Не знает и не ведает. Оформляется на группу по "общему заболеванию", и хирургу не понравился "задний фасад", вот и направил на рентгенографию поясничного отдела позвоночника.
Ей повезло, она попала к Врачу. Зачастую бывает как в анекдоте: сидят две бабки под каб врача, одна другой говорит - вот сейчас как медицина вперед шагнула, раньше всю раздевали, а теперь только язык показать просят...
Но, мы примерно с такими шутками встречаемся по "линии военкомата", когда подросток всегда "был здоров", и становится понятным, что никто, его не смотрел, а просто писали...
Конечно, по большому счету, Вы правы, но вот только потом, при прокурорском надзоре, все наши коллеги (мед комиссия при военкомате) начинают ссылаться на своё церковно-приходское образование и говорить, что мол - де "пошли на поводу у рентгенолога". Хотя, общеизвестно, что на поводке водят и выгуливают, в основном, собак.
Прекрасный пример, приведенный Андреем Юрьевичем - "выдержка из С.А. Рейнберга", можно дополнить, - "А также, с учетом множества "надзирающих" организаций и чиновников", а в обществе "- мненияформирующих непрофессионалов".
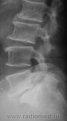
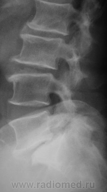
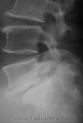
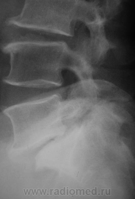
Спондилолистез L5-S1 - истинный, поэтому природа сама набедокуривши, сама и оберегает. Трудно представить безсимптомное течение, если бы это было последствием травмы. Очень рад, что Андрей Юрьевич приводит выдержки из Рейнберга. Судя по желтизне страниц - это первое издание.
Нет, Игорь Иванович, это второе издание, и я уже ссылался на него в ветке с артозом http://www.radiomed.ru/blogs/igor-ivanovich/artroz-li Я ж не Рейнберга отрицаю (что было бы, по меньшей мере глупо: где я, и где РЕЙНБЕРГ), а утверждаю, что описывать в настоящий момент рентгенограммы с деформирующим арторозом, исходя из позиции С.А. Рейнберга нелепо. Можно сесть в лужу. И сидеть в ней под недоуменные взгляды коллег, размахивая многотомным руководством как истиной в последней инстанции.
Нет, Игорь Иванович, это второе издание, и я уже ссылался на него в ветке с артозом http://www.radiomed.ru/blogs/igor-ivanovich/artroz-li Я ж не Рейнберга отрицаю (что было бы, по меньшей мере глупо: где я, и где РЕЙНБЕРГ), а утверждаю, что описывать в настоящий момент рентгенограммы с деформирующим арторозом, исходя из позиции С.А. Рейнберга нелепо. Можно сесть в лужу. И сидеть в ней под недоуменные взгляды коллег, размахивая многотомным руководством как истиной в последней инстанции.
Да я шучу, и ту желтизну я тоже заметил (хотел сразу подтрунить, да подвернулось выгонять радиоактивность С2Н5ОН, не до этого было). Но не думайте, пожалуйста, что я фанат Рейнберга. Есть у меня достаточно другой литературы по рентгеностеологии, хотя сегодняшняя работа с ней, практически, не связана. Я просто противник такого подхода, что, допустим, артроз - это:... и коротко 4 стадии. Тогда и можно найти и некоторое сужение суставной щели , и кое-какие краевые заостреня, и вроде склероз ... А потом и артроз вылазит, и даже не 1 ст. А когда-то прочитал внимательно ( с мелким шрифтом) этот раздел у Рейнберга и понял, что мы часто гипердиагностируем артрозы, остеохондрозы и др.
А как быть с неравномерным сужением суставной щели? Допустим, в коленном суставе, медиально сужена, а латерально - обычная (а кто знает какая должна быть обычно, пусть в мм.?) или расширенна?
Вот занялся, я, плагиатом. Изображения представлены Виктором Григорьевичем. А может быть, при неравномерном сужении суставной щели, целесообразнее не измерять линеечкой ширину суставной щели в сомнительных мм., а измерять угол "клиновидной деформации"?
