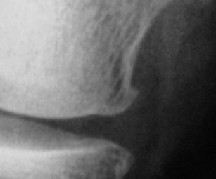
А с подвывихом голени что будем делать? Ведь //Штиды-Пеллегрини с. — кальцификация мягких тканей вокруг медиального мыщелка бедренной кости// и только? Я бы трактовал как артроз 2. Кстати, нарушение соотношений в суставах неизбежно приводит к артрозу. Возражения есть?
Синдром Pellegrini — Stieda представляет собой посттравматическую оссификацию параартикулярных тканей, возникающую в области внутреннего мыщелка бедра. Заболевание обычно наблюдается у мужчин молодого возраста, перенесших травматическое повреждение коленного сустава. Повреждение может быть легким или тяжелым, прямым или непрямым. После исчезновения острых симптомов повреждения может наступить период улучшения, но полного восстановления коленного сустава не происходит — разгибание в коленном суставе остается ограниченным. Иногда над внутренним мыщелком прощупывается болезненное уплотнение.
Пеллегрини — Штиды болезнь (A. Pellegrini, итал. хирург; A. Stieda, нем. хирург, 1869—1945; синоним: синдром Пеллегрини — Штиды, обызвествляющий периартрит области коленного сустава) — заболевание, характеризующееся очагами гетеротопического костеобразования в околосуставных тканях области медиального надмыщелка бедренной кости вследствие перенесенной ранее травмы. Впервые клинико-рентгенологическую и патоморфологическую картину заболевания описал А. Пеллегрини (1905), полагая, что для него характерно обызвествление большеберцовой коллатеральной связки коленного сустава. А. Штида (1907) считал образование оссификата следствием отрывного перелома надмыщелка бедренной кости, возникающего в результате прямой травмы или резкого сокращения большой приводящей мыщцы бедра. Современные морфологические и гистохимические исследования показали, что в основе заболевания лежит извращенная реакция регенерации в ответ на повреждение. Считают, что в возникновении этой метаплазии помимо травмы, кровоизлияния, некроза, длительного отека тканей большую роль играет индивидуальная предрасположенность организма. Заболевание развивается чаще у мужчин в возрасте 25—45 лет, преимущественно среди занимающихся физическим трудом или спортом. Пусковым механизмом обычно служит прямой удар в область медиального надмыщелка бедренной кости, форсированное отведение голени или резкое некоординированное сокращение большой приводящей мышцы бедра. В результате наступают кровоизлияния в месте прикрепления большеберцовой коллатеральной связки и сухожилия большой приводящей мышцы бедра к надмыщелку и асептический некроз тканей в зоне повреждения.
Основным симптомом болезни Пеллегрини — Штиды является боль, которая всегда соответствует месту расположения оссификата, может распространяться по ходу запирательного нерва или поднадколенниковой ветви подкожного нерва на переднюю поверхность голени. У 1/3 больных боли усиливаются в ночное время и носят жгучий сверлящий характер. Кроме того, отмечают ограничение движений в коленном суставе, как сгибания, так и разгибания, которые обычно сочетаются с отеком мягких тканей коленного сустава, местной гипертермией, гиперестезией или гипостезией в зоне отека, а также атрофией мышц бедра и голени. В раннем периоде после травмы, когда клиническая картина идентична ушибу или дисторсии коленного сустава, а также при сочетании с внутренними повреждениями его диагностика затруднена. Через 3—4 недели после травмы на рентгенограммах коленного сустава определяют оссификат (рис.), имеющий вид скобки, серпа или неправильную форму, который отделен от надмыщелка бедренной кости полоской просветления. При отрицательных рентгенологических данных, но при наличии пальпируемого оссификата необходимо произвести рентгеновские снимки с внутренней или наружной ротацией конечности на 20° для устранения наслоения оссификата на контур мыщелка бедра. Информацию о степени зрелости оссификата может дать радионуклидное исследование. Дифференциальный диагноз проводят с отрывным переломом медиального надмыщелка бедренной кости, который выявляется на рентгенограмме сразу после травмы. Кроме того, краевой дефект надмыщелка по форме и размерам соответствует оторванному фрагменту кости. Похожую рентгенологическую картину можно наблюдать при перестроенном процессе в надмыщелке тракционного генеза, возникающем в результате многократных форсированных напряжений большой приводящей мышцы бедра, например у футболистов. Однако постепенное развитие этого заболевания, более молодой возраст, связь с занятиями спортом помогают уточнить диагноз.
