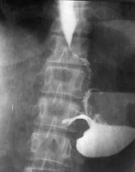
Неопластический процесс по типу "скирра"? Как Вы считаете? Я так понимаю, что эвакуация контрастной взвеси из желудка в дистальные отделы - с большой задержной, или вообще её не было? Протяженность процесса значительна? Значительный нтермедиарный слой обусловлен, по всей видимости, содержимым, которое находилось в желудке перед исследованием?
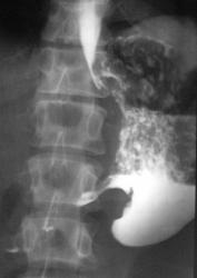
Хотел бы очень продемонстрировать тоже почти аналогичные снимки, только обширность объёма процесса меньшая, если уважаемый автор Yazony не против;
Данная рентгеноскопия желудка была проведена буквально 1-1,5 месяца назад, пациент про оперирован, гистологически и оперативно подтверждено наличие инфильтративной формы, деонтологического заболевания антрального отдела желудка.
Когда я начал делать первые снимочки сомнений не было что есть деонтология, но противоречие с ФГДС мне ни давали покоя, они писали просто; все хорошо проходимо и луковица ДПК спазмирована, окончательно решил ещё раз поглядеть после введения атропина;
Окончательно можно сказать одно что идёт симметричное сужение просвета антрального отдела, рельеф слизистой не прослеживается, стенки регидны.
Аналогично и у автора представленных снимочков, антральный отдел сужен с переходом на превратник, а так же процесс идет по малой кривизне, вот только не понятно с кардиальным отделом, он кажется тоже деформирован. По степени же стенозаснимки надо обязательно сделать через 12 и 24 часа что бы решить есть или нет декомпенсированный стеноз. В этом слачае видно что в желудке много слизи, смею предположить о декомпенсированном стенозе.
"Знаешь, у некоторых врачей есть комплекс мессии — им необходимо спасать мир. А у тебя комплекс Рубика — тебе необходимо решать головоломки."
А, что конкретно, Вас, уважаемый коллега, заставило заподозрить онкологический процесс, какая "симптоматология"? Было - бы весьма интересно увидеть Ваши комментарии, именно "что заставило заподозрить" онкопроцесс?
наличие инфильтративной формы, деонтологического заболевания антрального отдела желудка.
v1tal, вы меня слегка ошарашили! Насколько я помню, даже уточнил с использованием Википедии http://ru.wikipedia.org/wiki/%D0%94%D0%B5%D0%BE%D0%BD%D1%82%D0%BE%D0%BB%D0%BE%D0%B3%D0%B8%D1%8FВ ещё более узком смысле деонтология была обозначена, как наука, изучающая конкретно медицинскую этику, правила и нормы взаимодействия врача с коллегами и пациентом. Что рак был вызван нарушением деонтологических норм!? Сдается мне, что у этого заболевания несколько другая этиология Не вижу в этом случае никаких деонтологических проблем. Обычное дело, эндоскописты не видят изменений на слизистой при инфильтративных формах, до тех пор, пока опухоль ее не прорастает.
При проведение скопического исследования и с последующим анализом изображений, складываются синдромы, в конкретном случае;
1- синдром сужения просвета пищеварительной трубки, а именно стойкое симметричное сужение, абсолютно на всех снимках и даже после приёма "шипучки" и не говоря уже про введения атропина
2- синдром изменения слизистой, в месте где идёт сужение мы рельефа слизистой не наблюдаем, ну а первое что меня насторожило это конвергенция складок в проекции синуса желудка
3- это не мало важный признак, изменение эластичности и перестальтики полого органа, видно на всех снимках симптом регидности стенок антрального отдела;
"Знаешь, у некоторых врачей есть комплекс мессии — им необходимо спасать мир. А у тебя комплекс Рубика — тебе необходимо решать головоломки."
