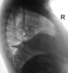
Пациентке, год тому, произведена операция по поводу имплантации искусственного клапана, произведена стернотомия, с последующим её "металлоостеосинтезом".
Неделю тому, пациентка выписана из терапевтического отделения, где находилась на стационарном лечении, по поводу пневмонии. Сегодня пациентка направлена на рентгенологическое исследование ОГК с диагнозом "Пневмония". Произведена рентгенография в стандартных проекциях - прямая и правая боковая, которая дополнена томографией в боковой проекции.
Ваше мнение?
По совокупности признаков ИМХО справа вытекает обструктивный процесс в с/долевом и нижнезональном бронхах, Br6 не поражён (жаль сами бронхи почти не видны[те же 640х480пикселей]). Это сочетается с плевральным экссудатом м/долевым и диафрагмальным.
C-r IV ?
Ну ещё, само собой, протез митрального клапана; серкл. швы на грудине.
А что сказал бы Dr.Mario (без КТ)?
Неоднозначно всё
///Неделю тому, пациентка выписана из терапевтического отделения, где находилась на стационарном лечении, по поводу пневмонии.///А где снимки, на основании которых поставлен диагноз? Нет ли более ранних снимков, ведь перед операцией наверняка делали Р-гр ОГК?
Зри в корень!
Сегментарные ателектазы нижней зоны правого легкого, подьём правого купола диафрагмы, плевральный выпот. Для начала выполнил бы УЗИ и спунктировал плевральную жидкость. После анализа характера жидкости-определился с дальнейшим ведением. Если есть сомнения-сделал бы КТ.
Let me see...
radiographia.ru
Похоже, я опять не в ногу.... Согласен с базальным гидротораксом справа, возможно в стадии осумкования (надо на латероскопе посмотреть). А вот с ателектазами нижней доли правого легкого не согласен: корень не смещен.
Андрей Юрьевич
Никто не говорил о ателектазе всей нижней доли! При таком плевральном выпоте, тем более отграниченном, всегда бывают сегментраные и суб-сегментраные ателектазы предлежащих отделов легкого, за счёт сдавления (компрессионные сегментраные/субсегментарные ателектазы). Они очень хорошо видны на КТ.
Let me see...
radiographia.ru
Спасибо, д-р Марио, за разъяснение Вашей позиции. Очередные трудности перевода: в советсткой/российской рентгентерминологии ателектаз - это спадение легкого вследствие нарушения бронхиальной проходимости (то, о чем пишет Петрович **обструктивный процесс в с/долевом и нижнезональном бронхах**), исключение - дисковидные ателектазы.
А то, о чем говорите Вы, у нас называли сдавлением извне, или компрессией. Хотя может, с обилием переводной литературы, их теперь тоже называют ателектазами...
Андрей Юрьевич
http://www.medterms.com/script/main/art.asp?articlekey=6614
Atelectasis: Failure of full expansion of the lung at birth or a collapse there after of the lung. The word comes from the Greek "a-" (without) + "telos" (complete) + "rectasis" (expansion) = without complete expansion.
Перевод:
Ателектаз: невозможность расправления лёгкого при рождении или коллапс (спадение) легочной ткани (после рождения). От греческого а- без + телос-полное+эктазис-расправление=без полного расправления.
Русскоязычный ресурс:
Краткая медицинская энциклопедия:
http://www.golkom.ru/kme/01/1-123-3-1.html
АТЕЛЕКТАЗ ЛЁГКОГО (греч. ateles неполный, незавершенный + ektasis растягивание) - патологическое состояние всего легкого, его доли или сегмента, при котором вследствие нарушения вентиляции альвеолы становятся безвоздушными и спадаются. Причинами А. л. являются обтурация бронха (см. Бронхи) или сдавление легкого (см. Легкие). При обтурации главного бронха возникает ателектаз всего легкого, при нарушении проходимости долевых или сегментарных бронхов - ателектазы соответствующих легочных долей или сегментов.
Как видите; сдавление лёгкого также указано как причина ателектаза, наравне с обтурацией бронха.
С Уважением.
Let me see...
radiographia.ru
Выходит я злонамеренно сузил значение термина. Бывает. Но что-то мне подсказывает, что не я один
.
Андрей Юрьевич
Возник "шальной вопрос".
Есть-ли возможность (пусть теоретически) связать состояние средней и нижней долей с проведенной операцией?
А я именно с операцией и связываю: либо это организовавшийся базальный гидроторакс справа, либо релаксация правого купола диафрагмы вследствие повреждения диафрагмального нерва. Конечно нужна КТ, но кое-что можно сделать и до этого.
1. Посмотреть выписку из стационара, где ее оперировали.Возможно она составлена подробно и туда внесены данные рентгенисследования после операции/перед выпиской. Менее вероятно, но м.б. даже снимки есть у нее на руках.
2. Взять пациента за экран, оценить подвижность правого купола диафрагмы. Свободная жидкость есть вряд ли: на боковых томограммах она бы растеклась, а этого нет.
3. Направить на дообследование пациента туда, где ее оперировали. Очень вероятно, что ей делали КТ до операции, будет с чем сравнить.
Андрей Юрьевич
Спасибо за совет Андрей Юрьевич.
Если допустить, что правая 1/2 диафрагмы поднята – с этим, кажется, все согласны – а причиной ателектаза является плевральный выпот над ней, (как полагает Dr.Mario), то непонятно почему выпот, сдавливая нормальную упругую лёгочную ткань сегментов н/д и с/д, позволяет диафрагме подняться, ведь на неё он давит ещё больше. Но вот если причина ателектаза обтурация бронхов, а выпота немного, и занимает он только часть освободившегося в грудной полости объёма, поднятие диафрагмы закономерно.
Валентин Львович, появилась ли новая информация по этому случаю? Поделитесь!
Неоднозначно всё
Пока "новой информации" нет.
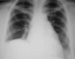
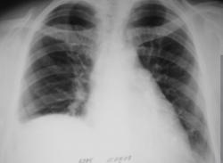
Оказывается во время операции был пересечен нерв. Вот рентгенограммы - 1 сделана после операции, вторая - через 1 месяц.
Зри в корень!
Ну уж коли за 10 мес. динамики нет, значит всё дело в релаксации диафрагмы, а выпота мало и обтурции бронхов, видимо, нет. Поджаты и уже не расправятся S4, S5, S7, S8, S9, S10.
Необыкновенно глубокая мысль! 
Триумф Андрея Юрьевича!
Век живи – век учись...
Неоднозначно всё
Триумф триумфом, а вот в данном случае http://www.radiomed.ru/forum/vopros-ot-alieksandra мое мнение не вполне подтвердилось. Так что, действительно: "Век живи – век учись... "
Андрей Юрьевич