Вы здесь

Травма. Ваше мнение коллеги?

Пациент - подросток пришел с папой в рентгеновский кабинет, с просьбой коллеги хирурга "сделать рентгенографию лучезапястного сустава". Из анамнеза известно, что накануне, ребенку в область лучезапястного сустава ударился мяч - играли в футбол. Произвели рентгенографию.

ИзображениеИзображениеИзображениеИзображение

Ваше мнение уважаемые коллеги?

v1tal аватар
Не на сайте
Был на сайте: 4 года 9 месяцев назад
Зарегистрирован: 07.06.2008 - 19:41
Публикации: 1779

Навряд ли  это последствие травмы, если  был бы в  этом месте перелом  то изменилась бы в 1ю очередь высота ростковой зоны, изменений нет ни как со стороны неё, ни так со стороны эпифиза.

"Знаешь, у некоторых врачей есть комплекс мессии — им необходимо спасать мир. А у тебя комплекс Рубика — тебе необходимо решать головоломки."

Катенёв Валентин Львович аватар
Не на сайте
Был на сайте: 7 лет 3 недели назад
Зарегистрирован: 22.03.2008 - 22:15
Публикации: 54876

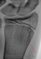
А Вас ничего не смущает в области метафиза?

Катенёв Валентин Львович аватар
Не на сайте
Был на сайте: 7 лет 3 недели назад
Зарегистрирован: 22.03.2008 - 22:15
Публикации: 54876

А это не похоже на "трещину"? или что "это" может быть?

Изображение

v1tal аватар
Не на сайте
Был на сайте: 4 года 9 месяцев назад
Зарегистрирован: 07.06.2008 - 19:41
Публикации: 1779

         Я так понямаю ребенку наверно лет 10-12, костные балки четко видно, при таком краевом переломе, будет четко видно выступ надкостницы, чего не наблюдается в данном случае;

Изображение 

 

Да, конечно, я про метафиз говорю.

"Знаешь, у некоторых врачей есть комплекс мессии — им необходимо спасать мир. А у тебя комплекс Рубика — тебе необходимо решать головоломки."

Катенёв Валентин Львович аватар
Не на сайте
Был на сайте: 7 лет 3 недели назад
Зарегистрирован: 22.03.2008 - 22:15
Публикации: 54876

А если это не "перелом" и не "трещина", то что "это" может быть?

Vega аватар
Не на сайте
Был на сайте: 4 часа 44 минуты назад
Зарегистрирован: 22.01.2009 - 19:16
Публикации: 1087

На мой взгляд, больше похоже на перелом. Однако под вопросом. Всё решает клиника и  четкий анамнез - если удар мячом пришелся просто в область сустава, то, скорее всего, это - не травматические изменения. А если удар пришелся в кисть по оси предплечья или перпендикулярно оси - то это перелом.

Катенёв Валентин Львович аватар
Не на сайте
Был на сайте: 7 лет 3 недели назад
Зарегистрирован: 22.03.2008 - 22:15
Публикации: 54876

Здравствуйте Вега! Клини ка есть - боль, есть и отёк.

Уважаемый Витал!

А такая "фрагментация" эпифиза может быть "нормой". А что скажите по поводу нечеткости и "разорванности" контура эпифиза - красные стрелки. Как будем оценивать "выступ" на фоне зоны росткового хряща - сиреневая стрелка.

Изображение

 

v1tal аватар
Не на сайте
Был на сайте: 4 года 9 месяцев назад
Зарегистрирован: 07.06.2008 - 19:41
Публикации: 1779

Тогда получается эпифизиолиз с дальнейшим переходом на метафиз, а значит ни просто эпифизиолиз а остеоэпифизиолиз, но ведь ростковая зона интактна!

"Знаешь, у некоторых врачей есть комплекс мессии — им необходимо спасать мир. А у тебя комплекс Рубика — тебе необходимо решать головоломки."