Я в общем-то, полностью разделяю позицию Игоря Ивановича. ИМХО: много по жизни, гипердиагностики со сторны коллег-рентгенологов, как фактов артрозов, остеохондрозов и др.(констатация наличия болезни) так и в плане их стадирования. Об этом давно предупреждал С.А. Рейнберг ( первое издание, как я понял, было написано по материалам 1928 года), прошло 80 лет -но, ни чего не меняется. Я то же, читал указанную выше ветку про артроз коленного сустава-сделал вывод, что гипердиагностика( на мой взгляд) идёт не от того, что врачи невнимательно сморят снимки или у них низкая квалификация, заключение выносится осознанно(аргументировано), наверно потому, что их так научили.
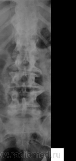
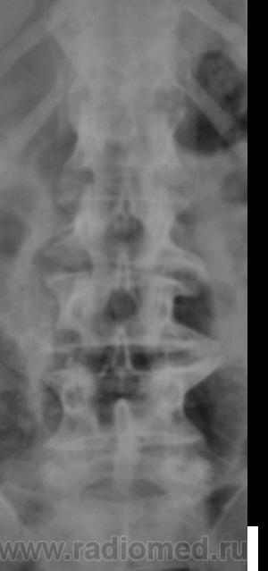
По данному случаю:на мой взгляд, он является примером того, что попытки обяснить клинику(страдания пациента) только изменениями на R-граммах несостоятельны (если бы, у пациентки были жалобы,скажем на боли в области поясницы, сделали бы вывод-"что вы хотите?!-деформирующий спондилёз, да ещё спондилолистез- из-за этого и болит"). Думаю, многие сталкивались такими направлениями: "Направляеться на R-графию пояснично-крестцового отдела позвоночника.D.S.:Исключить остеохондроз ".
А во сколько лет человек заимел все -озы? И спондилолиз с листезом 2 ст?
Красота - гормон карьерного роста!
Не знает и не ведает. Оформляется на группу по "общему заболеванию", и хирургу не понравился "задний фасад", вот и направил на рентгенографию поясничного отдела позвоночника.
Ей повезло, она попала к Врачу. Зачастую бывает как в анекдоте: сидят две бабки под каб врача, одна другой говорит - вот сейчас как медицина вперед шагнула, раньше всю раздевали, а теперь только язык показать просят...
Красота - гормон карьерного роста!
Ага, повезло... попала... Была здоровая бабулька, ничего не болело, а теперь столько болячек найдут!
"самоуверенность дилетантов - предмет зависти профессионалов"
Но "это" плюс к "оформлению группы".
это шутка, Валентин Львович.
"самоуверенность дилетантов - предмет зависти профессионалов"
Я это понял.
Но, мы примерно с такими шутками встречаемся по "линии военкомата", когда подросток всегда "был здоров", и становится понятным, что никто, его не смотрел, а просто писали...
"осмотр в военкомате заключается в приблизительном подсчете конечностей" С. Лукьяненко
"самоуверенность дилетантов - предмет зависти профессионалов"
Вы зрите в корень!!!!!!!!!!!!!!!!!
+ бесконечность
Красота - гормон карьерного роста!
Конечно, по большому счету, Вы правы, но вот только потом, при прокурорском надзоре, все наши коллеги (мед комиссия при военкомате) начинают ссылаться на своё церковно-приходское образование и говорить, что мол - де "пошли на поводу у рентгенолога". Хотя, общеизвестно, что на поводке водят и выгуливают, в основном, собак.
Это не я, Ольга Дмитриевна, это Сергей Лукьяненко "Фальшивые зеркала"...
"самоуверенность дилетантов - предмет зависти профессионалов"
Все равно + за чтение таких познавательных книг.
А про хождение на поводу у рентгенолога... Мы же пишем не для больного, а для прокурора.
Красота - гормон карьерного роста!
