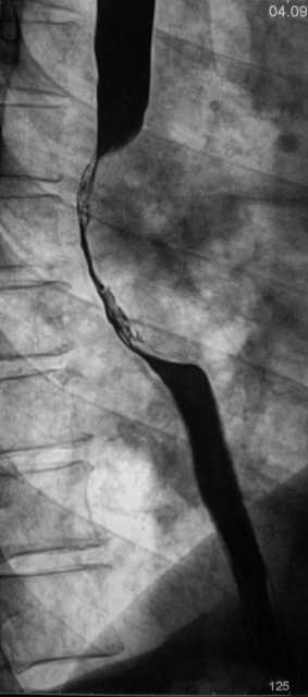
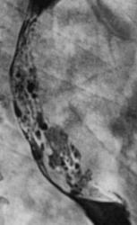
Рентгенограммы и их фрагменты.
Линейные томограммы в прямой проекции
Линейные томограммы в боковой проекции
| Вложение | Размер |
|---|---|
| 62.2 КБ | |
| 68.48 КБ | |
| 80.12 КБ | |
| 87.44 КБ | |
| 107.17 КБ | |
| 84.88 КБ | |
| 90.24 КБ | |
| 68.2 КБ | |
| 85.57 КБ | |
| 101.71 КБ | |
| 113.13 КБ | |
| 94.24 КБ | |
| 56.06 КБ | |
| 64.22 КБ | |
| 80.55 КБ | |
| 81.68 КБ | |
| 84.79 КБ | |
| 82.69 КБ | |
| 61.97 КБ | |
| 96.18 КБ | |
| 64.69 КБ | |
| 77.78 КБ | |
| 72.48 КБ | |
| 80.61 КБ | |
| 70.84 КБ | |
| 76.22 КБ |
Дорогой Валентин Львович! Никто не предлагает спорить, всё давно известно и расписано. Изобретать велосипед не имеет смысла! Рентгеноскопическое исследованные пищевода конечно является информативным методом, тем более в "умелых руках", но на данный момент его уже недостаточно при оценке/диагностики органических заболеваний ЖКТ, и это уже аксиома... Например, если у человека рак пищевода, ему лучще сразу выполнить КТ, минуя рентгеноскопию, ибо если начать с скопии, всё равно придётся делать КТ для оценки операбельности, поражения окружающих структур, оценки метастазирования и так далее. А то что как вы пишете "эндоскописты пролетели", это опять свидетельствует не о мало-информативности эндоскопии, а о низкой квалификации врача проводившего исследование, так сказать пресловутый "человеческий фактор". Валентин Львович, давайте не спорить, а наоборот, объединить различные методики, Вы классическую рентгеноскопию, я постараюсь осветить УЗИ, КТ, МРТ, и тогда у нас получится неплохой подбор радиологических презентаций дополняющих друг друга!
Let me see...
radiographia.ru
Вот, Марио высказался о велосипеде, умелых реках и о прочем. Но не высказался по поводу представленного патологического процесса.
Прошу коллег высказать мнение или предположении по поводу предсталеннык изображений в векторе патологического процесса или предположений по поводу, имеющегося патологического процесса.
ОК! С удовольствием!
По представленным снимкам, у меня сложилось впечатление что пищевод как бы сдавлен извне (овал), возможно образованием в заднем средостении; при этом на довольно продолжительном участке есть нарушение архитектоники складок слизистой с множественными участками barium depletion (стрелки), свидетельствующими в пользу изъязвления.
Выводы: изначально хотелось бы узнать анамнез и жалобы; но так как их не представлены, буду рассуждать опираясь только на семиотику. У меня 2 варианта: опухоль пищевода с преимущественно интра-муральным ростом или образование средостения с прямой инвазией пищевода вплоть до слизистой оболочки, в данном случае может быть много вариантов. Моя рекомендация-конечно КТ, посмотреть стенки пищевода и окружающие структуры.
Let me see...
radiographia.ru
Возможно опухоль средостения.
Уважаемые коллеги, мне кажется, что спорить смысла большого нет, ибо любая методика в руках компетентного специалиста всегда результативна, под словом "компетентность" я бы не вкоем случае не хотел ни кого обидеть. Как показывает Dr.Mario подход диагностической службы в странах европы, несколько иной, ноесли сравнивать результат то, он абсолютно одинаков!!!!!!!! Если мы затрачиваем на обследование пациента уйму времени и методик, даже на примере злокачественного новообразования того же пищевода или рак легкого, по алгоритму современной онкологии следует исключать наличие метастазирование в регионарные л/узлы и не только в них, а это проводиться с помощью той же компьютерной томографии. Таким образом после всего проделанного мы всё равно подходим к логическому заключенью, тоже самое и более дополненно в протоколе может изложить врач КТ. Но дело в том, что всё несёт за собой большую отвественность, вот уже второй год пошел как я работаю в рентгенологической службе, и наболюдаю интересную картину абсолютно ни кто из врачей косающихся диагностической службы, не хочет брать на себя ответственность. А значит и порой ясная картина начинает искажаться ну и опять таки вытекают ещё куча обследований и исследований.
