Вы здесь

"УЛОВ" послеобеденный.

Случай № 1.


111.Kopchik.JPG
111.Kopchik.JPG
112.Kopsik..jpg
112.Kopsik..jpg

 

 

 

 

 

 

 

 

 

 

 

 

 

Случай № 2.


113.ULOV_.JPG
113.ULOV_.JPG
114.Ulov_..jpg
114.Ulov_..jpg

 

 

 

 

 

 

 

 

 

 

 

 

 

Случай № 3.


115._Ulov..jpg
115._Ulov..jpg
116.Ulov_.jpg
116.Ulov_.jpg
117.Ulov_..jpg
117.Ulov_..jpg
118.Ulov_.jpg
118.Ulov_.jpg

 

 

 

 

 

 

 

 

 

 

 

 

 

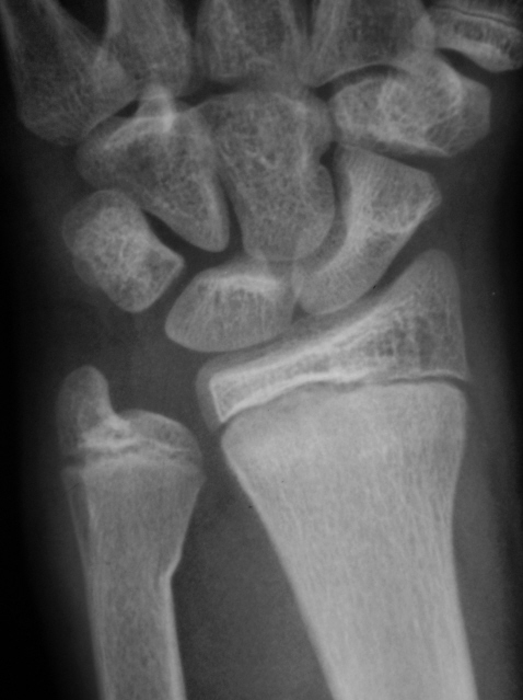
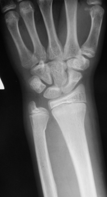
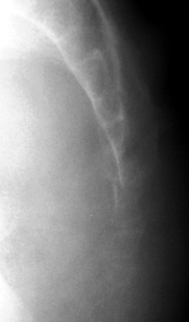
Случай № 4.


119.ULOV_.jpg
119.ULOV_.jpg
120.ULOV_.jpg
120.ULOV_.jpg
121.ULOV_.jpg
121.ULOV_.jpg
122.ULOV_..jpg
122.ULOV_..jpg
ВложениеРазмер
Иконка изображения 111.Kopchik.JPG56.19 КБ
Иконка изображения 112.Kopsik..jpg70.57 КБ
Иконка изображения 113.ULOV_.JPG58.22 КБ
Иконка изображения 114.Ulov_..jpg87.92 КБ
Иконка изображения 115._Ulov..jpg71.08 КБ
Иконка изображения 116.Ulov_.jpg86.32 КБ
Иконка изображения 117.Ulov_..jpg80.87 КБ
Иконка изображения 118.Ulov_.jpg71.51 КБ
Иконка изображения 119.ULOV_.jpg69.9 КБ
Иконка изображения 120.ULOV_.jpg92.74 КБ
Иконка изображения 121.ULOV_.jpg46.86 КБ
Иконка изображения 122.ULOV_..jpg67.6 КБ
Петрович аватар
Не на сайте
Был на сайте: 7 лет 5 месяцев назад
Зарегистрирован: 22.03.2009 - 01:13
Публикации: 3908

  1. Перелом S5 со смещением вентрально. Но снимок не Ах, легко ошибиться. И почему нет прямой проекции?
  2. Внутрисуставной оскольчатый перелом эпифиза большой берцовой кости, для точности нужна боковая проекция.

Неоднозначно всё

Катенёв Валентин Львович аватар
Не на сайте
Был на сайте: 7 лет 3 месяцев назад
Зарегистрирован: 22.03.2008 - 22:15
Публикации: 54876

Уважаемый Петрович!

Как-бы это помягче выразиться, но на прямой...

Vega аватар
Не на сайте
Был на сайте: 2 месяцев 3 недели назад
Зарегистрирован: 22.01.2009 - 19:16
Публикации: 1087

3. Перелом III пястной кости.

4. Остеоэпифизеолиз луча  в н/3 и перелом локтевой в н/3.

Иринка аватар
Не на сайте
Был на сайте: 11 лет 8 месяцев назад
Зарегистрирован: 16.11.2009 - 22:14
Публикации: 190

А я считаю,что в №4 поднадкостничный перелом обеих костей предплечья в н/3, в боковой проекции виден перелом лучевой кости.

Оленька 777 аватар
Не на сайте
Был на сайте: 14 лет 10 месяцев назад
Зарегистрирован: 01.01.2010 - 22:13
Публикации: 28

Случай №1: Перелом верхушки крестца, с незначительным смещением.

Случай №2: Перелом внутрисуставной наружного мыщелка большеберцовой кости, с незначительным смещением, без нарушения конгруетности.

Случай №3: Перелом шейки 3 пястной кости, типа зеленой веточки.

Случай №4: Остеоэпифизеолиз дистальный лучевой кости, со смещением к тылу до 10мм. Перелом шейки локтевой кости, поднадкостничный, с незначительным смещением.

Каждая наша мысль создает наше будущее.

Оленька 777 аватар
Не на сайте
Был на сайте: 14 лет 10 месяцев назад
Зарегистрирован: 01.01.2010 - 22:13
Публикации: 28

может не правильно, Москва не сразу строилась..

Каждая наша мысль создает наше будущее.