В.Б. Серов << А с подвывихом голени что будем делать? … Я бы трактовал как артроз 2. Кстати, нарушение соотношений в суставах неизбежно приводит к артрозу. Возражения есть?>> Возражения есть. 1. Какой именно подвывих здесь диагностируем, имея всего одну проекцию сустава (разве что ротационный, тогда в какую сторону) хотелось бы уточнений. 2. Нарушение соотношений в суставах может быть и приводит к артрозу, но ведь ещё не привело: хрящ как у молодого, а без дегенерации хряща не может быть артроза, косточки – сахарные. Почему артроз? Он случайно не велосипедист ли, обладатель Stieda-Pellegrini?
Обратите внимание на взаимоотношения межмыщелковыt возвышения б. берц. кости, они должны быть в центре между мыщелками бедра, с соотношениями суст. пов-тей мыщелков бедренной и б. б. костей аналогично - центры их смещены относительно друг друга: голень смещена кнаружи, сталобыть подвывих голени кнаружи. Ротационный? Да слышал про такой, но критерии для его подтверждения весьма зыбкие, симулировать их могут погрешности укладки и индивид. анатомические особенности. С возражением об отсутствии снижения суст. щели безусловно согласен, строго говоря заключение "артроз" в данном случае условно. Но если будем писать б-нь Штиды-Пеллегрини, поймут ли нас травматологи? Да и сомневаюсь, есть ли таковая в МКБ? Опять же, подвывих или, если угодно, децентрацию куда девать?
Отчего же, есть "таковое" в МКБ. M76.4 Большеберцовый коллатеральный бурсит [Пеллегрини-Штиды]
Только "терзают меня смутные сомнения", что не Штиды-Пеллегрини болезнь, является причинами болей в суставе у данного больного, а изменения собственно в суставе. Рентгенологически они проявляются микроостеофитами по внутренней поверхости (см. выше). И если пациент сделает МРТ (а заядлые футболисты, я думаю, себе это могут позволить), то будет у него и рассекающий остеохондрит, и хондромаляция, и дегенеративные изменения крестообразных связок с менисками.
В.Б. Серов << С возражением об отсутствии снижения суст. щели безусловно согласен, строго говоря заключение "артроз" в данном случае условно. Но если будем писать б-нь Штиды-Пеллегрини, поймут ли нас травматологи? Да и сомневаюсь, есть ли таковая в МКБ? Опять же, подвывих или, если угодно, децентрацию куда девать?>> Куда девать децентрацию не знаю, уверен, что она не узаконена в МКБ. Да и травматологи вряд ли обрадуются. Децентрация – неважная замена синдрому Pellegrini – Stieda. В их наставлениях наверняка нет ничего о лечении этой химеры. А вот подвывих заслуживает обсуждения.
<<Петрович, вы меня удивляете Обратите внимание на взаимоотношения межмыщелковыt возвышения б. берц. кости, они должны быть в центре между мыщелками бедра,...>> Я, коллега, не меньше удивлён вашим представлением об этом коленном суставе. Оставим пока в стороне бедро. Я прошу обратить внимание на взаимоотношения межмыщелковых возвышений большой берцовой кости и её же мыщелков. Возвышения должны быть в центре между своими мыщелками, а выглядят несколько смещёнными латерально и видимая суставная поверхность у латерального мыщелка ~ в 1,5 раза меньше чем у медиального. Вот это и есть признак ротации голени. А вот мыщелки бедра смотрятся «симметрично» и надколенник проецируется в центре эпифиза бедра – бедро не ротировано. На этом основании можно предположить (только предположить) ротационный подвывих голени внутрь. << ...с соотношениями суст. пов-тей мыщелков бедренной и б. б. костей аналогично - центры их смещены относительно друг друга: голень смещена кнаружи, сталобыть подвывих голени кнаружи.>> Не знаю каким способом Вы определяете центры "суст. пов-тей мыщелков бедренной и б. б. костей", но края их не смещены, а уж края определяются легко и надёжно. << Ротационный? Да слышал про такой, но критерии для его подтверждения весьма зыбкие, симулировать их могут погрешности укладки и индивид. анатомические особенности.>> Тут я спорить не буду – дело вкуса. Тем более, что Катенёв не даёт нам второй проекции. Когда вижу подобную картину, да ещё у футболиста, думаю о повреждении мениска. Я сам его повредил, играя в футбол в Далёком и Памятном 1975г. – Хельсинкское Соглашение, Союз – Апполон, Расцвет Застоя.
это похоже на отрывной перелом внутреннего надмыщелка
Прийди к Себе
<Подумал о синдроме Stieda-Pellegrini.>
А с подвывихом голени что будем делать? Ведь //Штиды-Пеллегрини с. — кальцификация мягких тканей вокруг медиального мыщелка бедренной кости// и только? Я бы трактовал как артроз 2. Кстати, нарушение соотношений в суставах неизбежно приводит к артрозу. Возражения есть?
