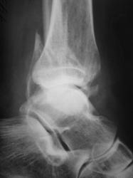
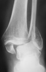
Катенёв Валенти... Дата публикации 14.06.2009, 16:38 Пациент доставлен "службой скорой помощи" - падение с высоты. Осмотрен хирургом, направлен на рентгенографию голеностопного сустава. Ваше мнение коллеги? Вс, 14/06/2009 - 17:41 #1 Ola-la Не на сайте Был на сайте: 10 месяцев 2 недели назад Зарегистрирован: 06.12.2008 - 09:33 Публикации: 1786 Перелом обеих лодыжек со смещением, наружно-пронационный вывих стопы. https://www.instagram.com/pediatricradiology/ Пнд, 15/06/2009 - 19:36 #2 Катенёв Валенти... Не на сайте Был на сайте: 7 лет 4 недели назад Зарегистрирован: 22.03.2008 - 22:15 Публикации: 54876 Спасибо за высказанное мнение. Пнд, 15/06/2009 - 19:53 #3 Vega Не на сайте Был на сайте: 6 дней 14 часов назад Зарегистрирован: 22.01.2009 - 19:16 Публикации: 1087 А передний край пилона разве не сломан? Или это медиальная лодыжка наслаивается? P.s. Валентин Львович, не сочтите, пожалуйста, за придирку, но, наверное, фамилию пациента лучше убирать. Пнд, 15/06/2009 - 19:56 #4 Катенёв Валенти... Не на сайте Был на сайте: 7 лет 4 недели назад Зарегистрирован: 22.03.2008 - 22:15 Публикации: 54876 Спасибо коллега за замечание. Это не "придирка", а вполне резонное замечание. Уже убрал.
Перелом обеих лодыжек со смещением, наружно-пронационный вывих стопы.
https://www.instagram.com/pediatricradiology/
Спасибо за высказанное мнение.
А передний край пилона разве не сломан? Или это медиальная лодыжка наслаивается?
P.s. Валентин Львович, не сочтите, пожалуйста, за придирку, но, наверное, фамилию пациента лучше убирать.
Спасибо коллега за замечание. Это не "придирка", а вполне резонное замечание. Уже убрал.