You are here

Синдром "Круглая тень".

Периферический рак правого лёгкого.

ИзображениеИзображениеИзображение

ИзображениеИзображениеИзображение

ИзображениеИзображение

Круглая тень на уровне 2 ребра справа (периферический рак).

(Гиповентиляция переднего сегмента верхней доли справа.)

ИзображениеИзображениеИзображение

ИзображениеИзображение

"Избыточная импергнация" солями извести хрящевой части 1 ребра справа, которая обусловила наличие синдрома "Круглая тень", как следствие  разрыва реберно-грудинного сочленения. Правосторонний экссудативный плеврит.

ИзображениеИзображениеИзображение

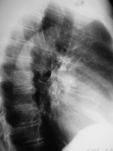
Периферический рак. Томография. Множественный распад.

ИзображениеИзображениеИзображение

ИзображениеИзображение

Периферический рак правого лёгкого с метастазами в лимфатические узлы средостения и ребра.

ИзображениеИзображениеИзображение

ИзображениеИзображениеИзображение

ИзображениеИзображениеИзображение

ИзображениеИзображениеИзображение

ИзображениеИзображениеИзображение

Периферический рак правого лёгкого.

ИзображениеИзображениеИзображение

ИзображениеИзображениеИзображениеИзображение

ИзображениеИзображениеИзображениеИзображение

ИзображениеИзображениеИзображение

Гамартохондрома правого лёгкого (верхняя доля).

ИзображениеИзображениеИзображение

ИзображениеИзображениеИзображение

Туберкулома верхней доли левого лёгкого.

ИзображениеИзображениеИзображение

ИзображениеИзображениеИзображение

Рыбакова Людмила Александровна's picture
Offline
Last seen: 3 years 9 months ago
Joined: 31.07.2009 - 19:35
Posts: 162
ernesto's picture
Offline
Last seen: 13 years 11 months ago
Joined: 25.05.2012 - 22:31
Posts: 2

что за диагноз?