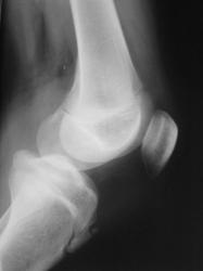
Уважаемый Валентин Львович! Я не сомневаясь, расценю данную картину, как остеохондропатию бугристости большеберцовой кости, болезнь Осгут- Шляттера. Имеется фрагментация бугристости (как у Рейнберга)
Кислое дело, этот самый Осгут-Шлаттер, особенно без второго сустава. Как Вы напишите, так и будет. Особенно, если напишите "за". Опровергнуть будет почти невозможно. Но второй сустав в боковой проекции надо сделать обязательно.
Ничуть не спорю. И даже согласен. Я это к тому, что напишет Валентин Львович Шлаттера, а в другом месте скажут: "Ну, как же так, даже другую ногу не сделали?". И все впечатление пропадет
Объяснюсь. Б-нь Шлаттера считаю одной из самых безвредных патологий: и поставишь - не похвалят, и пропустишь - не спросят. Я даже подумывал, что его уже и не ставят вовсе. Это, если утрировать. А МРТ - более объективный метод, может есть что у них по этому поводу?
Редко кто заказывает МРТ на Осгут-Шлаттера, мы выполняем УЗИ, которое решает вопрос окончательно. На www.radiographia.ru была публикация, если найду, дам ссылку.
Считаю, что - норма (контуры ровные четкие, структура однородная, щели равномерной ширины)
Уважаемый Валентин Львович! Я не сомневаясь, расценю данную картину, как остеохондропатию бугристости большеберцовой кости, болезнь Осгут- Шляттера. Имеется фрагментация бугристости (как у Рейнберга)
dok
Кислое дело, этот самый Осгут-Шлаттер, особенно без второго сустава. Как Вы напишите, так и будет. Особенно, если напишите "за". Опровергнуть будет почти невозможно. Но второй сустав в боковой проекции надо сделать обязательно.
Андрей Юрьевич
Андрей Юрьевич! По поводу второго сустава соглашусь. Но иногда бывает и односторонняя остеохондропатия.
dok
Ничуть не спорю. И даже согласен. Я это к тому, что напишет Валентин Львович Шлаттера, а в другом месте скажут: "Ну, как же так, даже другую ногу не сделали?". И все впечатление пропадет
Андрей Юрьевич
Кстати, д-р Марио не давал информацию по МРТ при Шлаттере в зарубежной практике?
Андрей Юрьевич
Андрей Юрьевич, не помню. Но в наших-то условиях зачем стрелять из пушек по воробьям. Достаточно и традиционной рентгенологии.
dok
Спасибо коллеги за высказанную точку зрения.
Объяснюсь. Б-нь Шлаттера считаю одной из самых безвредных патологий: и поставишь - не похвалят, и пропустишь - не спросят. Я даже подумывал, что его уже и не ставят вовсе. Это, если утрировать. А МРТ - более объективный метод, может есть что у них по этому поводу?
Андрей Юрьевич
Редко кто заказывает МРТ на Осгут-Шлаттера, мы выполняем УЗИ, которое решает вопрос окончательно. На www.radiographia.ru была публикация, если найду, дам ссылку.
Let me see...
radiographia.ru
Я бы здесь поставила Осгуд-Шлаттера, картинка как из книжки. Но надо еще ориентироваться и на клинику.
https://www.instagram.com/pediatricradiology/
При наличии клиники и мягкотканного компонента в хондропатии можно не сомневаться.
Зри в корень!
Большое спасибо коллеги за высказанные мнения. А вариантом нормы "сие" может быть?
Рискну предположить, что может. Впрочем, это косвенно подтверждают и коллеги:
В.Б.Серов: "При наличии клиники и мягкотканного компонента..."
Ola-la: "Но надо еще ориентироваться и на клинику"
Андрей Юрьевич