You are here

ОГК. Ваше мнение коллеги?

Пол пациента: 
Тип патологии: 
Методы исследования: 

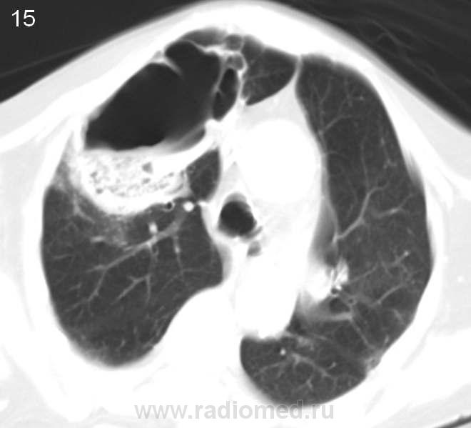
Больная 80 лет. Госпитализирована в терапевтическое отделение. Состояние тяжелое.Флюорографию не проходила много лет. Прошу высказать Ваше мнение о данной патологии. Это не игра. Диагностика заболевания. Жду. С уважением, Nikolas

    

                         

  • https://radiomed.ru/sites/default/files/styles/case_slider_image/public/user/7898/008179a1.jpg?itok=agZjXpHx
  • https://radiomed.ru/sites/default/files/styles/case_slider_image/public/user/7898/0081a6ac.jpg?itok=ah3Vu5Am
  • https://radiomed.ru/sites/default/files/styles/case_slider_image/public/user/7898/0081cd5e.jpg?itok=W0Y8zgAN
  • https://radiomed.ru/sites/default/files/styles/case_slider_image/public/user/7898/0081f52a.jpg?itok=dTt4Dtg1
  • https://radiomed.ru/sites/default/files/styles/case_slider_image/public/user/7898/0082ac54.jpg?itok=j3wB5QEt
  • https://radiomed.ru/sites/default/files/styles/case_slider_image/public/user/7898/0082c9a0.jpg?itok=m_3d0Ro4
  • https://radiomed.ru/sites/default/files/styles/case_slider_image/public/user/7898/00824b78.jpg?itok=Pnm9KKO1
  • https://radiomed.ru/sites/default/files/styles/case_slider_image/public/user/7898/0082f091.jpg?itok=AB-78Kdc
  • https://radiomed.ru/sites/default/files/styles/case_slider_image/public/user/7898/008361d9.jpg?itok=kwmvwPQT
  • https://radiomed.ru/sites/default/files/styles/case_slider_image/public/user/7898/008379e5.jpg?itok=4uOaPsMk
  • https://radiomed.ru/sites/default/files/styles/case_slider_image/public/user/7898/00834180.jpg?itok=Qq62dcoQ
  • https://radiomed.ru/sites/default/files/styles/case_slider_image/public/user/7898/0083928e.jpg?itok=TCq_rcrp
  • https://radiomed.ru/sites/default/files/styles/case_slider_image/public/user/7898/00822080.jpg?itok=ER_VybTr
  • https://radiomed.ru/sites/default/files/styles/case_slider_image/public/user/7898/0082720b.jpg?itok=Zey22fhE
ID:21297
Андрей Юрьевич's picture
Offline
Last seen: 6 days 14 hours ago
Joined: 16.11.2008 - 22:16
Posts: 18098

Диф ряд очень широк. Например, актиномикоз. Дифференциальный диагноз при актиномикозе проводится с туберкулезом, раком, абсцессом легкого, другими микозами (кандидоз, аспергиллез).

Андрей Юрьевич

koriatus's picture
Offline
Last seen: 3 years 5 days ago
Joined: 14.06.2010 - 01:49
Posts: 452

Делайте с конрастом. Исключайте ТЭЛУ. Очень большая вероятность что тут есть. Предварительно деструктивная пневмонии с наличие секвестров в полостях абсцесса. Надо исключить инфаркты в легких.

Ну и вероятнее всего большая аксиальная ГПОД.

И.Бондаренко's picture
Offline
Last seen: 2 days 7 hours ago
Joined: 13.09.2011 - 22:55
Posts: 9206

Полость большая, стенки неровные, толщина различная, есть что-то вроде секвестра, но думаю- солидный компонент. На первое место выставил бы полостную форму рака, а остальное в виде вторичного наслоения. За ТЭЛА не думаю, была бы клиника, да и распад слишком большой.

Катенёв Валентин Львович's picture
Offline
Last seen: 7 years 2 weeks ago
Joined: 22.03.2008 - 22:15
Posts: 54876

А. рутинных рентгенограмм - прямо и бок нет?