Написание "для прокурора" (т.е. подробное) и для больного полезно. Да, и С.А.Рейберг поддерживал
Андрей Юрьевич
Прекрасный пример, приведенный Андреем Юрьевичем - "выдержка из С.А. Рейнберга", можно дополнить, - "А также, с учетом множества "надзирающих" организаций и чиновников", а в обществе "- мненияформирующих непрофессионалов".
Да бывает...
Виктор.
Спондилолистез L5-S1 - истинный, поэтому природа сама набедокуривши, сама и оберегает. Трудно представить безсимптомное течение, если бы это было последствием травмы. Очень рад, что Андрей Юрьевич приводит выдержки из Рейнберга. Судя по желтизне страниц - это первое издание
.
Нет, Игорь Иванович, это второе издание, и я уже ссылался на него в ветке с артозом http://www.radiomed.ru/blogs/igor-ivanovich/artroz-li Я ж не Рейнберга отрицаю (что было бы, по меньшей мере глупо: где я, и где РЕЙНБЕРГ), а утверждаю, что описывать в настоящий момент рентгенограммы с деформирующим арторозом, исходя из позиции С.А. Рейнберга нелепо. Можно сесть в лужу. И сидеть в ней под недоуменные взгляды коллег, размахивая многотомным руководством как истиной в последней инстанции.
Андрей Юрьевич
Да я шучу, и ту желтизну я тоже заметил (хотел сразу подтрунить, да подвернулось выгонять радиоактивность С2Н5ОН, не до этого было). Но не думайте, пожалуйста, что я фанат Рейнберга. Есть у меня достаточно другой литературы по рентгеностеологии, хотя сегодняшняя работа с ней, практически, не связана. Я просто противник такого подхода, что, допустим, артроз - это:... и коротко 4 стадии. Тогда и можно найти и некоторое сужение суставной щели , и кое-какие краевые заостреня, и вроде склероз ... А потом и артроз вылазит, и даже не 1 ст. А когда-то прочитал внимательно ( с мелким шрифтом) этот раздел у Рейнберга и понял, что мы часто гипердиагностируем артрозы, остеохондрозы и др.
А как быть с неравномерным сужением суставной щели? Допустим, в коленном суставе, медиально сужена, а латерально - обычная (а кто знает какая должна быть обычно, пусть в мм.?) или расширенна?
Вот занялся, я, плагиатом. Изображения представлены Виктором Григорьевичем. А может быть, при неравномерном сужении суставной щели, целесообразнее не измерять линеечкой ширину суставной щели в сомнительных мм., а измерять угол "клиновидной деформации"?
Я в общем-то, полностью разделяю позицию Игоря Ивановича. ИМХО: много по жизни, гипердиагностики со сторны коллег-рентгенологов, как фактов артрозов, остеохондрозов и др.(констатация наличия болезни) так и в плане их стадирования. Об этом давно предупреждал С.А. Рейнберг ( первое издание, как я понял, было написано по материалам 1928 года), прошло 80 лет -но, ни чего не меняется. Я то же, читал указанную выше ветку про артроз коленного сустава-сделал вывод, что гипердиагностика( на мой взгляд) идёт не от того, что врачи невнимательно сморят снимки или у них низкая квалификация, заключение выносится осознанно(аргументировано), наверно потому, что их так научили.
..........................................................................................................................................................................................................................................................
По данному случаю:на мой взгляд, он является примером того, что попытки обяснить клинику(страдания пациента) только изменениями на R-граммах несостоятельны (если бы, у пациентки были жалобы,скажем на боли в области поясницы, сделали бы вывод-"что вы хотите?!-деформирующий спондилёз, да ещё спондилолистез- из-за этого и болит"). Думаю, многие сталкивались такими направлениями: "Направляеться на R-графию пояснично-крестцового отдела позвоночника.D.S.:Исключить остеохондроз ".
Коллега, спасибо за поддержку. А то я вообще пригрустил по аналогии с Вилли Токаревым:
Ох артрозы, эх артрозы, а я маленький такой
То мне больно, то мне грустно... и дальше по тексту