Уважаемый В.Б. Серов как я понял, вас смутило слово "деонтологическое", могу сказать одно когда я пришел работать в нашу клинику, я тоже с этим столкнулся от онкологов который направляются с обоснованием исключить деонтологическое заболевание или эндоскопистов после проведение ФГДС и взятием материала для биопсии, они так и пишут например деонтологическое заболевание тела желудка. Я же называю вещи своими именами ужь как бы не пришлось тяжело пациенту, пишу конкретно рак желудка, инфильтративная форма.
"Знаешь, у некоторых врачей есть комплекс мессии — им необходимо спасать мир. А у тебя комплекс Рубика — тебе необходимо решать головоломки."
Уважаемый коллега! Меня очень заинтересовал, представленный Вами случай, и именно в аспекте проведения дифференциальной диагностики между "ригидным антральным гастритом" и раком "по типу скирра" этой - же локализации. Интересно то, что даже морфологи, при микроскопии, чаще всего, при проведении диф. диагностики между указаными "патологиями", весьма часто находятся " в затруднении". Я совершенно не оспариваю диагноз "рака антрального отдела", в представленном Вами случае, я даже уверен, что если была гистология, то он имеет место быть, и совершенно правильно заметил Владимир Борисович, что при ФГДС "патологический процесс" не был виден, так как была интактна слизистая оболочка. Но я желал-бы "ввергнуть" Вас в неблагодарное дело - дискуссию.
Уважаемый Валентин Львович, мои старшие коллеги с опытом работы тоже самое мне предложили в проведении диф.диагностики. буквально на следующий день после проведения было сделано целенаправленное взятие биопсии где наши патоморфологи подтвердили, а еще через пару дней с целью исключения метастазов при проведении КТ-органов брюшной полости видно было четко на сканах мягко-тканный компонент опухоли желудка, сканы с вашего разрешения предоставлю завтра.
Что же касается ригидного антрального гастрита , должен согласиться с вами Валентин Львович, что иногда затруднительно провести верификацию и остаётся уповать на гистологию, но в этом случае я посмел излишнее нахальство не согласиться со старшим товарищем
"Знаешь, у некоторых врачей есть комплекс мессии — им необходимо спасать мир. А у тебя комплекс Рубика — тебе необходимо решать головоломки."
Уважаемые коллеги! Спасибо за внимание к представленным мною снимкам.У пациента инфильтративный рак с полным стенозом антрального отдела и поражением тела желудка а также с переходом на кардиальный отдел.Валентин Львович Вы правы поповоду интермедиарного слоя - это остатки непереваренной пищи которые взболтались после исследования в горизонтальном положении а эвакуации не было вообще
Уважаемый v1tal! Спасибо за ваши снимки и комментарии.Вы полностью правы стеноз полный а кардиальный отдел тоже поражен
Пациет был прооперирован и диагноз полностью подтвержден
Скидываю сканы КТ-органов брюшной полости, сразу отмечаю, что специальная матодика для отценки стенок желудка не проводилась но на фоне рентген-контрастного вещества отмечается утолщение стенок антрального отдела желудка;
"Знаешь, у некоторых врачей есть комплекс мессии — им необходимо спасать мир. А у тебя комплекс Рубика — тебе необходимо решать головоломки."
Но ведь есть такое понятие, как перигастрит? А перигастрит, в том числе, и вокруг антрального отдела (при хроническом ригидном антральном гастрите), предполагает плюсом наличие мягкотканного компонента, именно в результате хронического воспалительного процесса. Как быть с этим?
Всё же надо отдать должное проведению ФГДС, в данном случае получилось выявить опухолевые клетки только с 4-го раза. Я же всё таки при повторной встрече такой картины буду склоняться в сторону "зла".
"Знаешь, у некоторых врачей есть комплекс мессии — им необходимо спасать мир. А у тебя комплекс Рубика — тебе необходимо решать головоломки."
