КСС. Наследственная сенсорно-вегетативная нейропатия. +

Наследственная сенсорно-вегетативная нейропатия.

Наблюдение Кет.

 

Пациентка 1983 г.р.

Жалобы на боли в поясничном отделе позвоночника, деформацию позвоночника, деформацию и укорочение правой ноги, затруднение при ходьбе; ортостатические головокружения: периодические крампи (судороги) в мышцах стоп и голеней; повышение температуры при волнениях и стрессах. Периодические боли в эпигастральной области, вздутие живота, частая отрыжка, снижение веса, похудание, нарушение аппетита, выраженная сухость кожных покровов, частый кожный зуд; нарушение цикла месячных, выраженная болезненность в предменструальном периоде.

Анамнез заболевания: беременность протекала без особенностей, роды на 38 неделе. Отмечалось внутриутробное инфицирование, прививки не проводились. После выписки из роддома в связи с лихорадкой, повторными рвотами была госпитализирована в инфекционную больницу (бабушка работала зав.отделением), где получала массивную антибактериальную терапию. Диагноз при выписке: нарушение терморегуляции(?). В дальнейшем наблюдалась по поводу выраженного диатеза. В возрасте 10 мес. - перелом левого бедра, находилась на вытяжении. В 1 год 2 мес повторный перелом. В школу пошла в 8 лет, после окончания 1 класса упала, ударилась правым коленом, была оперирована. После операции отмечалась деформация коленного сустава и укорочение правой ноги.

С детства отмечались чувствительные нарушения на руках, левом бедре, в связи с чем неоднократно получала ожоги. В течение всей жизни периодическая немотивированная гипертермия - нарушение терморегуляции на фоне ангидроза.

В возрасте 10 лет упала со стула, получила перелом L2-L3 позвонков (патологический). Госпитализирована в ДКБ им.Филатова, где выставлен диагноз: Сирингомиелия. Затем переведена в ЦИТО для решения вопроса об оперативном лечении от которого отказались в связи с аллергией на наркоз(?) Лечилась консервативно дома - постельный режим лежа на боку. Со 2 класса на домашнем обучении.

В 2000году - перелом костей левой голени, лечилась амбулаторно.

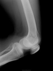
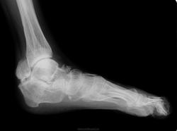
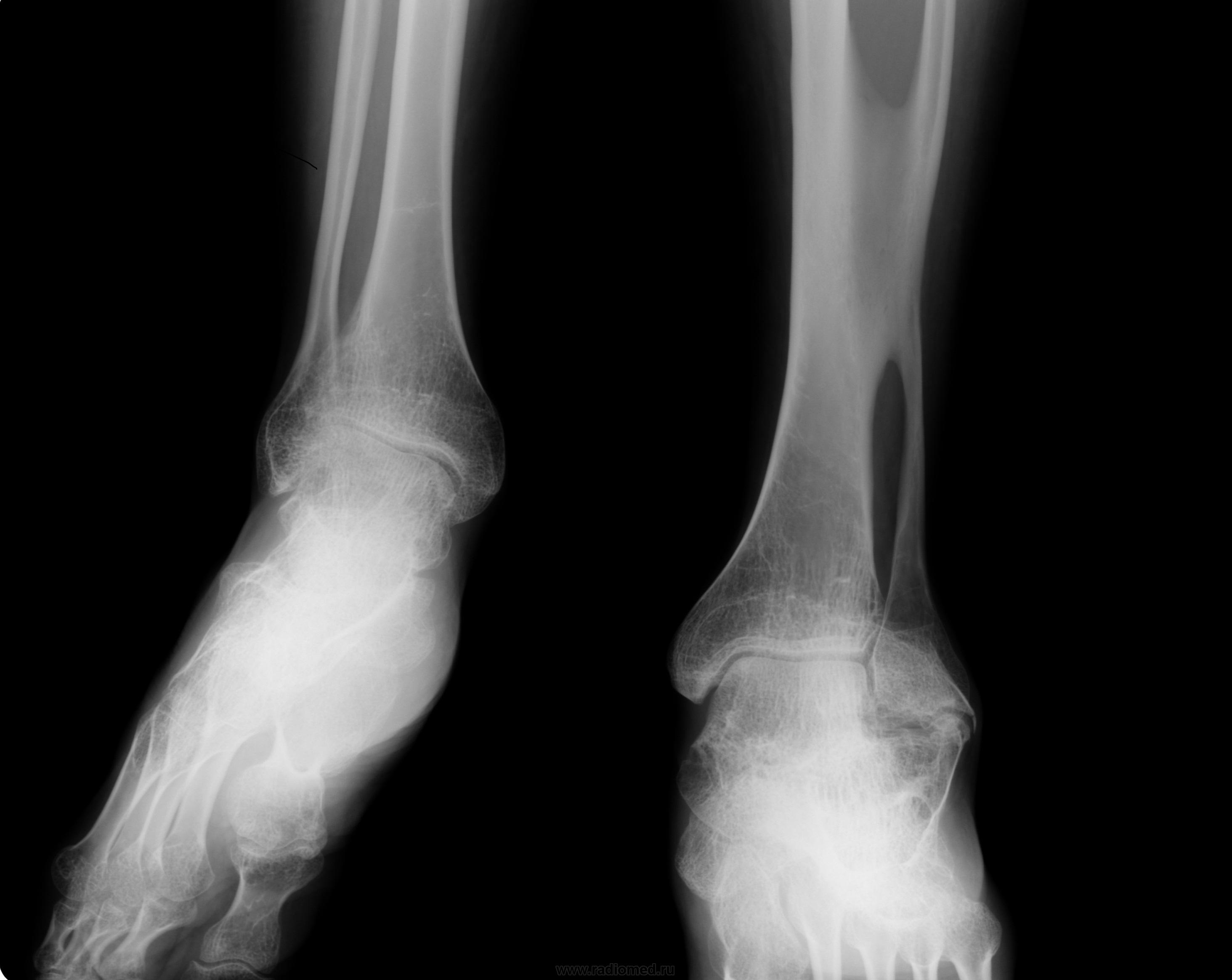
Заключение Главного детского хирурга ДЗ г.Москвы от 02.04.2007 года: Сирингомиелия. Патологический перелом Л2. Кифотическая деформация позвоночника. Радикуломиелопатический синдром. Врожденная сенсорная нейропатия с ангидрозом и спонтанным ангиолизисом. Вальгусная деформация правого коленного сустава на почве остеолизиса дистального мыщелка бедренной кости, нестабильность коленного сустава справа. Плоско-вальгусные стопы.

