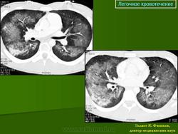
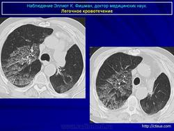
Лёгочное кровотечение. Fri, 23/09/2011 - 23:36 #1 Катенёв Валенти... Offline Last seen: 7 years 5 months ago Joined: 22.03.2008 - 22:15 Posts: 54876 Продолжение.Приложения: Sat, 02/06/2012 - 01:19 #2 Катенёв Валенти... Offline Last seen: 7 years 5 months ago Joined: 22.03.2008 - 22:15 Posts: 54876 Лёгочная геморрагия.Приложения: Sun, 03/06/2012 - 21:48 #3 Nikolas Offline Last seen: 1 month 4 weeks ago Joined: 21.12.2010 - 20:37 Posts: 4560 уважаемый Валентин Львович, что Вы почти всегда даете литературную справку во время какой-либо дискуссии. Ваши иллюстрации на мое клиническое наблюдение, как всегда, своевременны и актуальны. Спасибо. С уважением Nik. Sun, 03/06/2012 - 21:41 #4 Катенёв Валенти... Offline Last seen: 7 years 5 months ago Joined: 22.03.2008 - 22:15 Posts: 54876 Я постараюсь в ближайшее время пополнить этот набор. Wed, 10/09/2014 - 13:20 #5 Катенёв Валенти... Offline Last seen: 7 years 5 months ago Joined: 22.03.2008 - 22:15 Posts: 54876 Продолжение.Приложения:
Продолжение.
Лёгочная геморрагия.
уважаемый Валентин Львович, что Вы почти всегда даете литературную справку во время какой-либо дискуссии. Ваши иллюстрации на мое клиническое наблюдение, как всегда, своевременны и актуальны. Спасибо. С уважением Nik.
Я постараюсь в ближайшее время пополнить этот набор.
Продолжение.