ЛГ's picture
Offline
Last seen: 8 years 10 months ago
Joined: 06.01.2010 - 12:31
Posts: 3523

Кровь и мокрота: что в анализах? Температура? Состояние тяжелое, а какова клиника, анамнез заболевания - остро, хронически? Есть ли динамика снимков? Есть ли связь с органами брюшной полости? Одни вопросы sad. Ни верхушек, ни низушек, полной картины не складывается, и без мягкотканного окна только гадать остается. Будь у меня такое исследование без ничего, написала бы полостное образование (диф.ряд от толстой кишки в грудной полости до абсцесса легкого). 

Almo's picture
Offline
Last seen: 10 hours 22 min ago
Joined: 28.09.2008 - 18:50
Posts: 8256

Больше данных за абсцедирующую пневмонию справа, есть инфильтрация лёгочной ткани и слева, но надо дифференцировать с заболеваниями указанными выше( на некоторых срезах на стенке полостной структуры мерещится гаустация...).Как уже сказали коллеги, мало клинико-лабораторный данных и R-граммы лёгких не помешали бы...

Петрович's picture
Offline
Last seen: 7 years 2 months ago
Joined: 22.03.2009 - 01:13
Posts: 3908

Должен согласиться со всеми ранее высказавшимися уважаемыми коллегами: представленного материала совершенно недостаточно для серьёзной диагностики. Только для угадайки безответственной.

Зато представился редкий случай верифицировать КТ исследование (хотя и усечённое) при помощи классического перорального контрастирования ЖКТ или же отвергнуть грыжу.

Неоднозначно всё

И.Бондаренко's picture
Offline
Last seen: 2 days 7 hours ago
Joined: 13.09.2011 - 22:55
Posts: 9206

ГПОД, по всей видимости, есть.

Almo's picture
Offline
Last seen: 10 hours 22 min ago
Joined: 28.09.2008 - 18:50
Posts: 8256

Тогда, может быть вы по томограммам как-то стрелками, сможете показать где предполагаете ГПОД.

Андрей Юрьевич's picture
Offline
Last seen: 6 days 14 hours ago
Joined: 16.11.2008 - 22:16
Posts: 18098

Almo wrote:

Тогда, может быть вы по томограммам как-то стрелками, сможете показать где предполагаете ГПОД.

Вот здесь ее предполагают (кружок). Но смотреть надо в медиастинальном окне.

Приложения: 
008379e5_.jpg

Андрей Юрьевич

cupitur's picture
Offline
Last seen: 11 years 10 months ago
Joined: 19.09.2011 - 10:42
Posts: 262

А добавить и нечего. Только вопрос: а ГПОД может дать такую картину, образование полости? И мне кажется тут просто туберкулезная огромная каверна и  туберкулезные изменения!

Nikolas's picture
Offline
Last seen: 1 month 3 weeks ago
Joined: 21.12.2010 - 20:37
Posts: 4559

рисунки.

Приложения: 
sn.lezha_r.pngkt.jpg11.jpg12.jpg13.jpg14.jpg15.jpg16.jpg17.jpg18.jpg19.jpg20.jpg24.jpg27.jpg28.jpg29.jpg30.jpg32.jpg33.jpg34.jpg35.jpg31.jpg
федя's picture
Offline
Last seen: 11 years 7 months ago
Joined: 25.06.2011 - 20:28
Posts: 260

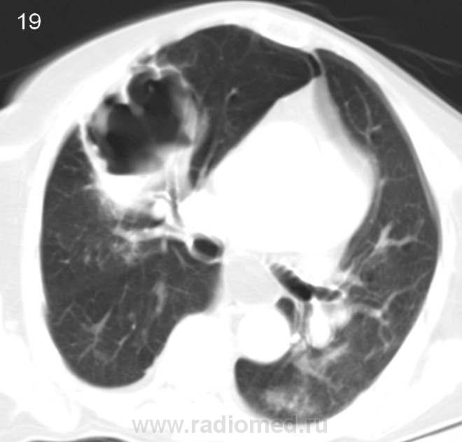
1)синдром кольцевидных теней  ,неправильной формы с толстыми стенками ,наличием в некоторых горизонтального уровня ,2)уплотнения по типу матового стекла(вероятнее всего кровоизлияния) ,3)синдром круглой тени(вероятнее всего гранулема),4)синдром очаговых теней ,5)локальное субплевральное уплотнение по типу консолидации,6)мелкие сгруппированные ацинарные тени,7)субплевральные линейные тени(фиброз),8)единичный крупный л.у. параэзофагеальной группы со сниженной дкнситометрической плотностью,9)крупная параэзофагеальная грыжа,10)левая доля печени со сниженной денситометрической плотностью?(есть сомнения ввиду лишь нативного исследования ).исключить гранулематозы(туберкулез и вегенер) и грибковое поражение

Nikolas's picture
Offline
Last seen: 1 month 3 weeks ago
Joined: 21.12.2010 - 20:37
Posts: 4559

для полной картины. Лейкоцитов 16 тыс., п/я-31%, лимф.- 6%,  Нв- 95; СОЭ -80 мм/ч. Температура тела - нормальная. Начало постепенное. Петрович! Сейчас картинок достаточно для Вашего заключения?

