Вы здесь

Травма. Двойной перелом?

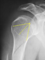
Травма. Пациент направлен врачом хирургом на рентгенографию плечевого сустава.

ИзображениеИзображениеИзображение

Что посоветуете уважаемые коллеги?

Тарелка аватар
Не на сайте
Был на сайте: 10 лет 1 месяц назад
Зарегистрирован: 23.06.2008 - 23:11
Публикации: 108

Спиральный перелом со смещением. А что в локтевом суставе? Мне кажется, что спираль продолжается дистальнее.

Катенёв Валентин Львович аватар
Не на сайте
Был на сайте: 7 лет 1 месяц назад
Зарегистрирован: 22.03.2008 - 22:15
Публикации: 54876

А что по "поводу головки" плечевой кости в "районе большого бугорка".

ИзображениеИзображение

Тарелка аватар
Не на сайте
Был на сайте: 10 лет 1 месяц назад
Зарегистрирован: 23.06.2008 - 23:11
Публикации: 108

Думаю, что это начало спирали.

Евгений Магонов аватар
Не на сайте
Был на сайте: 7 месяцев 3 недели назад
Зарегистрирован: 07.03.2008 - 15:28
Публикации: 1268

А еще это похоже на перелом по типу Хилл-Сакса большого бугорка.

Добрый админ

Тарелка аватар
Не на сайте
Был на сайте: 10 лет 1 месяц назад
Зарегистрирован: 23.06.2008 - 23:11
Публикации: 108

Мне видится, что перелом идет так

Vega аватар
Не на сайте
Был на сайте: 1 неделя 19 часов назад
Зарегистрирован: 22.01.2009 - 19:16
Публикации: 1087

Мне кажется, что импрессионного перелома бугорка (повреждение Хилл-Сакса) здесь нет. При данном повреждении импрессия более выражена. Типичный перелом Хилл-Сакса выглядит примерно так.

Хотя, конечно, аксиальная проекция всё бы расставила по своим местам. На мой взгляд, второго перелома в области бугорка здесь нет.