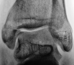
Дорогие друзья, может быть я чего- нибудь не понял, но такое впечатление, что после репозиции стало хуже, чем до неё( по видимому, смещение отломка внутренней лодыжкм кпереди стало более выраженное).
Целью репозиции в данном случае должно являться восстановление конгруэнтности в суставе. После репозиции суставная поверхность более-менее восстановлена. Конечно, идеальным в данном случае будет оперативное лечение. Но даже если оставить "всё как есть", все должно срастись в гипсе.
Уважаемые коллеги это не значит всем в подряд шурупы надор крутить, всё зависит от возроста пациента. Какой смысл прибегать к фиксации винтом если человек-юноша или девушка, другое дело у пожилых людей процесс консолидации долгий, там есть смысл. В данном случае подвывиха нет, и смысла репозиции нет, о смещении отломков говорить не приходиться , если разве что во время наложения гипсовой лангеты что то не аккуратно было сделано.
"Знаешь, у некоторых врачей есть комплекс мессии — им необходимо спасать мир. А у тебя комплекс Рубика — тебе необходимо решать головоломки."
А смысл "крутить шурупы" в том, чтобы пациент на 5-6 сутки после операции начал ходить с нагрузкой на ногу, что в гипсе делать нельзя. Возвращаем человека к активной жизни на пару месяцев быстрее. А тем более, если это молодой активный трудоспособный пациент.
"А смысл "крутить шурупы" в том, чтобы пациент на 5-6 сутки после операции начал ходить с нагрузкой на ногу, что в гипсе делать нельзя. Возвращаем человека к активной жизни на пару месяцев быстрее. А тем более, если это молодой активный трудоспособный пациент".
НО у "ДОКТОРА" должно быть "желание крутить шурупы" там где надо, но увы, "нет стандарта", а в таком случае - "каждый сам себе режиссер".
Коллеге v1tal - можно и аппендицит оперировать эндоскопически и пациент сразу домой пойдет, а можно "порезать", останется рубец, как у меня, и две недели незабываемого отдыха в больнице.
Произведена репозиция отломков и наложена гипсовая повязка.
Ваше мнение уважаемые коллеги?
2х лодыжечный перелом впринципе и до репозиции было хорошо видно, удачно гипс наложили, хорошо хоть дело до подвывиха ни дошло. Безобразие
"Знаешь, у некоторых врачей есть комплекс мессии — им необходимо спасать мир. А у тебя комплекс Рубика — тебе необходимо решать головоломки."
А в чём безобразие?
Дорогие друзья, может быть я чего- нибудь не понял, но такое впечатление, что после репозиции стало хуже, чем до неё( по видимому, смещение отломка внутренней лодыжкм кпереди стало более выраженное).
Целью репозиции в данном случае должно являться восстановление конгруэнтности в суставе. После репозиции суставная поверхность более-менее восстановлена. Конечно, идеальным в данном случае будет оперативное лечение. Но даже если оставить "всё как есть", все должно срастись в гипсе.
У нас таких пациентов переводят в отделение ортопедии и травматологии и шурупы крутят.
Уважаемые коллеги это не значит всем в подряд шурупы надор крутить, всё зависит от возроста пациента. Какой смысл прибегать к фиксации винтом если человек-юноша или девушка, другое дело у пожилых людей процесс консолидации долгий, там есть смысл. В данном случае подвывиха нет, и смысла репозиции нет, о смещении отломков говорить не приходиться , если разве что во время наложения гипсовой лангеты что то не аккуратно было сделано.
"Знаешь, у некоторых врачей есть комплекс мессии — им необходимо спасать мир. А у тебя комплекс Рубика — тебе необходимо решать головоломки."
А смысл "крутить шурупы" в том, чтобы пациент на 5-6 сутки после операции начал ходить с нагрузкой на ногу, что в гипсе делать нельзя. Возвращаем человека к активной жизни на пару месяцев быстрее. А тем более, если это молодой активный трудоспособный пациент.
Спасибо коллеги за высказанные мнение.
Коллега Вега! С вами нельзя не согласиться:
"А смысл "крутить шурупы" в том, чтобы пациент на 5-6 сутки после операции начал ходить с нагрузкой на ногу, что в гипсе делать нельзя. Возвращаем человека к активной жизни на пару месяцев быстрее. А тем более, если это молодой активный трудоспособный пациент".
НО у "ДОКТОРА" должно быть "желание крутить шурупы" там где надо, но увы, "нет стандарта", а в таком случае - "каждый сам себе режиссер".
За правильную расстановку акцентов.
Коллеге v1tal - можно и аппендицит оперировать эндоскопически и пациент сразу домой пойдет, а можно "порезать", останется рубец, как у меня, и две недели незабываемого отдыха в больнице.