Приложения: 
004..jpg005..jpg006..jpg007..jpg008..jpg009..jpg32..jpg33..jpg34..jpg35..jpg36..jpg37..jpg
Андрей Юрьевич's picture
Offline
Last seen: 6 days 14 hours ago
Joined: 16.11.2008 - 22:16
Posts: 18098

Хоть и не Петрович, отвечу, что нет. Случай сложный, дайкомы нужны.

Андрей Юрьевич

ЛГ's picture
Offline
Last seen: 8 years 10 months ago
Joined: 06.01.2010 - 12:31
Posts: 3523

Лимфаденопатии что-то не нашла. Мне показалось, что размеры правой молочной железы значительно увеличены. Жаль, что на КТ "молочки" срезаны, может, там что интересное было бы.

ГПОД - понятно. Связи полости справа с брюшной нет, кишка отпадает.

Справа вокруг полости до противного чисто... ну немного паренхима поджата, что неудивительно. Полость крупная, с перегородками, с некротическими массами и жидкостью, стенки неравномерно толстые. На первом месте выставила бы полостную форму рака (либо солитарный гигантский мтс с распадом), на второе - туб.каверну (нет отсева или я не вижу, что как-то мало подходит под тбс), на третье - гигантский абсцесс (такая ареактивность, что лимфоузлы не отреагировали?...). Возможность грибов мне кажется достаточно маловероятной. Вегенера и последствия инфаркта при ТЭЛА тоже возможно, но такая крупная полость в 80 лет мне кажется для этих вариантов также маловероятной. Могу ошибаться.

Слева похоже на гипостатическую пневмонию, словно пациентка лежит в-основном на левом боку... но не уверена, очагов не вижу, интерстициальных изменений тоже, только симптом матового стекла.

Думаю, тут главное - что в мокроте по цитологии и посеву. 

Кавитации в легких: http://cumedicine.org/webboard/file/ans/2644.pdf

Приложения: 
kavitacii.jpg
Катенёв Валентин Львович's picture
Offline
Last seen: 7 years 2 weeks ago
Joined: 22.03.2008 - 22:15
Posts: 54876

Да, мокрота и посев должны дать много, дать основное. На мой взгляд, прежде всего - микобактерии и грибы.

koriatus's picture
Offline
Last seen: 3 years 5 days ago
Joined: 14.06.2010 - 01:49
Posts: 452

Ну сделайте, плиз, с контрастом! я почему то уверен что это инфаркты такие большие! АААА!!!!!! (может и зря - но 6-м чувством чувствую!). Уж очент неровные контур какие то - прям как при инфарктах. При рпухоли бычно толще стенки (секвестрацию не учитваем) и изменения в виде тяжистости в рядом лежащем легком. Массивная деструкция (как раньше обзывали - гангрена легкого), грибы - кончно не исключены (ангиоинвазивынй аспергиллез например, если есть иммунодефицит). Но, блин, 6-е чувство.. ААААААА!!!!!

Nikolas's picture
Offline
Last seen: 1 month 3 weeks ago
Joined: 21.12.2010 - 20:37
Posts: 4559

"плиз, с контрастом"  не получился, но получены материалы секции. 100% совпадение,  "что это инфаркты такие большие! АААА!!!!!!".  Теперь? как прилежный ученик, выслушаю Ваши основные доводы повторно. Жду. С уважением Nikolas

koriatus's picture
Offline
Last seen: 3 years 5 days ago
Joined: 14.06.2010 - 01:49
Posts: 452

Ну вот, 6-е чувство не подвело ))

Каких-то конкретных доводов нету, есть только кое-какие косвенные признаки, которые наводят на мысль о ТЭЛА

- сегментарная локализация: посмотрите - деструкция занимает четко ограниченную анатомическую зону, широко прилежит к плевре (субплеврально)

- форма: клиновидная

- контуры: неровные, как бы "полицикличные" контуры деструктивной полости - очень характерный признак для больших инфарктов. Туберкулезные полости обычно имеют более правильные контуры (если конечно они не совсем старые, но при этом вокрг должен быть явно выраженный фиброзный процесс - тут этого нету)

- стенка - не толстая! При опухолях маловероятно что была бы такой толщины стенка. Причем она относительно равномерная. (на нижний отдел не смотрите - там секвестр остался от легкого а не стенка).

