Вы здесь

Ваше мнение коллеги. Что скажете коллега Орехов?.

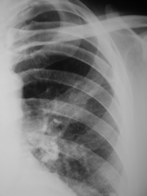
Пациент в течение ряда лет не проходил профилактической флюорографии. После расшифровки флюорограмм "взят на контроль". Произведена рентгенография и линейная томография в прямой проекции.

ИзображениеИзображениеИзображение

ИзображениеИзображениеИзображение

ИзображениеИзображениеИзображение

ИзображениеИзображениеИзображение

ИзображениеИзображениеИзображение

Изображение

Несмотря на наличие "архива" в виде обызвествленных лимфатических узлов склоняюсь в пользу рака.

Ваше мнение коллеги?

 

Андрей Юрьевич аватар
Не на сайте
Был на сайте: 2 недели 4 дня назад
Зарегистрирован: 16.11.2008 - 22:16
Публикации: 18098

Я бы оставил два диагноза, и порекомендовал бы бронхоскопию. В советские времена слушал сообщение о ТВС бронхов. Рентгенологически - типичные раковые ателектазы. Даже патоморфология неоднозначна. Эффект - при противотуберкуллезной терапии екс ювантибус.

Андрей Юрьевич

Катенёв Валентин Львович аватар
Не на сайте
Был на сайте: 7 лет 1 месяц назад
Зарегистрирован: 22.03.2008 - 22:15
Публикации: 54876

Послали на консультацию в область.

Ермолаев аватар
Не на сайте
Был на сайте: 8 лет 10 месяцев назад
Зарегистрирован: 07.02.2009 - 16:33
Публикации: 670

Валентин Львович! Упустил случай! Как меня учили, "туберкулез" с "раком" вместе не живут. Но в Вашем случае очень похоже на опухолевый процесс на фоне туберкулезных изменений.

dok

Катенёв Валентин Львович аватар
Не на сайте
Был на сайте: 7 лет 1 месяц назад
Зарегистрирован: 22.03.2008 - 22:15
Публикации: 54876

Согласен, что это два процесса, и последнее время такое встречается довольно часто.

Ермолаев аватар
Не на сайте
Был на сайте: 8 лет 10 месяцев назад
Зарегистрирован: 07.02.2009 - 16:33
Публикации: 670

Век живи - век учись!

dok