А по поводу представленного случая, мне кажется слизистая прослеживается на всём протяжении, местами депо-бария, однако ближе к ретрокардиальному сегменту некоторые сомнения есть. На первом месте думаю что лейомиома( часто главным осложнением является кровотечение), а 2ом образование средостения.
"Знаешь, у некоторых врачей есть комплекс мессии — им необходимо спасать мир. А у тебя комплекс Рубика — тебе необходимо решать головоломки."
Уважаемый v1tal!
Недавно ко мне обратился один из наших коллег за советом, к которому я отношусь несколько более, чем хорошо и даже с известной симпатией, как к "организатору". Так вот, в ответе, к этому коллеге, я "слукавил", написав, что я никакой не организатор, а просто зав. рентгенологическим отделением одной из маленьких ЦРБ и врач-рентгенолог, и все в одном лице. Должен заметить, что каждый из нас, на своем рабочем месте является организатором здравоохранения, будь он зав. отделением, просто врачом, начмедом, главным врачом ЛПУ или начальником Департамента здравоохранения области, ибо "на своём рабочем месте", в пределелах своей компетенции, и в соответствии с должностной инструкции и функциональными обязанностями решает не только "диагностические вопросы", но и "организационные вопросы и задачи" и является организатором здравоохранения.
А главными задачами, среди других, любого здравоохранения, если оно действительно является здравоозранением, являются:
1. Доступность медицинской помощи (в том числе, и специализированной - рентгенологической).
2. Своевременность оказания медицинской помощи (в том числе, и специализированной - рентгенологической).
И правильность данных постулатов, неоднократно доказана и во время "чрезвычайных ситуаций" и "в театре военных действий", где необходимый - "стандартный" минимум диагностических исследований, позволял своевременно оказать помощь, не потеряв времени, а соответственно и сохранить жизнь или здоровье пациенту или пострадавшему.
Вы совершенно правильно заметили, коллега v1tal, что в большинстве случаев, неоправданно долго затягивается "диагностический процесс", который в ряде случаев не является диагностическим, а является процессом "перебора доступных и недоступных методов исследований", а время - то идет. А что решит, в данном, конкретном, представленном мною случае (как впрочем и во многих других) эндоскопия, КТ или что-то другое и прочее? ПОСЛЕДНЕЕ СЛОВО ЗА БИОПСИЕЙ, ну и в ряде случаев - за гистохимией.
Хотя, и мы имеем некоторые повросы к коллегам онкологам, но он к НАМ имеют более основательные и обоснованные претензии, когда пациента "мурыжили" - обследовали, наблюдали "в динамике", консультировали, в общем - "мурыжили", а не направили в профильное специализированное учреждение для оказания действенной помощи.
Вот такие наши организационные заморочки.
Вот Марио советует - КТ.
А что присоветуете Вы уважаемые коллеги? Так что-же в пищеводе?
Да Валентин Львович, я советую КТ, и смею Вас заверить, что выполнив данное КТ, я с могу с очень высокой степени уверенности ответить на Ваш вопрос более точно, чем было указано в моём предыдущем посте. И данный мой совет, это вполне стандартная и общепризнанная диагностическая тактика. Конечно с учётом того, что анамнез у пациента соответствующий. Кстати, будьте добры, напишите пожалуйста немного клинической информации-жалобы, почему направлен и т.д. Иногда, весьма заковыристая радиологическая семиотика, очень легко объясняется банальными фактами из анамнеза и клинической истории.
Let me see...
radiographia.ru
1. Не каждое ЛПУ имеет КТ. А на КТ - очередь. Как мне известно, от многочисленных коллег, которые по вопросам работы, некоторые "по стажировке" были в США и в передовых странах "ЗАПАДА". Так вот они, также свидетельствуют, что не во всех ЛПУ, даже того-же США есть КТ. По свидетельствам этих - же коллег, 50 % врачей лучевых диагностов того-же США - это обычные врачи-рентгенологи ничем не отличающиеся от наших, но вот когда возникают "заморочки" тогда данные пациенты направляются к врачам лучевым диагностам "более узкого профиля", ну прямо как у нас.
2. По поводу клиники. А пациент никаких жалоб не предъявляет и нигде не лечится, и субъективно чувствует себя хорошо, и вообще считает, что "нам делать нечего".
Коллега v1tal: "А по поводу представленного случая, мне кажется слизистая прослеживается на всём протяжении, местами депо-бария, однако ближе к ретрокардиальному сегменту некоторые сомнения есть. На первом месте думаю что лейомиома (часто главным осложнением является кровотечение), а 2 ом образование средостения".