- характер секвестра - ячеистого характера (довольно типично выглядит). Правда и не при ТЭЛЕ выглядит подобно, но все же..

Ну и самое оснвое: в  окружающем легком явных изменений, ожидающихся при других патологических процессах не выявлено: например при такой деструкции при тбц ожидались бы очаги или выраженый фиброз, при опухоли с такой деструцкции тоже ожидали очаги, лимфоузлы, обструкцию бронхов (а они спокойно проходят в дестрктивной полости), изменения в легочной архитектонике и тд. 

По поводу воспалительного процесса - да, такие изменения могут быть при гангренозной пневмонии (обычно при стафилококовой деструкции легких), но там больший обем поражения обычно и перифокально бОльшие изменения. 

Ну а по поводу 6-го чувства :)) -   когда работал на предыдущей работе, каждый день проходило по 3-4 ТЭЛы. Пересмотрел их очень много. И подобные выше изменения видел не раз. Конечно это не типичные инфаркты (при типичных - определется субплеврально овальной или клиновидной формы инфильтрат с наличием в центральной зоне ячеистого характера уплотнения (по типу "губки") - окруженный не толстым равномерной толщины ободком). 

И немного из личного опыта: запомнил случай - привезла реанимация женщину около 30-35 лет. В анамнезе НАМ с придатками по поводу о-лей яичника. Ставят рецидив, мтс в легкие. Несколько раз было сделано КТ (не у нас) - одно хуже другого - деструктинвый процесс на первом КТ был не очень большой (очень похож н атакой как выше), достаточно большая зона уплотнения по типу матового стекла, на втором КТ - зона уплотнения стала больше, деструкция увеличилась (практически на 3/4 всего левого легкого), появились уплотнения в праом легком (субплевральные). По КТ писали воспалительынй процесс/тбц?/грибы? Лечили от восп. процесса а все хуже и хуже. Клиницисты уже все решили, что это  рецидивирование опухолевого процесса.  Вообщим, когда состояние вообще стало очень тяжелым реанимация прикатила сделать КТ легких и брюшной полости. Так как я ОБП всегда делаю с контрастом, то одномоментно в 1 фазу захватил легкие и ОБП ( и сделал не позднююю артериальную фазу а пораньше). Вообщим получил двустороннюю массивную ТЭЛУ. И все эти полости - оказались такой инфаркт-пневмонией. Причем обтурированы (частично) были крупные ветви (долевые и сегменарные), в ветвях верхней доле кажется вообще даже пристеночного кровотока не было. Кк начали рабираться, оказлось, что у больной жалобы на жжение и покраснение нижних коненостей (в области бедер), сделали допплер - тромбоз глубоких ветвей. В малом тазу, кстати, никаих признаков рецидивирования опухолевого процесса не было. Потом мы ей еще раз делали КТ на фоне терапии - тробов стало меньше, часть реканализировалос, но десруктивный процесс был массивный. Женщина умерла... А если бы вовремя заподозрили (еще на 1-м КТ) и сделали с контрастом... 

Вот в том случае деструктивные полости, секвестрация - тоже очень напоминала вышеприведенный случай. 

Надеюсь, ответил на Ваш вопрос.

Nikolas's picture
Offline
Last seen: 1 month 3 weeks ago
Joined: 21.12.2010 - 20:37
Posts: 4559

Ваше предшествующее высказывание по поводу ТЭЛА помогло мне спасти пациентку, которой ставили абсцедирующую пневмонию. Повторили КТ с  "плиз контрастом" и в десятку. Сейчас пожилая пациентка жива, идет на поправку. При благоприятной ситуации материалы представлю. Благодарю Вас за подробный ответ. Что касается 6-го чувства, это показатель высокой профессиональной квалификации.  С уважением Nik

Катенёв Валентин Львович's picture
Offline
Last seen: 7 years 2 weeks ago
Joined: 22.03.2008 - 22:15
Posts: 54876

koriatus у - ВИВАТ!

Петрович's picture
Offline
Last seen: 7 years 2 months ago
Joined: 22.03.2009 - 01:13
Posts: 3908

Это не первый триумф Юрия Леонтьевича.

Koriatus – Восходящая звезда в радиологии! Желаем ему дальнейших побед и наше сообщество не забывать. Здесь уже немало его поклонников, а будет ещё больше)).

Cherna-cannon.gif

Cherna-pirate.gif

Cherna-cannon.gif

Неоднозначно всё

Nikolas's picture
Offline
Last seen: 1 month 3 weeks ago
Joined: 21.12.2010 - 20:37
Posts: 4559

Какков патогенез этого явления. Если кто знает или имеет ссылки, прошу написать. Жду . С уважением Nikolas