Катенёв Валенти... Дата публикации 10.08.2009, 00:43 Ваше мнение коллеги по поводу контура верхнего края правой орбиты? Пнд, 10/08/2009 - 14:15 #1 Андрей Юрьевич Не на сайте Был на сайте: 1 неделя 5 дней назад Зарегистрирован: 16.11.2008 - 22:16 Публикации: 18098 Очень похоже на canalis supraorbitalis Андрей Юрьевич Пнд, 10/08/2009 - 15:31 #2 OPEXOB Не на сайте Был на сайте: 9 лет 11 месяцев назад Зарегистрирован: 26.07.2008 - 10:02 Публикации: 280 Ничего "интересного" Вс, 16/08/2009 - 20:02 #3 Катенёв Валенти... Не на сайте Был на сайте: 7 лет 3 недели назад Зарегистрирован: 22.03.2008 - 22:15 Публикации: 54876 Травма 2 года тому. Пациент направлен хирургом на рентгенографию 1 пальца в связи с усиливающимися болями в области первого пальца. К вечеру боли носят "пекущий" характер (со слов пациента).
Очень похоже на canalis supraorbitalis
Андрей Юрьевич
Ничего "интересного"
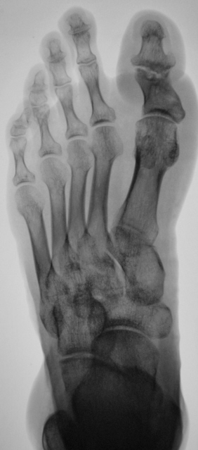
Травма 2 года тому. Пациент направлен хирургом на рентгенографию 1 пальца в связи с усиливающимися болями в области первого пальца. К вечеру боли носят "пекущий" характер (со слов пациента).