Вы здесь

Травма 2 недели тому.

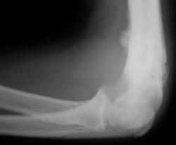
Травма 2 недели тому. Пациент за медицинской помощью не обращался. В ЛПУ "приведен женой". После осмотра  хирургом направлен для рентгенографии локтевого сустава. Выполнить рентгенографию в стандартных проекциях невозможно.

ИзображениеИзображениеИзображениеИзображение

ИзображениеИзображениеИзображение

Ваше мнение коллеги?

 

Ola-la аватар
Не на сайте
Был на сайте: 1 год 3 месяцев назад
Зарегистрирован: 06.12.2008 - 09:33
Публикации: 1786

В боковой проекции стоит вполне допустимо, и ладно))))) Пациент, мне кажется, молодой)))) и уже женат?

OPEXOB аватар
Не на сайте
Был на сайте: 10 лет 4 месяцев назад
Зарегистрирован: 26.07.2008 - 10:02
Публикации: 280

Ola-la!

Что собственно "допустимо", а не формируется ли ложный сустав, консолидации-то нет.

Катенёв Валентин Львович аватар
Не на сайте
Был на сайте: 7 лет 5 месяцев назад
Зарегистрирован: 22.03.2008 - 22:15
Публикации: 54876

Женат коллега, да еще, как женат! Южная кровь!

Николай аватар
Не на сайте
Был на сайте: 3 года 2 месяцев назад
Зарегистрирован: 29.05.2009 - 04:38
Публикации: 554

 Не патологический ли это перелом? Мне кажется имеет место остеомиелит по заднему контуру дистального эпифиза плечевой кости секвестрация. Непонятное ощущение того что плечевая кость повернута по своей оси???А что за остеофит на переднем контуре плечевой кости?

Ola-la аватар
Не на сайте
Был на сайте: 1 год 3 месяцев назад
Зарегистрирован: 06.12.2008 - 09:33
Публикации: 1786

Прошло всего две недели, о каком ложном суставе можно говорить?

Gorlina.Anna аватар
Не на сайте
Был на сайте: 9 лет 4 месяцев назад
Зарегистрирован: 20.02.2009 - 12:27
Публикации: 227

Возможно, это не первая травма. За медицинской помощью-то пациент обращаться не любит. А рука красная, утолщенная, горячая?

Век живи - век учись...

Катенёв Валентин Львович аватар
Не на сайте
Был на сайте: 7 лет 5 месяцев назад
Зарегистрирован: 22.03.2008 - 22:15
Публикации: 54876

А еще и линейный периостит в области плечевой кости?

Ola-la аватар
Не на сайте
Был на сайте: 1 год 3 месяцев назад
Зарегистрирован: 06.12.2008 - 09:33
Публикации: 1786

Ну, не знаю.....и линейный периостит, и "остеофит" по передней поверхности укладываются в костную мозоль.

Ola-la аватар
Не на сайте
Был на сайте: 1 год 3 месяцев назад
Зарегистрирован: 06.12.2008 - 09:33
Публикации: 1786

Валентин Львович, какой возраст пациента?

Катенёв Валентин Львович аватар
Не на сайте
Был на сайте: 7 лет 5 месяцев назад
Зарегистрирован: 22.03.2008 - 22:15
Публикации: 54876

17 лет.