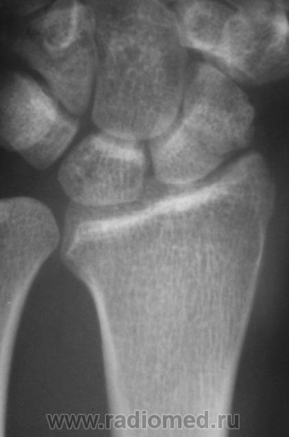
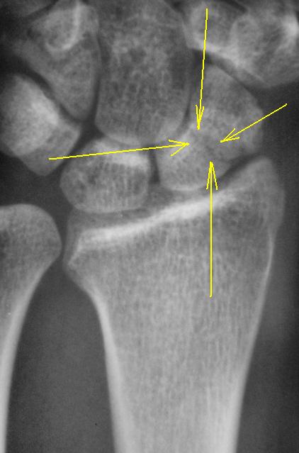
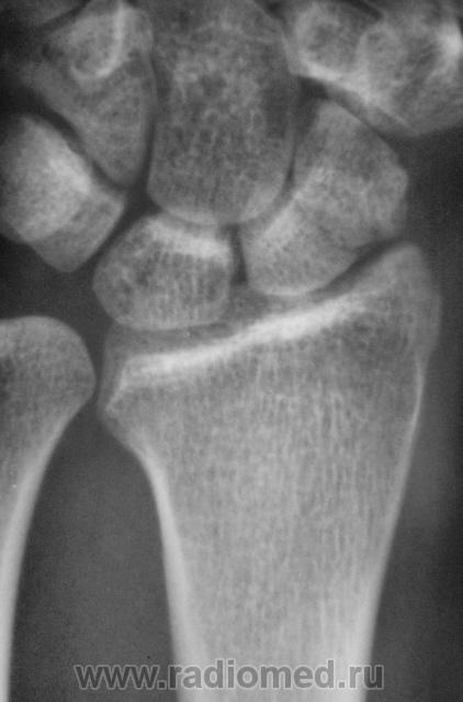
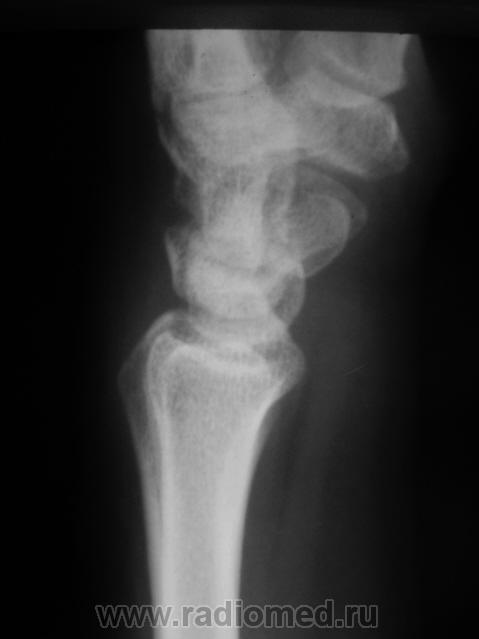
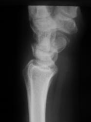
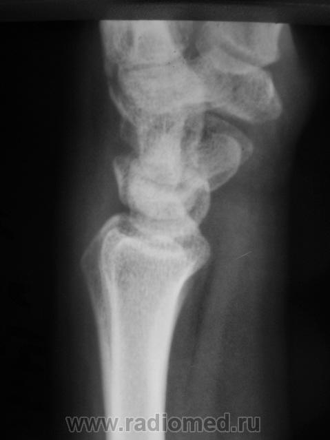
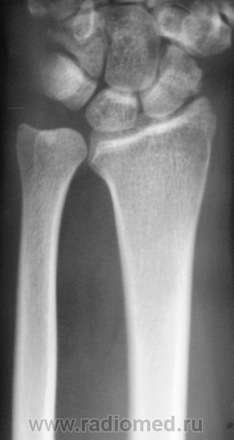
Катенёв Валенти... Дата публикации 15.10.2009, 20:32 Травма неделю тому. Пациент направлен на рентгенологическое исследование лучезапястного сустава с диагнозом "Перелом". Произведено исследование. Ваше мнение коллеги? Чт, 15/10/2009 - 20:36 #1 В.Б. Серов Не на сайте Был на сайте: 3 недели 3 дня назад Зарегистрирован: 16.07.2008 - 10:15 Публикации: 1376 Нужен косой снимок, подтвердить/опровергнуть перелом ладьи. Зри в корень! Чт, 15/10/2009 - 21:37 #2 Наталия Не на сайте Был на сайте: 9 лет 2 недели назад Зарегистрирован: 30.07.2008 - 13:24 Публикации: 538 Перелом ладьевидной кости без смещения виден хорошо. Чт, 15/10/2009 - 21:53 #3 Катенёв Валенти... Не на сайте Был на сайте: 7 лет 5 месяцев назад Зарегистрирован: 22.03.2008 - 22:15 Публикации: 54876 Да. линия перелома в ладьевидной кости, весьма хорошо дифференцируется
Нужен косой снимок, подтвердить/опровергнуть перелом ладьи.
Зри в корень!
Перелом ладьевидной кости без смещения виден хорошо.
Да. линия перелома в ладьевидной кости, весьма хорошо дифференцируется