You are here

Боль в грудной клетке.

Пол пациента: 
Методы исследования: 

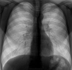
Флюорография. Молодой человек, жалобы на боль в грудной клетке, тудно дышать. Я уже написал норму.

ID:27653
Алекса's picture
Offline
Last seen: 10 years 10 months ago
Joined: 25.09.2010 - 14:54
Posts: 64

Я вижу Правосторонний пристеночный пневмоторакс.Пациента отыскать и к хирургу.

Мышцы дают немного другую тень,а тут я вижу полоску газа пристеночно.

Примерно как-то так.

Красным край лёгкого,жёлтым-тень мышц.

Приложения: 
1988_g.r.05.04.2013-1.jpg1988_g.r.05.04.2013-2.jpg
арти's picture
Offline
Last seen: 12 years 6 months ago
Joined: 26.02.2012 - 11:23
Posts: 490

норма. Это тень мышцы

Mila85's picture
Offline
Last seen: 3 years 6 months ago
Joined: 15.03.2012 - 16:59
Posts: 1790

Правосторонний пневмоторакс +1. Сразу бросается в глаза еще и усиление легочного рисунка справа в нижних отделах, помимо полосы

арти's picture
Offline
Last seen: 12 years 6 months ago
Joined: 26.02.2012 - 11:23
Posts: 490

Девчата глазастые!!!! Точно!!!! Каюсь, не узрела сразу..laughangryblush

Игорь Иванович's picture
Offline
Last seen: 4 years 2 months ago
Joined: 23.01.2010 - 14:56
Posts: 3695

Ну а если бы не предъявил жалоб, а флюшка одна из ряда 120-150?

Nikolas's picture
Offline
Last seen: 2 months 5 days ago
Joined: 21.12.2010 - 20:37
Posts: 4560

тогда бы флюорограммы пациента не было. В следующий раз не пишите жалобы. Женщины сайта хороши! Урааа!

Mila85's picture
Offline
Last seen: 3 years 6 months ago
Joined: 15.03.2012 - 16:59
Posts: 1790

Да, без жалоб было бы интереснее, а так конечно первая мысль уже о нем, о пневмотораксе wink

Игорь Иванович's picture
Offline
Last seen: 4 years 2 months ago
Joined: 23.01.2010 - 14:56
Posts: 3695

А я еще сделал флгр на вдохе-выдохе, а вдруг проявится лучше. Ведь отправлять к торакальщикам, нужно более доказательный снимок. И вот что получилось на выдохе. Женщинам респект. Но, конечно, я не правильно закрутил интригу. Т.е. совсем не создал.

Приложения: 
1988_g.r.05.04.2013-2.jpg
Алекса's picture
Offline
Last seen: 10 years 10 months ago
Joined: 25.09.2010 - 14:54
Posts: 64

Иван Игоревич,сама работаю  в ЦРБ,у нас существует ротация по кабинетам у нас их 3.1-стационар(стационарные больные и приёмный покой)В сутки до 80 исследований иногда доходит,а по праздникам караул.И 2 кабинета в пол-ке:1-на плёнке до 60 исследований иногда случется,2-кабинет цФЛГ(ОГК,ШОП,ГОП,плечевые суставы,коленные суставы,ППН)-меньше 200 снимков ежедневно бывает крайне редко...Я не в укор,а просто всегда надо быть настороженным,ну конечно в меру.Просто глаз уже намётан на все такие казусы.

Игорь Иванович's picture
Offline
Last seen: 4 years 2 months ago
Joined: 23.01.2010 - 14:56
Posts: 3695

Коллеги, поднимите руки, кто при читке флюорограмм сразу бы (без жалоб) определил бы пневмоторакс. А то завтра уволюсь на хрен, совсем уже Акелой стал...

Nikolas's picture
Offline
Last seen: 2 months 5 days ago
Joined: 21.12.2010 - 20:37
Posts: 4560

Акелла не промахнулся.  Держите Стаю в железной узде, чтобы в Вашем присутствии никто не смел иметь собственное мнение.