Должен согласиться с Вами коллега v1tal. Теоретически весьма логично и правильно. Но вот вопрос - вопросов - а что-же мне писать в заключительно-рекомендательной части протокола? В больших я сомнениях по поводу "рентгеновских выводов".
На серьи некоторых снимков у меня складывается впечатлене о наличие магкотканного компонента данного образования, может это и иллюзия, но хочу подвести к тому что при злокачестенном образовании данной протяженности( а тут более 10см), были бы клинические проявления как общего состояния пациента так и со стороны анализов крови. Так что надо думать о наличие доброкачественного образования, другое дело что эндоскописты не могут подлезти к этому "делу" ни как это возможно при не измененной слизистой. Надо настаивать на взятие повторного биоптата.
Всё же мне кажется больше данных за лейомиому.
"Знаешь, у некоторых врачей есть комплекс мессии — им необходимо спасать мир. А у тебя комплекс Рубика — тебе необходимо решать головоломки."
Уважаемый v1tal!
Спасибо за высказанную точку зрения.
Так, что в выводах в протоколе писать "Лейомиому" под вопросом?
А биоптат брать откуда, если коллеги зададут вопрос.
И Вы не обижайтесь, что я обращаюсь к Вам, так как кроме Марио и Вас - все остальные молчат.
А насчет "мягкотканного компонента", по большому счету, конечно Вы правы.
Соглашусь коллегой v1tal, картина достаточно характерна для лейомиомы пищевода( посмотрите книгу Тагера "Рентгенодиагностика заболеваний пищевода").Да и клиника подтверждает это. Кончно, КТ прояснит ситуацию ( dr.Mario прав, если есть возможность сразу сделать КТ, в подобной ситуации. то R-скопия пищевода не нужна, но всё зависит от доступности КТ, для большинства больниц России пока это роскошь). Эндоскописты не нашли изменений т.к. образование подслизистое ( они его не видят).
Коллеги! Может я и назойливо повторяюсь, но в плане заключения по данному случаю, мы пока не имеем право чётко судить, зло- здесь или добро, а может это и болезнь Крона (хотя такое эндоскописты должны были бы увидеть). Пока есть признаки объёмного образования, и кстати не доказано пока (рентгенологически) что изначально этот объём исходит именно из пищевода. Депо бария (barium depletions спасибо за перевод v1tal!) на некоторых участках есть; и нарушение архитектоники слизистой в некоторых участках тоже есть. Так как эндоскопия не дала результата, и если предположить что имеем дело с лейомиомой, то большая вероятность того, что биопсия окажется негативной, так как не всегда биопсийные шипцы могут "пробить" слизистую и дойти до более глубоких слоев стенки. Поэтому, я всё равно полагаю что в данном случае показано КТ исследование.
Валентин Львович, вот по поводу врачей радиологов США, вы очень заблуждаетесь! В этом вопросе я могу вас заверить, что независимо от того где и как кто работает в Штатах, за 5 лет специализации вдалбливают все методики, и в большинстве не очень крупных клиниках, врачи работают по протоколу ротации, т.е. месяц на КТ, месяц на УЗИ, месяц на рентгене и так далее. В более крупных клиниках, работа идёт по принципу подразделений (radiology divisions), нейрорадиология, мышечно скелетная, кардио-пульмонарная и тал далее. И там все владеют всеми методами, без исключений. А вот УЗИ, как не странно, в США выполняет техник, а не врач (!), радиологи только читают сонограммы (я лично полагаю что это не совсем правильно).
Let me see...
radiographia.ru
Уважаемый Валентин Львович, к своему стыду
из доброкачественных новообразований пищевода, встречался только с лейомиомой поэтому соответственно мысли только о ней. Я же хочу подвести к тому, что пациента можно направить в областной центр и там обследовать, состояние не угрожающее вданный момент для пациента. А в том, что возникли трудности с заключением, это часто бывает, если вы сомниваитесь но есть предположение, выставляется диф.диагностика и это не значит, что это глупо, не забывайте -окончательно морфологи уточнят.
"Знаешь, у некоторых врачей есть комплекс мессии — им необходимо спасать мир. А у тебя комплекс Рубика — тебе необходимо решать головоломки."
Из доброкачественных опухолей пищевода, ещё существуют другие редкие образования: невриномы, энтерогенные кисты и очень редкие по типу кистозной дисплазии слизистой оболочки. А также надо помнить о лимфомах и злокачественных вариантах опухолей типа лейомиом, исходящих из стромы, которые сейчас обозначаются как : GIST gastrointestinal stromal tumors, лейомиома как раз попадает под доброкачественный вариант GIST.