С 10-летнего возраста в стационарах не лежала, реабилитационного и санаторно-курортного лечения не получала.

В 2011 году проходила амбулаторное обследование в НИИ Неврологии: Проведено МРТ шейного, грудного, поясничного отделов позвоночника: Данных за сирингомиелические кисты не получено. Остеохондроз позвоночника, дисплазия тел С5-С7с унковертебральным артрозом и патологическим кифозом, патологический угловой кифоз поясничного отдела позвоночника, дисплазия тела L2 позвонка («бабочковидный» позвонок), вторичный стеноз позвоночного канала дегенеративные изменение суставно-связочного комплекса.

Исследование гормонов щитовидной железы, паратгормон - показатели в норме. Со слов матери, проходила генетическое обследование: отклонений не обнаружено.

Денситометрия от 05.05.2011: признаки остеопении.

Объективно:Состояние удовлетворительное. Резко пониженного питания. Кожные покровы сухие, шелушатся, больше в области кистей. Трофические нарушения (трещины) в области межфаланговых суставов правой кисти. «Заеды» в левом углу рта. Расчёсы кожи в области грудины, живота. Аллергический дерматит? экзема? в области плеч с 2-х сторон, поясницы, ягодицы.

В неврологическом статусе: Сознание ясное, контактна, ориентирована. Менингеальных знаков нет. Умеренное когнитивное снижение. Несколько эйфорична. Речь дизартричная (неправильный прикус). ЧМН: без патологии. Парезов не определяется. Сухожильные и периостальные рефлексы с рук низкие, без разницы сторон. Коленные и ахилловые отсутствуют. Четких чувствительных нарушений не выявлено. Гипотрофия мышц верхних и нижних конечностей, ягодиц. Грубая деформация правого коленного сустава с формированием ложного сустава, отведением правой голени кнаружи под углом 30-40 град, деформация костей стоп, эквинус с 2-х сторон. Укорочение правой ноги на 15см. ходит с опорой на «мыски». Кифоз шейного отдела. Грубый кифоз поясничного отдела с формированием горба. Сколиоз. Мышечный тонус в верхних конечностях не изменен, в нижних конечностях сни жен, больше справа. Гипермобильность в правом тазобедренном суставе. Тазовые функции: не нарушены.

Общий анализ крови, мочи - без патологии.

Электронейромиография по двигательным волокнам малоберцового, большеберцового и срединного нервов с 2-х сторон: зарегистрированы нарушения проведения возбуждения по смешанному типу (аксоно-миелинопатия) по малоберцовому и большеберцовому нервам с 2-х сторон.

УЗИ органов брюшной полости, почек и мочевого пузыря, щитовидной железы - без патологии.

ЭЭГ:на фоне умеренного диффузного нарушения корковой ритмики по ирритативно-редукционному типу доминируют признаки дисфункции диэнцефально-стволового уровня.

ЭХО-ЭГ: Смещения срединных структур не выявлено.

РЭГ: пульсовое кровенаполнение без существенных изменений. Тонус мозговых сосудов изменен с преобладанием гипотонуса с акцентом слева. Умеренное вертеброгенное влияние отмечено при повороте головы в обе стороны.

Консультации:

Гинеколог: дисфункция яичников репродуктивного периода.

Терапевт: Хронический гастрит, ремиссия. Грыжа пищеводного отверстия диафрагмы. Синдром мальабсорбции. Экзема? Дерматит? в области плеч с 2-х сторон. Дисбактериоз.

Офтальмолог: Миопия высокой степени. Миопический астигматизм. Ангиопатия сосудов сетчатки.  

Неврологи в НИИ неврологии поставили диагноз "наследственная сенсорно-вегетативная нейропатия". 

Пушистая кошечка's picture
Offline
Last seen: 13 years 6 months ago
Joined: 01.04.2012 - 20:30
Posts: 262

yes подробненько!!! наглядненько!!! пасиба!

(c) У насекомых, размазанных по стеклам фар,
Нет выбора, а у тебя есть этот дар
Или проклятие, как хочешь назови
То, что кипит и дышит у тебя в груди