Отечественные классики медицины считали, что при бронхогенном распространении инфекции следует употреблять термин "обсеменение". Под диссеминацией понимали лимфогематогенный путь рассеивания возбудителя. Возможно, у коллег есть и другие сведения.
Отечественные классики медицины считали, что при бронхогенном распространении инфекции следует употреблять термин "обсеменение". Под диссеминацией понимали лимфогематогенный путь рассеивания возбудителя. Возможно, у коллег есть и другие сведения.
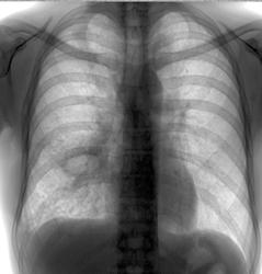
Красиво. Изменения в левой верхушке с моей любимой бронхогенной диссеминацией)
Да похоже, в обеих. И плевральные справа...
С уважением,
Немой, да ещё и с грамотой проблема, наверное, не доберётся. Можно устроить тотализатор.
+1
С уважением,
Отечественные классики медицины считали, что при бронхогенном распространении инфекции следует употреблять термин "обсеменение". Под диссеминацией понимали лимфогематогенный путь рассеивания возбудителя. Возможно, у коллег есть и другие сведения.
ВОЗики решили , что все это "диссеминация"