Let me see...
radiographia.ru
А если, уважаемые коллеги, Вам будет сообщен интереснейший факт, что данного пациента, никто и ни на какое исследование (я имею в виду врачей клиницистов) не направлял. Но пациент, в рентгеновский кабинет и на рентгеновское исследование попал на законных основаниях, согласно жесткому стандарту и регламенту исследования.
GIST- лейомиома с дальнейшим озлакачествлением или как первично злокачественная форма?
"Знаешь, у некоторых врачей есть комплекс мессии — им необходимо спасать мир. А у тебя комплекс Рубика — тебе необходимо решать головоломки."
Очень интересно! Значит это и есть тот фактор о котором я писал, должна быть хоть какая либо информация для правильной оценки исследования!
Предположу такую версию, уже озвученною мной ранее. Пациент проходил, допустим, рутинную рентгенографию грудной полости, Валентин Львович увидел патологию заднего средостения на полученных снимках, и принял решение сделать рентгеноскопию пищевода, что бы уточнить что к чему доступными в его отделении методами.
Let me see...
radiographia.ru
Нет, это отдельная форма. То что раньше называли саркомами. Опухоль довольно редкая, я в своей практике раза 2 встречал, да и то в более типичной локализации-желудок.
Let me see...
radiographia.ru
Валентин Львович но ведь у него на руках, Ваши снимочки с заключением.....Я что то ни могу понять а ему проводили ФГДС или нет? И всё же у него заключение со снимочками есть, он в праве просить полного обследования.
"Знаешь, у некоторых врачей есть комплекс мессии — им необходимо спасать мир. А у тебя комплекс Рубика — тебе необходимо решать головоломки."
Уважаемые коллеги, почитав предыдущие посты, у меня сложилось впечатление, что мы говорим о разных вещах. Давайте определимся.
1. Существуют стандарты, алгоритмы исследования, применяемый и у нас в стране и за рубежом (по крайней мере, могу сказать точно о Германии, Австрии, Бельгии, Нидерландах): методы первичной диагностики, к которым в случае заболеваний ЖКТ относятся рентгеноскопия и эндоскопия; а также методы уточняющей диагностики, к которым относятся КТ, эндоУЗИ, в ряде случаев - МРТ. Выбор метода уточняющей диагностики зависит от целей исследования и осуществляется, а в идеале - выполняется, специалистом по лучевой диагностики. Исходя из вышесказанного, врач-диагност ОБЯЗАН знать, какую дополнительную информацию может дать тот или иной метод, а в идеале - владеть этими методами. В этой части я полностью солидарна с доктором Марио, цель которого, как я понимаю, продемонстрировать возможности КТ и обучить коллег. В этой части, коллеги, все карты нам в руки...
2. Существуют субъективные факторы: организация службы лучевой диагностики, комплектация и возможности оборудования, и, наверное самое важное, уровень подготовки специалистов. Думаю многие коллеги сталкивались с бредовой ситуацией, когда после КТ, МРТ назначается традиционная рентгенография... К сожалению, мы вряд ли сможем повлиять на это. И здесь я категорически согласна с Валентином Львовичем: надо получать максимум информации, тем методом, который доступен.
Исходя из вышесказанного, по данному случаю: сдавление просвета и смещение пищевода мягкотканным образованием, выходяшим за пределы стенки, изъязвление передней стенки пищевода. Заключение: подслизистая опухоль пищевода с изъязвлением, вероятнее всего лейомиома. Рекомендации: эндоУЗИ с биопсией, КТ.
"самоуверенность дилетантов - предмет зависти профессионалов"
tatyana спасибо за Ваш пост. Разрешите немого не согласится по поводу Эндо-УЗИ, ибо образование довольно крупное, а эндо УЗИ датчики имеют высокую разрешаемость но УВЫ, очень низкую пенетрационную способность (они как правило частотой 9-15-17 Мгц), поэтому если образование или патологический процесс распространяется дальше чем на 2-3 см от поверхности датчика, мы его на эндо-УЗИ не увидим, т.е. не сможем полностью оценить что это, откуда и куда идёт.
Let me see...
radiographia.ru
А мне кажется мы едины в выводе
"Знаешь, у некоторых врачей есть комплекс мессии — им необходимо спасать мир. А у тебя комплекс Рубика — тебе необходимо решать головоломки."
Мною представлен "хвост" случая. Но примененная нами тактика, является самой разумной и правильной, как-бы кто, что ни говорил.
Все просто до банальности. Пациент проходил профилактическое флюорографическое исследование органов грудной полости (жалоб нет), и сразу, в тот же день был взят мною на контроль по поводу подозрения на наличие "перибронхиального" рака и в течение 2-х часов "на нашем уровне дообследован", а на следующий день был срочно направлен в областной онкологический диспансер на консультацию "именно к специалистам" и на адекватное дообследование.
