You are here

"Растяжение"....

Пол пациента: 
Тип патологии: 
Область исследования: 
Методы исследования: 

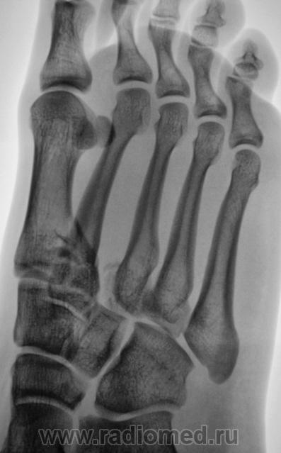
Неделю тому, пациент после ДТП был доставлен в рентгеновский кабинет. Было сделано много, в том числе был и заказан голеностопный сустав. Однако, в голеностопе патологии выявлено не было. Пациент находился в хирургическом отделении, и все, в принципе, нормально было, но вот предъявлял пациент жалобы на боли ... в стопе. Стопа отёкшая, болезненная при пальпации. Сегодня пациента направили на рентгенографию стопы с диагнозом...."Растяжение связок"..?

Произведена рентгенография в стандартных проекциях.

ИзображениеИзображениеИзображениеИзображение

Вот, какие дела...с растяжением.

v1tal's picture
Offline
Last seen: 4 years 11 months ago
Joined: 07.06.2008 - 19:41
Posts: 1779

Хорошее растяжение,  вот только перелом основания 1,2 и 3 плюсневых костей не в счётМолчу-молчу!.

"Знаешь, у некоторых врачей есть комплекс мессии — им необходимо спасать мир. А у тебя комплекс Рубика — тебе необходимо решать головоломки."

OPEXOB's picture
Offline
Last seen: 10 years 1 month ago
Joined: 26.07.2008 - 10:02
Posts: 280

Молодец, хорошо косточки "растянул"