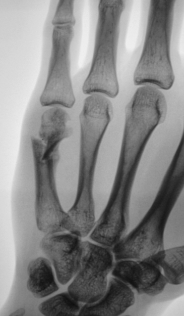
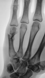
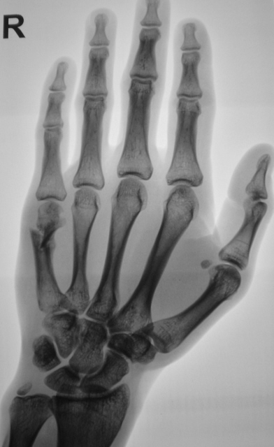
Катенёв Валенти... Дата публикации 02.12.2009, 22:30 Можно ли представленное рассматривать, как консолидированный перелом и выписывать пациента "к труду"? 1..VOPROS...JPG 2..VOPROS...JPG 3..VOPROS...JPG 4..VOPROS...JPG ВложениеРазмер 1..VOPROS...JPG71.9 КБ 2..VOPROS...JPG69.04 КБ 3..VOPROS...JPG77.01 КБ 4..VOPROS...JPG60.22 КБ Чт, 03/12/2009 - 14:39 #1 Глазков Игорь А... Не на сайте Был на сайте: 9 месяцев 2 недели назад Зарегистрирован: 19.12.2008 - 20:41 Публикации: 1597 определяется неправильно сросшийся субкапитальный перелом. Судить о возвращении к труду сложно, потому что , если труд физический, связанный с нагрузкой на кисть, то слабая костная мозоль может "дать трещину". Прийди к Себе Пт, 04/12/2009 - 18:35 #2 Vega Не на сайте Был на сайте: 3 месяцев 1 неделя назад Зарегистрирован: 22.01.2009 - 19:16 Публикации: 1087 Нет Пт, 04/12/2009 - 18:37 #3 Катенёв Валенти... Не на сайте Был на сайте: 7 лет 2 недели назад Зарегистрирован: 22.03.2008 - 22:15 Публикации: 54876 Спасибо Vega! Очень ждал, именно Вашего комментария. Еще раз большое спасибо.
определяется неправильно сросшийся субкапитальный перелом. Судить о возвращении к труду сложно, потому что , если труд физический, связанный с нагрузкой на кисть, то слабая костная мозоль может "дать трещину".
Прийди к Себе
Нет
Спасибо Vega!
Очень ждал, именно Вашего комментария.
Еще раз большое спасибо.