На мой взгляд "периферийного рентгенолога" это и является тем тактическим стандартом, к которому мы все должны стремиться, должна быть онкологическая настороженность и если что-то заподозрено - "отправь к специалисту".
Господа эндоскописты "что-то не смогли" войти в пищевод.
Валентин Львович, это и называется "что и требовалось доказать". Вы в данном случае большой молодец, при своих возможностях выполнили весь нужный объём исследования. И своим последним постом подтвердили и мою правоту, когда я сразу написал что это может быть образование извне с поражением пищевода; и надо выполнять КТ, что надеюсь пациенту и выполнять в том учреждении, в которое вы его направили.
Спасибо за публикацию, она весьма интересна и показательно. Тем более подтверждает то суждение, которое я вам написал час назад в личном сообщении.
Let me see...
radiographia.ru
Марио, поскольку образование имеет неравномерную толщину, эндоУЗИ поможет эндоскопистам сориентироваться с местом биопсии, т.к. при эндоскопии почему-то? не видна ни опухоль ни изъязвление... Полагаю, что достаточно было бы повторной эндоскопии...
На самом деле, большая часть информации уже получена при рентгеновском исследовании, а сейчас мы уже обсуждаем нюансы, как-то гистологическая структура опухоли.
"самоуверенность дилетантов - предмет зависти профессионалов"
А в отношении "специалистов", к сожалению в этом и заключается отличие западной и советской школы (надеюсь что только пока, и ситуация изменится). В Европе или Америке, пациента бы сразу взяли на КТ, и прояснили ситуацию "окончательно" в течении тех же 2-х часов, теми же врачами, которые и посмотрели изначальную рентгенограммы (специалистами радиологами), не отправляя его никуда далее для до-обследования, вопрос был бы решён быстрее и более объёмно. Но это суждения ни в коем случае не умаляет заслуги Валентина Львовича в его условиях работы.
Let me see...
radiographia.ru
tatyana, насколько я понял, эндоскописты не смогли "пройти", поэтому и не увидели. Если пищевод на этом уровне не проходим, значит сомнительно что и спец. эндоскоп с дополнительным каналом для эндо-УЗИ (он толще) пройдёт, тем более повторюсь, полной картины УЗИ не даст. Как помощь при пункции-да, но это повторюсь) если смогут "дойти". Спунктировать образование можно без проблем и под контролем КТ.
Let me see...
radiographia.ru
Видите ли, Марио, я Вам очень благодарна за то, что Вы демонстрируете возможности и методикки КТ, потому, как это не странно, чаще всего пытаются доказать "что КТ изобрели зря" именно специалисты КТ...
"самоуверенность дилетантов - предмет зависти профессионалов"
Добавлены все изображения по случаю.
Валентин Львович, а окончательно ещё ни чего не известно по данному пациенту?
"Знаешь, у некоторых врачей есть комплекс мессии — им необходимо спасать мир. А у тебя комплекс Рубика — тебе необходимо решать головоломки."
И последний вопрос "под занавес" - а есть - ли опухоль в пищеводе?
Марио, я задержалась с комментарием, когда писала, еще не знала, что эндоскописты не смогли "войти". Поскольку клиники у пациента нет, полагаю, что "не вошли" по причине повышеного рвотного рефлекса (любимая отмазка), а не по причине сужения пищевода. Спунктировать конечно можно и под контролем КТ, при условии, что этой манипуляцией владеют (к сожалению - далеко не везде, как-то так сложилось, что эндоскописты чаще владеют методикой биопсии)
"самоуверенность дилетантов - предмет зависти профессионалов"
На вопрос Валентина Львовича: полагаю что пищевод поражен за счёт прямой инвазии из средостения,
окончательно на этот вопрос может ответить исключительно КТ.
tatyana: гм, не знал о такой "отмазке" ваших эндоскопистов, у нас в таких случаях дают в/в анестезию и выполняют исследование рутинно.
Let me see...
radiographia.ru
Любопытно, если бы изменения были в правом легком, я бы почти без сомнений сказала бы об увеличении бифуркационных л/узлов, поскольку пищевод поддавлен по передне-правой стенке. Но здесь... могут быть и две опухоли, и мтс опухоли пищевода в л/узды левого корня... Прав Марио: КТ, КТ, КТ!
"самоуверенность дилетантов - предмет зависти профессионалов"
"Он" мне сразу показался подозрительным, я тоже по началу подумал про л/узлы или как бы там образования в корне не было, но Вы, Валентин Львович справоцировали на лейомиому. Поэтому я тоже за КТ или ещё можно поглядеть срединные томограмки.
"Знаешь, у некоторых врачей есть комплекс мессии — им необходимо спасать мир. А у тебя комплекс Рубика — тебе необходимо решать головоломки."