Зри в корень!
Согласен и с артрозом и несостоятельностью связочного аппарата.
Синдром Stieda-Pellegrini, morbus Stieda, fractura Stieda, morbus Pellegrini-Stieda, morbus Kohler-Pellegrini-Stieda.
Синдром Pellegrini — Stieda представляет собой посттравматическую оссификацию параартикулярных тканей, возникающую в области внутреннего мыщелка бедра. Заболевание обычно наблюдается у мужчин молодого возраста, перенесших травматическое повреждение коленного сустава. Повреждение может быть легким или тяжелым, прямым или непрямым. После исчезновения острых симптомов повреждения может наступить период улучшения, но полного восстановления коленного сустава не происходит — разгибание в коленном суставе остается ограниченным. Иногда над внутренним мыщелком прощупывается болезненное уплотнение.
Пеллегрини — Штиды болезнь (A. Pellegrini, итал. хирург; A. Stieda, нем. хирург, 1869—1945; синоним: синдром Пеллегрини — Штиды, обызвествляющий периартрит области коленного сустава) — заболевание, характеризующееся очагами гетеротопического костеобразования в околосуставных тканях области медиального надмыщелка бедренной кости вследствие перенесенной ранее травмы. Впервые клинико-рентгенологическую и патоморфологическую картину заболевания описал А. Пеллегрини (1905), полагая, что для него характерно обызвествление большеберцовой коллатеральной связки коленного сустава. А. Штида (1907) считал образование оссификата следствием отрывного перелома надмыщелка бедренной кости, возникающего в результате прямой травмы или резкого сокращения большой приводящей мыщцы бедра. Современные морфологические и гистохимические исследования показали, что в основе заболевания лежит извращенная реакция регенерации в ответ на повреждение. Считают, что в возникновении этой метаплазии помимо травмы, кровоизлияния, некроза, длительного отека тканей большую роль играет индивидуальная предрасположенность организма.
Заболевание развивается чаще у мужчин в возрасте 25—45 лет, преимущественно среди занимающихся физическим трудом или спортом. Пусковым механизмом обычно служит прямой удар в область медиального надмыщелка бедренной кости, форсированное отведение голени или резкое некоординированное сокращение большой приводящей мышцы бедра. В результате наступают кровоизлияния в месте прикрепления большеберцовой коллатеральной связки и сухожилия большой приводящей мышцы бедра к надмыщелку и асептический некроз тканей в зоне повреждения.
Основным симптомом болезни Пеллегрини — Штиды является боль, которая всегда соответствует месту расположения оссификата, может распространяться по ходу запирательного нерва или поднадколенниковой ветви подкожного нерва на переднюю поверхность голени. У 1/3 больных боли усиливаются в ночное время и носят жгучий сверлящий характер. Кроме того, отмечают ограничение движений в коленном суставе, как сгибания, так и разгибания, которые обычно сочетаются с отеком мягких тканей коленного сустава, местной гипертермией, гиперестезией или гипостезией в зоне отека, а также атрофией мышц бедра и голени.
В раннем периоде после травмы, когда клиническая картина идентична ушибу или дисторсии коленного сустава, а также при сочетании с внутренними повреждениями его диагностика затруднена. Через 3—4 недели после травмы на рентгенограммах коленного сустава определяют оссификат (рис.), имеющий вид скобки, серпа или неправильную форму, который отделен от надмыщелка бедренной кости полоской просветления. При отрицательных рентгенологических данных, но при наличии пальпируемого оссификата необходимо произвести рентгеновские снимки с внутренней или наружной ротацией конечности на 20° для устранения наслоения оссификата на контур мыщелка бедра. Информацию о степени зрелости оссификата может дать радионуклидное исследование. Дифференциальный диагноз проводят с отрывным переломом медиального надмыщелка бедренной кости, который выявляется на рентгенограмме сразу после травмы. Кроме того, краевой дефект надмыщелка по форме и размерам соответствует оторванному фрагменту кости. Похожую рентгенологическую картину можно наблюдать при перестроенном процессе в надмыщелке тракционного генеза, возникающем в результате многократных форсированных напряжений большой приводящей мышцы бедра, например у футболистов. Однако постепенное развитие этого заболевания, более молодой возраст, связь с занятиями спортом помогают уточнить диагноз.