Almo's picture
Offline
Last seen: 1 day 17 hours ago
Joined: 28.09.2008 - 18:50
Posts: 8304

Я не увидел  признаков пневмоторакса, даже при повторном просмотре  после снимка на выдохе ( может мониторы разные, може глаза в "тяпницу").  

Леонид's picture
Offline
Last seen: 9 years 5 months ago
Joined: 13.01.2011 - 19:33
Posts: 445

Спонтанный пневмоторакс, вероятно, случился из-за этого очага.

Приложения: 
och.png
Наталия's picture
Offline
Last seen: 9 years 3 weeks ago
Joined: 30.07.2008 - 13:24
Posts: 538

На первом снимке пневмоторакса не увидела.

Пневмоторксы лучше видны на выдохе.

Игорь Иванович's picture
Offline
Last seen: 4 years 2 months ago
Joined: 23.01.2010 - 14:56
Posts: 3695

Леонид wrote:

Спонтанный пневмоторакс, вероятно, случился из-за этого очага.

Насколько мне помнится, они возникают на фоне маленьких субвисцеральноплевральных кист, не обнаружив. на обычной рентгенограмме.

Леонид's picture
Offline
Last seen: 9 years 5 months ago
Joined: 13.01.2011 - 19:33
Posts: 445

Игорь Иванович wrote:

Леонид wrote:

Спонтанный пневмоторакс, вероятно, случился из-за этого очага.

Насколько мне помнится, они возникают на фоне маленьких субвисцеральноплевральных кист, не обнаружив. на обычной рентгенограмме.


     Спонтанный пневмоторакс наиболее часто возникает в результате туберкулезного процесса в легких, ставший причиной самопро­извольной пневмоперфорации. Спонтанный пневмоторакс может быть обусловлен перфорацией субплеврально  расположенного очага, каверны, эмфизематозной буллы.

Наталия's picture
Offline
Last seen: 9 years 3 weeks ago
Joined: 30.07.2008 - 13:24
Posts: 538

Леонид wrote:

     Спонтанный пневмоторакс наиболее часто возникает в результате туберкулезного процесса в легких, ставший причиной самопро­извольной пневмоперфорации. Спонтанный пневмоторакс может быть обусловлен перфорацией субплеврально  расположенного очага, каверны, эмфизематозной буллы.

Никогда бы не подумала, что при туберкулёзе чаще всего.

Nikolas's picture
Offline
Last seen: 2 months 5 days ago
Joined: 21.12.2010 - 20:37
Posts: 4560

Точно не знаю, но при милиарном туберкулезе наблюдается. Леонид знает раз пишет нам об этом. Радиомед - школа познания. 

Наталия's picture
Offline
Last seen: 9 years 3 weeks ago
Joined: 30.07.2008 - 13:24
Posts: 538

Nikolas wrote:

Точно не знаю, но при милиарном туберкулезе наблюдается. Леонид знает раз пишет нам об этом. Радиомед - школа познания. 

+100!

При милиарном?

Никогда не встречала.

Nikolas's picture
Offline
Last seen: 2 months 5 days ago
Joined: 21.12.2010 - 20:37
Posts: 4560

в практике встречали (милиарный)?

Наталия's picture
Offline
Last seen: 9 years 3 weeks ago
Joined: 30.07.2008 - 13:24
Posts: 538

В 2012 году был один, верифицированный.

Nikolas's picture
Offline
Last seen: 2 months 5 days ago
Joined: 21.12.2010 - 20:37
Posts: 4560

давненько Вы не были на сайте. На Радиомеде, как в Греции, все есть. См. ссылку # 28 в  http://www.radiomed.ru/publications/tuberkulez-disseminirovannyi-tuberkulez-legkikh

Наталия's picture
Offline
Last seen: 9 years 3 weeks ago
Joined: 30.07.2008 - 13:24
Posts: 538

Спасибо.

Посмотрела.

Леонид's picture
Offline
Last seen: 9 years 5 months ago
Joined: 13.01.2011 - 19:33
Posts: 445

Наталия wrote:

Леонид wrote:

     Спонтанный пневмоторакс наиболее часто возникает в результате туберкулезного процесса в легких, ставший причиной самопро­извольной пневмоперфорации. Спонтанный пневмоторакс может быть обусловлен перфорацией субплеврально  расположенного очага, каверны, эмфизематозной буллы.