Доктор Катенев, Вы, я извиняюсь, предлагаете нам заняться гаданием на кофейной гуще )
Совершенно согласен с Марио: нужно выполнить КТ (причем с контрастным усилением), чтобы более-менее достоверно судить о характере процесса.
Пока что мне представляется, что скорее всего имеет место сдавление пищевода извне каким-либо доброкачественным образованием средостения. Маловероятно, что при наличии злокачественного процесса такой протяженности, а тем более опухоли самого пищевода пациент "ни на что особо не жаловался".
Как-то так.
Уважаемый доктор Попов!
Я Вам вообще ничего не предлагаю - не кофе, а тем паче ни его "гущи".
Я выставил случай из практики, который является фактически "контролем после флюорографии" и этот случай взят не из "архива". Пациент был обследован и дообследован в четверг, а вчера в пятницу был уже в областном онкологическом диспансере. И то, что Вам кажется "маловероятным", что пациент ни на что не жалуется, так - это только Ваше личное дело, и то, что Вам "представляется", что "это" доброкачественное образование средостения, так это тоже Ваше дело.
Специалистами - онкологами, с учетом всего предоставленного, а также необходимого дообследования, проведенного уже в онкологическом диспансере, выставлен предварительно диагноз рака левого лёгкого.
Какой же вы молодец Валентин Львович! Без КТ, а как пациента раскрутили.
Я не совсем понял почему пролетели эндоскописты. Если они не смогли прозондировать пищевод в принципе, какой с них спрос? Данный масштаб поражения однозначно при эндоскопии вызовет подозрение даже при интактной слизистой. В случае стеноза я предпочитаю вообще за его пределы не ходить, это уже не для эндоскописта.
Уважаемый acustic!
После проведенного рентгенологического исследования органов грудной полости - рентгенографии и томографии, при которой были выявлены увеличенные лимфатические узлы в корнях лёгких и средостении, было проведено рентгенотелевидение пищевода с прицельной рентгенографией и исследованием пищевода на трохоскопе, с контрастированием пищевода водной взвесью сернокислого бария "различной консистенции" - от сверхжидкого - до пастообразного, для "выяснения состояния" заднего средостения. Была зарегистрирована и документирована "локальная деформация пищевода" на протяжении 9,5 см. с перестройкой структуры "рельфа слизистой оболочки".
После этого, уже врачом, который "начал заниматься" пациентом, было назначено эндоскопическое исследование пищевода и желудка. Эндоскописты дважды пытались провести исследование, но с их слов, не могли "пройти в пищевод", затем они посетили рентгеновский кабинет, для того чтобы "познакомиться", что там нашли "на рентгене". После выяснения, ими был вынесен вердикт - "Рак пишевода" (это вердикт эндоскопистов без проведения эндоскопии, т.к. в рентгенологии разбираются даже эндоскописты. которые не смогли провести "своё" исследование).
Да, Валентин Львович, с диагнозом эндоскопистов согласен с точки зрения опасности процедуры. Посмотрев рентгенограмму, я бы вообще отказался от зондирования по относительным противопоказаниям. Пищевод наиболее опасный орган при эндоскопии. Меня всегда напрягают высокие стенозы, дивертикулы и вены.
Уважаемый acustic!
Я полностью согласен с Вами. Но с учетом того, что мы, по большому счету, работаем в "первичном уровне - ЦРБ" российского здравоохранения, то, по всей видимости, у нас, работающих именно на этом уровне, где каждый специалист "представлен в единственном числе" и занимается "общей диагностикой", которую правильнее было-бы назвать "рутинной", должна во главу угла быть поставлена тактика - "заподозрил - отправь к специалисту - профессионалу более высокого уровня". Для нас - это уровень - "область", а в данном конкретном случае - областной онкологический диспансер, где не только проведут желаемое исследование на должном уровне, с привлечением необходимых методов, но и более правильно и рационально "возьмут биопсию", данные которой, возможно, будут иметь первостепенное значение.
Увы, на практике, до сих пор культивируется и "наблюдение в динамике", и "пробное лечение" и пр., что является "явным пороком", да этим грешат не только ЦРБ, но и ЛПУ более "высокого уровня". Правда, потом, с удивлением разводят руками и задают вопрос - "Как это могло статься"?
Tatyana:«1. Существуют стандарты, алгоритмы исследования, применяемый и у нас в стране, и за рубежом (по крайней мере, могу сказать точно о Германии, Австрии, Бельгии, Нидерландах): методы первичной диагностики, к которым в случае заболеваний ЖКТ относятся рентгеноскопия и эндоскопия; а также методы уточняющей диагностики, к которым относятся КТ, эндоУЗИ, в ряде случаев - МРТ. Выбор метода уточняющей диагностики зависит от целей исследования и осуществляется, а в идеале - выполняется, специалистом по лучевой диагностики. Исходя из вышесказанного, врач - диагност ОБЯЗАН знать, какую дополнительную информацию может дать тот или иной метод, а в идеале - владеть этими методами. В этой части я полностью солидарна с доктором Марио, цель которого, как я понимаю, продемонстрировать возможности КТ и обучить коллег. В этой части, коллеги, все карты нам в руки...