Вы пишете" "Синдром сужения просвета пищеварительной трубки, а именно стойкое симметричное сужение, абсолютно на всех снимках и даже после приёма "шипучки" и не говоря уже про введения атропина"
Надо думать, что атропин Вами вводился, "как фармако-проба"?
Ви пишете: "2- синдром изменения слизистой, в месте где идёт сужение мы рельефа слизистой не наблюдаем, ну а первое что меня насторожило это конвергенция складок в проекции синуса желудка "
Да конечно, в данном случае нет ни какого рельефа слизистой, всё же с "регидным антральным гастритом" ни разу не сталкивался, но там должно быть подобие рельефа слизистой антрального отдела, с регидностью стенок, но ни как резко начинающееся сужение просвета с препилоричекого отдела.
Кстати сегодня проводил R-скопию пищеводно-желудочного анастомоза данного пациента. Анастомоз оказался ни состоятельным, в добавок ко всему определился значительный затёк водорастворимого рентген-контрастного вещества
"Знаешь, у некоторых врачей есть комплекс мессии — им необходимо спасать мир. А у тебя комплекс Рубика — тебе необходимо решать головоломки."
Уважаемый Валентин Львович, здравствуйте. Я внимательно просмотрела Вашу дисскусию с колегами и решила задать вопрос о антральном регидном гастрите. Я сама педагог. Моей маме поставили данный диагноз. Она от меня далеко и поговорить с лечащим врачем в данный момент я не могу. Поэтому вошла в интернет и решила найти хоть какую-нибудь информаци. В Вашей переписке рядом стоят рак желудка и антральный регидный гастрит. Поясните, на сколько они близки. Я очень переживаю. Ведь известно, что чем раньше и правильней поставить диагноз, тем легче лечить пациента. Помогите пожалуйста.
Уважаемый Валентин Львович, здравствуйте. Я внимательно просмотрела Вашу дисскусию с колегами и решила задать вопрос о антральном регидном гастрите. Я сама педагог. Моей маме поставили данный диагноз. Она от меня далеко и поговорить с лечащим врачем в данный момент я не могу. Поэтому вошла в интернет и решила найти хоть какую-нибудь информаци. В Вашей переписке рядом стоят рак желудка и антральный регидный гастрит. Поясните, на сколько они близки. Я очень переживаю. Ведь известно, что чем раньше и правильней поставить диагноз, тем легче лечить пациента. Помогите пожалуйста.
В ряде случаев возникают трудности в интерпретации теневой картины. Теневая картина (рентгенологическая картина) этих двух страданий - рака антрального отдела (чаще по типу скирра) и ригидного артрального гастрита бывает весьма схожей, на что указывали наши классики ученые-рентгенологи. В настоящее время при проведении гастроскопии, как правило, берутся "кусочки" материала, что очень облегчает проведение дифференциальной диагностики между этими двумя заболеваниями. Реальность постановки правильного диагноза, увеличивается также, при проведении исследований в профильных, специализированных учреждениях.
Уважаемый Yazony!
Спасибо за представленный случай. Хотелось бы видеть Ваши комментарии по поводу изображений.
Добрый админ
Неопластический процесс по типу "скирра"? Как Вы считаете? Я так понимаю, что эвакуация контрастной взвеси из желудка в дистальные отделы - с большой задержной, или вообще её не было? Протяженность процесса значительна? Значительный нтермедиарный слой обусловлен, по всей видимости, содержимым, которое находилось в желудке перед исследованием?
Протяженность процесса - как стрелки или более. О пилоростенозе какой ст.думаете?
Хотел бы очень продемонстрировать тоже почти аналогичные снимки, только обширность объёма процесса меньшая, если уважаемый автор Yazony не против;
Данная рентгеноскопия желудка была проведена буквально 1-1,5 месяца назад, пациент про оперирован, гистологически и оперативно подтверждено наличие инфильтративной формы, деонтологического заболевания антрального отдела желудка.
