You are here

Парапельвикальные кисты

Пол пациента: 
Область исследования: 
Методы исследования: 

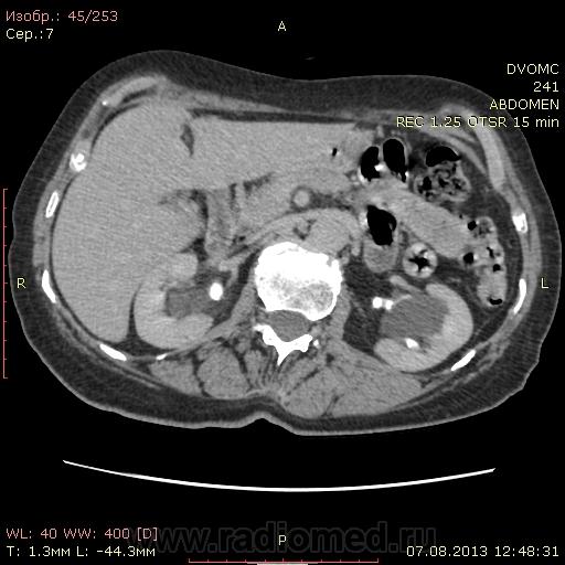
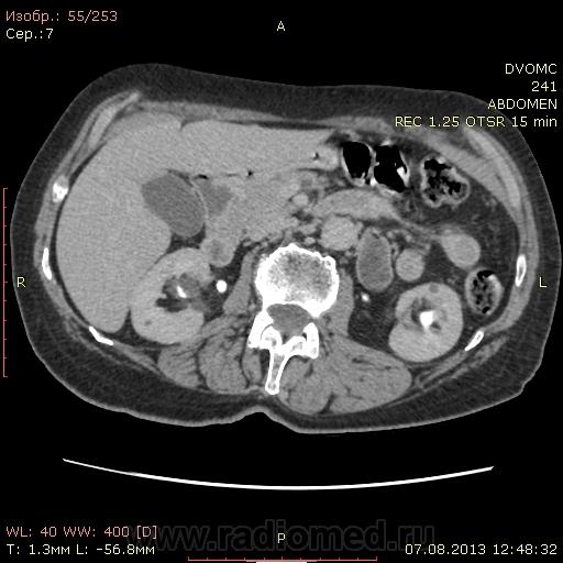
Женщина 73 года. Подскажите, пожалуйста правильно ли я трактую изменения: множественные парапельвикальные и интрапаренхиматозные кисты почек с обеих сторон с деформацией ЧЛС. Перегиб(перетяжка?) желчного пузыря. В остальном - ничего? Еще смутило вот что: контрастное усиление селезенки в артериальной фазе должно быть "пестрым". Всегда до этого пациента было так. Здесь гомогенно усилилась до 135....как это можно расценивать? DICOM файлы http://files.mail.ru/832408BCA4834BBF82010F0764BBDD5A    http://files.mail.ru/422E59E0BACF4E7483F6F9E1FE98ADDF

  • https://radiomed.ru/sites/default/files/styles/case_slider_image/public/user/17526/img-0002-00001_3.jpg?itok=aRA7uNJX
  • https://radiomed.ru/sites/default/files/styles/case_slider_image/public/user/17526/img-0003-00001_1.jpg?itok=BdAsJL77
ID:30476
Sepsis's picture
Offline
Last seen: 2 years 1 month ago
Joined: 13.12.2012 - 16:48
Posts: 283

Истончения крыльев подвздошных костей симметричное и с прободением - возростные изменения? остеопороз?

Sepsis's picture
Offline
Last seen: 2 years 1 month ago
Joined: 13.12.2012 - 16:48
Posts: 283

Отстой желчи?

 

 

Киста головки поджелудки?

Андрей Юрьевич's picture
Offline
Last seen: 2 weeks 5 days ago
Joined: 16.11.2008 - 22:16
Posts: 18106

Sepsis wrote:
..множественные парапельвикальные и интрапаренхиматозные кисты почек с обеих сторон с деформацией ЧЛС.

Да. В большей степени парапельвикальные, чем паренхиматозные.

Sepsis wrote:
..Перегиб(перетяжка?) желчного пузыря.

Перегиб дна.

Sepsis wrote:
..Истончения крыльев подвздошных костей симметричное и с прободением - возростные изменения? остеопороз?

Нет, норма

Sepsis wrote:
..Отстой желчи?

Билиарный сладж и мелкие конкременты.

Sepsis wrote:
..Киста головки поджелудки?

Скорее интрапанкреатическая часть холедоха

Sepsis wrote:
..В остальном - ничего?

Похоже на образование правого яичника. Впрочем, в гинекологии предпочтительны УЗИ и МРТ.

Андрей Юрьевич

Sepsis's picture
Offline
Last seen: 2 years 1 month ago
Joined: 13.12.2012 - 16:48
Posts: 283

Андрей Юрьевич wrote:

Похоже на образование правого яичника. Впрочем, в гинекологии предпочтительны УЗИ и МРТ.

Спасибо за подтверждение моих предположений.

Андрей Юрьевич, не могли бы вы ткнуть в яичник, где вы подозреваете образование? Буду признателен.

Андрей Юрьевич's picture
Offline
Last seen: 2 weeks 5 days ago
Joined: 16.11.2008 - 22:16
Posts: 18106

Вот, как-то так. Хотя, это может быть и "уехавшая" сюда матка с миоматозным узлом.  Не вижу матки на своем месте. Если удаления не было, возможна она.

Приложения: 
img-0001-00001-2.jpg

Андрей Юрьевич

Sepsis's picture
Offline
Last seen: 2 years 1 month ago
Joined: 13.12.2012 - 16:48
Posts: 283

А как расценивается "непестрая" селезенка.

Андрей Юрьевич's picture
Offline
Last seen: 2 weeks 5 days ago
Joined: 16.11.2008 - 22:16
Posts: 18106

Sepsis wrote:

А как расценивается "непестрая" селезенка.


А что, есть варианты?

Андрей Юрьевич

Любовь С.'s picture
Offline
Last seen: 9 years 10 months ago
Joined: 23.12.2010 - 01:58
Posts: 2324

Согласна с Андреем Юрьевичем. Только думаю на матку (миома? - УЗИ), а не яичник.

"Предоставляя весь смысл и совершенство в распоряжение одного только Бога, вы избавляете себя от бездны хлопот." Джон Уитборн.

Sepsis's picture
Offline
Last seen: 2 years 1 month ago
Joined: 13.12.2012 - 16:48
Posts: 283

Просто единственную причину ее непестрости коллеги на дружественном сайте объясняют предварительным введением нбольшого количества контраста....вот я и думаю какая еще причина может быть. 

Андрей Юрьевич's picture
Offline
Last seen: 2 weeks 5 days ago
Joined: 16.11.2008 - 22:16
Posts: 18106

И охота вам? "Sepsis" sign установить хотите?

Андрей Юрьевич