2. Существуют субъективные факторы: организация службы лучевой диагностики, комплектация и возможности оборудования, и, наверное самое важное, уровень подготовки специалистов. Думаю многие коллеги сталкивались с бредовой ситуацией, когда после КТ, МРТ назначается традиционная рентгенография... К сожалению, мы вряд ли сможем повлиять на это.»
Андрей Попов:«Доктор Катенев, Вы, я извиняюсь, предлагаете нам заняться гаданием на кофейной гуще. Совершенно согласен с Марио: нужно выполнить КТ (причем с контрастным усилением), чтобы более-менее достоверно судить о характере процесса
И несколько слов не по сути (по поводу «гадания на кофейной» гуще и прочих «мармеладных желаний» - всем КТ и пр. и т.п.
Я не буду высказывать своей точки зрения, ибо «моя точка» зрения значима только в том отделении, где я работаю, да и то, только до того момента «пока я там работаю».
Как учили нас в ВУЗе, да и сейчас так учат, на кафедрах лучевой диагностики, или на циклах при других кафедрах, все методы рентгенологического «лучевого» исследования делятся на основные и специальные (правда, по некоторым источникам -основные, дополнительные и специальные). Но к основным, как относили, так и относят рентгеноскопию, рентгенографию и флюорографию. Не добавлено КТ-исследование в перечень основных методов исследования, следовательно является дополнительным (или, возможно специальным). Правильно это или не правильно, не нам судить, и совершенно права Tatyana, указывая, что такая ситуация связана, возможно с комплектацией, возможностями комплектации и поставки аппаратуры, да и с кадровым потенциалом, ибо «классических рентгенологов» весьма не хватает, что является общепризнанным.
Если признать «КТ-исследование» основным методом исследования в лучевой диагностике, то в каждом ЛПУ (лицензируемом или испрашивающим лицензию на данный вид деятельности) должно быть КТ. Реально? Вопрос вопросов. Мне лично «снизу», «из звена ЦРБ» хорошо видна не реальность этого, да этого, и не случится в ближайшие 10 — 12 лет, ибо у нас представители специальности «лучевой диагностики» все находятся только в своем, узком, чисто «автономном плавании», и зачастую работают не на «общий результат», а на свой «узенький результатик», вот и видим мы рекомендации «произвести рентгенографию» после СКТ. Подготовку кадрового потенциала по нашей специальности, после обсуждения данного вопроса на сайте МЗиСР, даже нет желания комментировать.
Наша коллега Tatyana высказала дельное предложение, о том, что «выбор метода уточняющей диагностики, а также направление на данные исследования», как — то КТ, МРТ и прочее, должно быть преррогративой врача лучевой диагностики (врача-рентгенолога), а не коллег клиницистов или администраторов здравоохранения, распределяющих «квоты», и именно тогда, когда исчерпаны возможности «традиционной рентгенологии». Даже трудно предположить, как сократились — бы очереди на эти исследования (КТ, МРТ), как резко-бы упало количество необоснованных направлений на эти исследования (КТ, МРТ), как повысилась — бы «оперативность диагностики», и именно в тех случаях, когда «сие» необходимо.
Небольшая поправка - это не мое предложение, не моя идея, во-первых, так устроена служба лучевой диагностики, там где она действительно построена; во-вторых, право выбора оптимального метода исследования за врачом-рентгенологом прописано и в наших приказах
"самоуверенность дилетантов - предмет зависти профессионалов"
Поправка принимается.
Просто об "этой проблеме", уже говорят многие, и понимают "ненормальность" положения. Ну, а невыполнение СаН ПиНа и приказов - это у нас в порядке вещей.
КТ, разумеется, должна быть не во всяком ЛПУ, но уж в том, где занимаются лечением онкозаболеваний (если возвращаться к обсуждаемому пациенту) - безусловно, быть должна. И, кстати говоря, в основном в России так уже и есть.
И уж вне всякого сомнения, что КТ должна выполняться всем пациентам с подозрением на онкозаболевание органов грудной полости.
Уважаемый Андрей Попов!