Когда я начал делать первые снимочки сомнений не было что есть деонтология, но противоречие с ФГДС мне ни давали покоя, они писали просто; все хорошо проходимо и луковица ДПК спазмирована, окончательно решил ещё раз поглядеть после введения атропина;
Окончательно можно сказать одно что идёт симметричное сужение просвета антрального отдела, рельеф слизистой не прослеживается, стенки регидны.
Аналогично и у автора представленных снимочков, антральный отдел сужен с переходом на превратник, а так же процесс идет по малой кривизне, вот только не понятно с кардиальным отделом, он кажется тоже деформирован. По степени же стенозаснимки надо обязательно сделать через 12 и 24 часа что бы решить есть или нет декомпенсированный стеноз. В этом слачае видно что в желудке много слизи, смею предположить о декомпенсированном стенозе.
"Знаешь, у некоторых врачей есть комплекс мессии — им необходимо спасать мир. А у тебя комплекс Рубика — тебе необходимо решать головоломки."
А, что конкретно, Вас, уважаемый коллега, заставило заподозрить онкологический процесс, какая "симптоматология"? Было - бы весьма интересно увидеть Ваши комментарии, именно "что заставило заподозрить" онкопроцесс?
наличие инфильтративной формы, деонтологического заболевания антрального отдела желудка.
v1tal, вы меня слегка ошарашили! Насколько я помню, даже уточнил с использованием Википедии http://ru.wikipedia.org/wiki/%D0%94%D0%B5%D0%BE%D0%BD%D1%82%D0%BE%D0%BB%D0%BE%D0%B3%D0%B8%D1%8F В ещё более узком смысле деонтология была обозначена, как наука, изучающая конкретно медицинскую этику, правила и нормы взаимодействия врача с коллегами и пациентом.
Не вижу в этом случае никаких деонтологических проблем. Обычное дело, эндоскописты не видят изменений на слизистой при инфильтративных формах, до тех пор, пока опухоль ее не прорастает.
Что рак был вызван нарушением деонтологических норм!? Сдается мне, что у этого заболевания несколько другая этиология
Зри в корень!
При проведение скопического исследования и с последующим анализом изображений, складываются синдромы, в конкретном случае;
1- синдром сужения просвета пищеварительной трубки, а именно стойкое симметричное сужение, абсолютно на всех снимках и даже после приёма "шипучки" и не говоря уже про введения атропина
2- синдром изменения слизистой, в месте где идёт сужение мы рельефа слизистой не наблюдаем, ну а первое что меня насторожило это конвергенция складок в проекции синуса желудка
3- это не мало важный признак, изменение эластичности и перестальтики полого органа, видно на всех снимках симптом регидности стенок антрального отдела;
"Знаешь, у некоторых врачей есть комплекс мессии — им необходимо спасать мир. А у тебя комплекс Рубика — тебе необходимо решать головоломки."
Уважаемый В.Б. Серов как я понял, вас смутило слово "деонтологическое", могу сказать одно когда я пришел работать в нашу клинику, я тоже с этим столкнулся от онкологов который направляются с обоснованием исключить деонтологическое заболевание или эндоскопистов после проведение ФГДС и взятием материала для биопсии, они так и пишут например деонтологическое заболевание тела желудка. Я же называю вещи своими именами ужь как бы не пришлось тяжело пациенту, пишу конкретно рак желудка, инфильтративная форма.
"Знаешь, у некоторых врачей есть комплекс мессии — им необходимо спасать мир. А у тебя комплекс Рубика — тебе необходимо решать головоломки."
