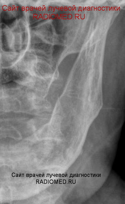
Катенёв Валенти... Дата публикации 28.08.2009, 00:16 Варианты ответов. 1. Остеомиелит. 2. Ячеистая форма гигантоклеточной опухоли. 3.Гигантоклеточная репаратичная гранулёма. 4.Гемангиома. 5. Фиброзная дисплазия. 6. Туберкулёз. 7. Остеосаркома. 8. Адамантиома. (Изображения от "Татьяны Валентиновны") Пт, 28/08/2009 - 13:39 #1 tatyana Не на сайте Был на сайте: 4 года 1 месяц назад Зарегистрирован: 24.06.2009 - 08:33 Публикации: 2090 ??????????? Валентин Львович! "самоуверенность дилетантов - предмет зависти профессионалов" Пт, 28/08/2009 - 14:00 #2 Ola-la Не на сайте Был на сайте: 10 месяцев 2 недели назад Зарегистрирован: 06.12.2008 - 09:33 Публикации: 1786 Предположу № 2. https://www.instagram.com/pediatricradiology/ Пт, 28/08/2009 - 14:56 #3 OPEXOB Не на сайте Был на сайте: 9 лет 11 месяцев назад Зарегистрирован: 26.07.2008 - 10:02 Публикации: 280 Ячеистая форма гигантоклеточной опухоли. Пт, 28/08/2009 - 18:49 #4 Ермолаев Не на сайте Был на сайте: 8 лет 10 месяцев назад Зарегистрирован: 07.02.2009 - 16:33 Публикации: 670 Уважаемые коллеги! Можно выбрать два варианта 2 и 3? dok Пт, 28/08/2009 - 19:13 #5 Almo Не на сайте Был на сайте: 11 часов 28 минут назад Зарегистрирован: 28.09.2008 - 18:50 Публикации: 8262 №2 ? Пт, 28/08/2009 - 21:43 #6 v1tal Не на сайте Был на сайте: 4 года 9 месяцев назад Зарегистрирован: 07.06.2008 - 19:41 Публикации: 1779 Я тоже за 2й вариант. "Знаешь, у некоторых врачей есть комплекс мессии — им необходимо спасать мир. А у тебя комплекс Рубика — тебе необходимо решать головоломки." Пт, 28/08/2009 - 22:35 #7 tatyana Не на сайте Был на сайте: 4 года 1 месяц назад Зарегистрирован: 24.06.2009 - 08:33 Публикации: 2090 а я считаю в дифференциально-диагностическом ряду не хватает адамантиномы! "самоуверенность дилетантов - предмет зависти профессионалов" Пт, 28/08/2009 - 23:20 #8 Катенёв Валенти... Не на сайте Был на сайте: 7 лет 3 недели назад Зарегистрирован: 22.03.2008 - 22:15 Публикации: 54876 Добавлено.
??????????? Валентин Львович!
"самоуверенность дилетантов - предмет зависти профессионалов"
Предположу № 2.
https://www.instagram.com/pediatricradiology/
Ячеистая форма гигантоклеточной опухоли.
Уважаемые коллеги! Можно выбрать два варианта 2 и 3?
dok
№2 ?
Я тоже за 2й вариант.
"Знаешь, у некоторых врачей есть комплекс мессии — им необходимо спасать мир. А у тебя комплекс Рубика — тебе необходимо решать головоломки."
а я считаю в дифференциально-диагностическом ряду не хватает адамантиномы!
"самоуверенность дилетантов - предмет зависти профессионалов"
Добавлено.