1. Если КТ-будет признан основным методом лучевой диагностики (в чем я сильно сомневаюсь) в ближайшие 10 - 20 лет, то в таком случае, данная аппаратура должна быть в наличии, именно в каждом ЛПУ, осуществляющем "диагностическую деятельность" (служба лучевой диагностики) независимо от профиля ЛПУ, так как ДИАГНОСТИКА, И ИМЕННО ДИАГНОСТИКА, должна быть "НА УРОВНЕ" в любом ЛПУ, и возможно, это позволит снизить количество "ЗАПУЩЕННЫЙ СЛУЧАЕВ", того же рака, да и не только рака.
2. А почему Вы далаете "АКЦЕНТ" в плане наличия КТ только в ЛПУ "онкологического профиля". Вы, по всей видимости, сами работаете в этом профиле? Совершенно не верный подход. А ЛПУ - противотуберкулёзного профиля, а больницы "торакального направления" и пр. Это, что - второй или третий сорт? И почему только акцент на "онкозаболлевания ОГК". А брюшная полость, а гинекология, а голова? Нет! Если методод признается основным методом в диагностике, то каждое ЛПУ должно иметь таковую аппаратуру.
3. Я совершенно не буду высказываться по поводу, сказанного Вами, что "КТ, разумеется, должна быть не во всяком ЛПУ, но уж в том, где занимаются лечением онкозаболеваний (если возвращаться к обсуждаемому пациенту) - безусловно, быть должна. И, кстати говоря, в основном в России так уже и есть."
Я не знаю, где это такое "в основном в России уже есть". Конечно, если за Россию принять только Москву и С- Петербург, тогда возможно, вы и правы, но РОСИИЯ состоит не только из мегаполисов, остальная Россия очень резко отличается, именно от мегаполисов, и не в лучшую сторону в плане аппаратурооснащения.
4. Я редко цитирую или ссылаюсь на Марио, по большому счету - никогда. Но Марио, как надо признать, в данном вопросе является "независимой" и более "объективной" стороной. Посмотрите, что пишет Марио, и совершенно правильно, по поводу подготовки наших специалистов в векторе КТ, МРТ и пр. "высоких технологий". Т.Е. сверху или на каждом аппарате, кроме аппарата (пусть то КТ, МРТ или что-то другое) должна находится "голова специалиста" соответственно подготовленного. Где возьмете эту "подготовленную голову"? Или купим в магазине, в каком мегаполисе этот магазин, под каким названием магазин?
По сему поводу есть интересный, до слёз обидный материал. ОБЯЗАТЕЛЬНО СО ВРЕМЕНЕМ ВЫСТАВЛЮ.
1. Не очень понимаю, что значит "основной" и "неосновной". Меня в данном случае не очень интересуют бюрократические определения чиновников от медицины. КТ - высокоинформативный метод лучевой диагностики, позволяющий УТОЧНИТЬ диагноз (т.е. максимально сузить дифференциально-диагностический спектр). И применяя его в необходимых случаях (соответственно современным мировым стандартам), мы заметно повышаем качество диагностики и лечения. В случаях, подобных приведенному Вами, применение КТ - именно стандарт, к которому и нужно стремиться.
2. Об онкологических больницах я говорю просто потому, что мы обсуждаем пациента с подозрением на онкологию. В идеале, конечно, все больницы, занимающиеся специализированной медицинской помощью, должны быть укомплектованы КТ и соответствующими специалистами. То, что в настоящее время в России ситуация далека от идеала, не делает ее правильной.
3. Я живу и работаю не в Москве и не в Питере, но у нас в областном центре и по области имеется уж никак не менее 30 томографов. И если уж на то пошло, то онкологические пациенты и не должны лечиться не в мегаполисах.
4. Да, это проблема, и большая - низкое качество КТ-диагностики проистекает прежде всего не из плохой и устарелой аппаратуры, а из плохой подготовки специалистов. Но... разве умных голов только на КТ не хватает? Разве это не общемедицинская российская проблема? ((
Спасибо Вам за ответ.
У меня маленький вопрос. Вы по специальности врач лучевой диагност или коллега другой специальности?
Уважаемый Андрей Попов, отвечаю по порядку:
1. Нет методов "основной- не основной". Есть медоты первичной диагностики и методы УТОЧНЯЮЩЕЙ диагностики, к последним относится КТ.
2. В идеале все районные центры, а не только специализированые учреждения, должны быть укомплектованы КТ и МРТ, хотя бы из рассчета 1 аппарат на 50-100 тыс. населения.
3. Сколько в России МЕГАПОЛИСОВ? Кроме Москвы и Питера, к ним по уровню медицинской помощи может быть еще можно отнести Ростов-на дону и Новосибирск. Россия побольше... Онкологические пациенты должны лечиться по месту жительства, только вот должны соблюдаться единые стандарты медицинской помощи.
4. Да "умных голов" не хватает, и не только на КТ...
P.S. ну а пока мы далеки от идеала, приходится работать с тем, что есть, и делать, что должны и можем...
"самоуверенность дилетантов - предмет зависти профессионалов"