Никогда бы не подумала, что при туберкулёзе чаще всего.

Рвутся межплевральные спайки, обусловленные субплевральным туб- процесом, пусть даже единичным очагом. При торокоскопии спайки нередко определяются. Сам туб-процеес считается давно отгремевшим, а эластичность висцеральной плевры теряется. При форсированном дыхании и натуживании пооисходит пневмоторакс..

Наталия's picture
Offline
Last seen: 9 years 3 weeks ago
Joined: 30.07.2008 - 13:24
Posts: 538

Леонид wrote:

Рвутся межплевральные спайки, обусловленные субплевральным туб- процесом, пусть даже единичным очагом. При торокоскопии спайки нередко определяются. Сам туб-процеес считается давно отгремевшим, а эластичность висцеральной плевры теряется. При форсированном дыхании и натуживании пооисходит пневмоторакс..

Да, рвутся.

Но, именно спайки, не дают разгуляться пневмотораксу.

maker4ik's picture
Offline
Last seen: 9 years 1 week ago
Joined: 19.10.2011 - 17:49
Posts: 2682

Пневмоторакс справа отлично видно!

Леонид's picture
Offline
Last seen: 9 years 5 months ago
Joined: 13.01.2011 - 19:33
Posts: 445

Наталия wrote:

Леонид wrote:

Рвутся межплевральные спайки, обусловленные субплевральным туб- процесом, пусть даже единичным очагом. При торокоскопии спайки нередко определяются. Сам туб-процеес считается давно отгремевшим, а эластичность висцеральной плевры теряется. При форсированном дыхании и натуживании пооисходит пневмоторакс..

Да, рвутся.

Но, именно спайки, не дают разгуляться пневмотораксу.

Спайка остается на париетальной плевре с участком лёгочной ткани.

brainmodel's picture
Offline
Last seen: 7 months 3 weeks ago
Joined: 18.03.2010 - 22:04
Posts: 2881

На первом снимке при первичном просмотре ПТ не увидел, только при повторном разглядывании. На втором снимке пневмоторакс виден лучше. Про спонтанные: все спонтанные ПТ, поступающие в наш госпиталь, были нетуберкулезной этиологии.

Verum plus uno esse non potest.

Mila85's picture
Offline
Last seen: 3 years 6 months ago
Joined: 15.03.2012 - 16:59
Posts: 1790

Спонтанные пневмотораксы у молодых людей очень часто бывают, и как правило не определить, почему они возникают. Кстати, иногда бывают рецидивирующими

Игорь Иванович's picture
Offline
Last seen: 4 years 2 months ago
Joined: 23.01.2010 - 14:56
Posts: 3695

И я видел эти пневмотораксы разные, и не раз. Особенно, когда хорошего качества рентгенограмма (как бы индивидуальное обследование, когда ты один на один с снимком), да + клиника. А в данном случае (флюорограф) -я думаю пропустить запросто, да еще если бы пациент был терпеливым и не брал бы доктора за петли, а пришел бы в установленном порядке за результатом. И данный снимок был бы одним из многим очередной.

Сергей Кузьминов's picture
Offline
Last seen: 1 year 5 months ago
Joined: 06.10.2012 - 15:51
Posts: 11813

Не увидел бы я патологии на этом снимке без подсказок коллег,да в потоке ФГР.

Алексей Станиславович's picture
Offline
Last seen: 6 years 3 months ago
Joined: 11.08.2012 - 20:33
Posts: 1903

Сергей Кузьминов wrote:

Не увидел бы я патологии на этом снимке без подсказок коллег,да в потоке ФГР.

+1. Крайне спорный вопрос насчет туберкулеза, как причины спонтанного пневмотракса. Может быть, в спецучреждениях и так, а в общей лечебной сети - вряд ли. Думается, недиагностированные буллезные (и т.п. процессы) встречаются чаще недиагнострированного туберкулеза.

С уважением, smiley