В.Б. Серов << А с подвывихом голени что будем делать? … Я бы трактовал как артроз 2. Кстати, нарушение соотношений в суставах неизбежно приводит к артрозу. Возражения есть?>>
Возражения есть. 1. Какой именно подвывих здесь диагностируем, имея всего одну проекцию сустава (разве что ротационный, тогда в какую сторону) хотелось бы уточнений. 2. Нарушение соотношений в суставах может быть и приводит к артрозу, но ведь ещё не привело: хрящ как у молодого, а без дегенерации хряща не может быть артроза, косточки – сахарные. Почему артроз?
Он случайно не велосипедист ли, обладатель Stieda-Pellegrini?
Неоднозначно всё
Обладатель - заядлый футболист.
Решил выставить данное изображение лишь с той целью, что данное заболевание (синдром) не встречал в своей своей практике уже весьма давно.
Обратите внимание на взаимоотношения межмыщелковыt возвышения б. берц. кости, они должны быть в центре между мыщелками бедра, с соотношениями суст. пов-тей мыщелков бедренной и б. б. костей аналогично - центры их смещены относительно друг друга: голень смещена кнаружи, сталобыть подвывих голени кнаружи. Ротационный? Да слышал про такой, но критерии для его подтверждения весьма зыбкие, симулировать их могут погрешности укладки и индивид. анатомические особенности.
С возражением об отсутствии снижения суст. щели безусловно согласен, строго говоря заключение "артроз" в данном случае условно. Но если будем писать б-нь Штиды-Пеллегрини, поймут ли нас травматологи? Да и сомневаюсь, есть ли таковая в МКБ? Опять же, подвывих или, если угодно, децентрацию куда девать?
Зри в корень!
"Таковой" в МКБ нет.
Отчего же, есть "таковое" в МКБ. M76.4 Большеберцовый коллатеральный бурсит [Пеллегрини-Штиды]
Только "терзают меня смутные сомнения", что не Штиды-Пеллегрини болезнь, является причинами болей в суставе у данного больного, а изменения собственно в суставе. Рентгенологически они проявляются микроостеофитами по внутренней поверхости (см. выше). И если пациент сделает МРТ (а заядлые футболисты, я думаю, себе это могут позволить), то будет у него и рассекающий остеохондрит, и хондромаляция, и дегенеративные изменения крестообразных связок с менисками.
Андрей Юрьевич
В.Б. Серов << С возражением об отсутствии снижения суст. щели безусловно согласен, строго говоря заключение "артроз" в данном случае условно. Но если будем писать б-нь Штиды-Пеллегрини, поймут ли нас травматологи? Да и сомневаюсь, есть ли таковая в МКБ? Опять же, подвывих или, если угодно, децентрацию куда девать?>>
Куда девать децентрацию не знаю, уверен, что она не узаконена в МКБ. Да и травматологи вряд ли обрадуются. Децентрация – неважная замена синдрому Pellegrini – Stieda. В их наставлениях наверняка нет ничего о лечении этой химеры. А вот подвывих заслуживает обсуждения.
Я, коллега, не меньше удивлён вашим представлением об этом коленном суставе.
Не знаю каким способом Вы определяете центры "суст. пов-тей мыщелков бедренной и б. б. костей", но края их не смещены, а уж края определяются легко и надёжно.
Тут я спорить не буду – дело вкуса. Тем более, что Катенёв не даёт нам второй проекции. Когда вижу подобную картину, да ещё у футболиста, думаю о повреждении мениска. Я сам его повредил, играя в футбол в Далёком и Памятном 1975г. – Хельсинкское Соглашение, Союз – Апполон, Расцвет Застоя.
<<Петрович, вы меня удивляете Обратите внимание на взаимоотношения межмыщелковыt возвышения б. берц. кости, они должны быть в центре между мыщелками бедра,...>>
Оставим пока в стороне бедро. Я прошу обратить внимание на взаимоотношения межмыщелковых возвышений большой берцовой кости и её же мыщелков. Возвышения должны быть в центре между своими мыщелками, а выглядят несколько смещёнными латерально и видимая суставная поверхность у латерального мыщелка ~ в 1,5 раза меньше чем у медиального. Вот это и есть признак ротации голени. А вот мыщелки бедра смотрятся «симметрично» и надколенник проецируется в центре эпифиза бедра – бедро не ротировано. На этом основании можно предположить (только предположить) ротационный подвывих голени внутрь.
<< ...с соотношениями суст. пов-тей мыщелков бедренной и б. б. костей аналогично - центры их смещены относительно друг друга: голень смещена кнаружи, сталобыть подвывих голени кнаружи.>>
<< Ротационный? Да слышал про такой, но критерии для его подтверждения весьма зыбкие, симулировать их могут погрешности укладки и индивид. анатомические особенности.>>
Неоднозначно всё