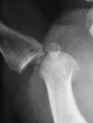
Катенёв Валенти... Дата публикации 01.05.2009, 12:06 Пациент направлен хирургом с диагнозом "перелом". Произвели рентгенографи. Вопрос заключается в том, что данное состояние должно быть обозначено, как "вывих" или "переломовывих"? Пт, 01/05/2009 - 12:46 #1 flagman Не на сайте Был на сайте: 11 лет 5 месяцев назад Зарегистрирован: 05.06.2008 - 20:08 Публикации: 83 а если перелом, вывих. Пт, 01/05/2009 - 12:48 #2 Катенёв Валенти... Не на сайте Был на сайте: 7 лет 4 недели назад Зарегистрирован: 22.03.2008 - 22:15 Публикации: 54876 Спасибо за высказанное мнение. Пт, 01/05/2009 - 13:58 #3 Ермолаев Не на сайте Был на сайте: 8 лет 10 месяцев назад Зарегистрирован: 07.02.2009 - 16:33 Публикации: 670 Валентин Львович! Мое мнение, что имеется вывих и перелом. Два разных костно-травматических изменения с точки зрения патологической анатомии. dok Пт, 01/05/2009 - 14:00 #4 Катенёв Валенти... Не на сайте Был на сайте: 7 лет 4 недели назад Зарегистрирован: 22.03.2008 - 22:15 Публикации: 54876 Спасибо за высказанное мнение. Пт, 01/05/2009 - 14:47 #5 Петрович Не на сайте Был на сайте: 7 лет 2 месяцев назад Зарегистрирован: 22.03.2009 - 01:13 Публикации: 3908 Господа и товарищи! Перелом чего? Неоднозначно всё Сб, 02/05/2009 - 14:39 #6 mihail72 Не на сайте Был на сайте: 11 лет 1 месяц назад Зарегистрирован: 20.06.2008 - 17:49 Публикации: 4 Вывих и мелкооскольчатый перелом основания проксимальной фаланги Сб, 02/05/2009 - 15:53 #7 Петрович Не на сайте Был на сайте: 7 лет 2 месяцев назад Зарегистрирован: 22.03.2009 - 01:13 Публикации: 3908 Показал бы кто пальчиком а) мелкие осколки б) откуда откололись. Кортикальный слой кости и его фрагменты должны быть видны чётко! Неоднозначно всё
а если перелом, вывих.
Спасибо за высказанное мнение.
Валентин Львович! Мое мнение, что имеется вывих и перелом. Два разных костно-травматических изменения с точки зрения патологической анатомии.
dok
Спасибо за высказанное мнение.
Господа и товарищи!
Перелом чего?
Неоднозначно всё
Вывих и мелкооскольчатый перелом основания проксимальной фаланги
Показал бы кто пальчиком а) мелкие осколки б) откуда откололись.
Кортикальный слой кости и его фрагменты должны быть видны чётко!
Неоднозначно всё