Уважаемый коллега! Меня очень заинтересовал, представленный Вами случай, и именно в аспекте проведения дифференциальной диагностики между "ригидным антральным гастритом" и раком "по типу скирра" этой - же локализации. Интересно то, что даже морфологи, при микроскопии, чаще всего, при проведении диф. диагностики между указаными "патологиями", весьма часто находятся " в затруднении". Я совершенно не оспариваю диагноз "рака антрального отдела", в представленном Вами случае, я даже уверен, что если была гистология, то он имеет место быть, и совершенно правильно заметил Владимир Борисович, что при ФГДС "патологический процесс" не был виден, так как была интактна слизистая оболочка. Но я желал-бы "ввергнуть" Вас в неблагодарное дело - дискуссию.
Уважаемый Валентин Львович, мои старшие коллеги с опытом работы тоже самое мне предложили в проведении диф.диагностики. буквально на следующий день после проведения было сделано целенаправленное взятие биопсии где наши патоморфологи подтвердили, а еще через пару дней с целью исключения метастазов при проведении КТ-органов брюшной полости видно было четко на сканах мягко-тканный компонент опухоли желудка, сканы с вашего разрешения предоставлю завтра.
Что же касается ригидного антрального гастрита , должен согласиться с вами Валентин Львович, что иногда затруднительно провести верификацию и остаётся уповать на гистологию, но в этом случае я посмел излишнее нахальство не согласиться со старшим товарищем
"Знаешь, у некоторых врачей есть комплекс мессии — им необходимо спасать мир. А у тебя комплекс Рубика — тебе необходимо решать головоломки."
они так и пишут например деонтологическое заболевание тела желудка.
v1tal, понятно, местный профессиональный слэнг (жаргон), странно, откуда такие ассоциации беруться? Типа, щажение психологии пациента?
Зри в корень!
Да, да уважаемый В.Б. Серов, именно так!!!
"Знаешь, у некоторых врачей есть комплекс мессии — им необходимо спасать мир. А у тебя комплекс Рубика — тебе необходимо решать головоломки."
Буду весьма благодарен за сканны, тогда, по всей видимости и дискуссию отложим . . . ?
Уважаемые коллеги! Спасибо за внимание к представленным мною снимкам.У пациента инфильтративный рак с полным стенозом антрального отдела и поражением тела желудка а также с переходом на кардиальный отдел.Валентин Львович Вы правы поповоду интермедиарного слоя - это остатки непереваренной пищи которые взболтались после исследования в горизонтальном положении а эвакуации не было вообще
Уважаемый v1tal! Спасибо за ваши снимки и комментарии.Вы полностью правы стеноз полный а кардиальный отдел тоже поражен
Пациет был прооперирован и диагноз полностью подтвержден
Уважаемый Yazony !
Если Вы не против, то мы поместим Ваши иллюстрации в набор иллюстраций сайта, с сылкой на Вас, как на автора.
Скидываю сканы КТ-органов брюшной полости, сразу отмечаю, что специальная матодика для отценки стенок желудка не проводилась но на фоне рентген-контрастного вещества отмечается утолщение стенок антрального отдела желудка;
"Знаешь, у некоторых врачей есть комплекс мессии — им необходимо спасать мир. А у тебя комплекс Рубика — тебе необходимо решать головоломки."
Коллега!
Вы хоть поясните словесно, где какая дырка и что там утолщено.
Красными стрелочками отмечено наличие мягко-тканного компонента инфильтративного роста.
"Знаешь, у некоторых врачей есть комплекс мессии — им необходимо спасать мир. А у тебя комплекс Рубика — тебе необходимо решать головоломки."
Но ведь есть такое понятие, как перигастрит? А перигастрит, в том числе, и вокруг антрального отдела (при хроническом ригидном антральном гастрите), предполагает плюсом наличие мягкотканного компонента, именно в результате хронического воспалительного процесса. Как быть с этим?
Всё же надо отдать должное проведению ФГДС, в данном случае получилось выявить опухолевые клетки только с 4-го раза. Я же всё таки при повторной встрече такой картины буду склоняться в сторону "зла".
"Знаешь, у некоторых врачей есть комплекс мессии — им необходимо спасать мир. А у тебя комплекс Рубика — тебе необходимо решать головоломки."
Вы пишете" "Синдром сужения просвета пищеварительной трубки, а именно стойкое симметричное сужение, абсолютно на всех снимках и даже после приёма "шипучки" и не говоря уже про введения атропина"
Надо думать, что атропин Вами вводился, "как фармако-проба"?
Ви пишете: "2- синдром изменения слизистой, в месте где идёт сужение мы рельефа слизистой не наблюдаем, ну а первое что меня насторожило это конвергенция складок в проекции синуса желудка "
Вы этот снимок производили с компрессией?
А это что? Это тоже не складки слизистой оболочки?
Да конечно, в данном случае нет ни какого рельефа слизистой, всё же с "регидным антральным гастритом" ни разу не сталкивался, но там должно быть подобие рельефа слизистой антрального отдела, с регидностью стенок, но ни как резко начинающееся сужение просвета с препилоричекого отдела.
Кстати сегодня проводил R-скопию пищеводно-желудочного анастомоза данного пациента. Анастомоз оказался ни состоятельным, в добавок ко всему определился значительный затёк водорастворимого рентген-контрастного вещества
"Знаешь, у некоторых врачей есть комплекс мессии — им необходимо спасать мир. А у тебя комплекс Рубика — тебе необходимо решать головоломки."
А где картинки? А?
Хм... К сожалению я их ни стал скидывать, но уже после завтра обязательно покажу.
"Знаешь, у некоторых врачей есть комплекс мессии — им необходимо спасать мир. А у тебя комплекс Рубика — тебе необходимо решать головоломки."
Вот, вот уважаемый коллега! "Зажимаете" интересное?
Интересная дискуссия.
Вообще считаю, что в сомнетельных случаях можно прибегнуть и к эндо-УЗИ-отличная вещь.
[quote=Катенёв Валентин Львович]
Уважаемый Валентин Львович, здравствуйте. Я внимательно просмотрела Вашу дисскусию с колегами и решила задать вопрос о антральном регидном гастрите. Я сама педагог. Моей маме поставили данный диагноз. Она от меня далеко и поговорить с лечащим врачем в данный момент я не могу. Поэтому вошла в интернет и решила найти хоть какую-нибудь информаци. В Вашей переписке рядом стоят рак желудка и антральный регидный гастрит. Поясните, на сколько они близки. Я очень переживаю. Ведь известно, что чем раньше и правильней поставить диагноз, тем легче лечить пациента. Помогите пожалуйста.
Спасибо.
Уважаемый Валентин Львович, здравствуйте. Я внимательно просмотрела Вашу дисскусию с колегами и решила задать вопрос о антральном регидном гастрите. Я сама педагог. Моей маме поставили данный диагноз. Она от меня далеко и поговорить с лечащим врачем в данный момент я не могу. Поэтому вошла в интернет и решила найти хоть какую-нибудь информаци. В Вашей переписке рядом стоят рак желудка и антральный регидный гастрит. Поясните, на сколько они близки. Я очень переживаю. Ведь известно, что чем раньше и правильней поставить диагноз, тем легче лечить пациента. Помогите пожалуйста.
Спасибо.
Здравствуйте!
В ряде случаев возникают трудности в интерпретации теневой картины. Теневая картина (рентгенологическая картина) этих двух страданий - рака антрального отдела (чаще по типу скирра) и ригидного артрального гастрита бывает весьма схожей, на что указывали наши классики ученые-рентгенологи. В настоящее время при проведении гастроскопии, как правило, берутся "кусочки" материала, что очень облегчает проведение дифференциальной диагностики между этими двумя заболеваниями. Реальность постановки правильного диагноза, увеличивается также, при проведении исследований в профильных, специализированных учреждениях.
Шикарная веточка.
Добавлю ещё пять копеек.