You are here

ДТП. Травма черепа

Пол пациента: 
Тип патологии: 
Область исследования: 
Методы исследования: 

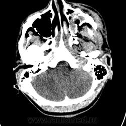
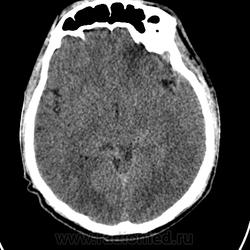
Доброе утро, уважаемые коллеги! Ночью привезли молодого человека с ДТП. Находится  в коме, множественные переломы лицевого скелета. Помогите описать их. Спасибо.

  • https://radiomed.ru/sites/default/files/styles/case_slider_image/public/user/16789/img-0002-00001_24.jpg?itok=FB59KimO
  • https://radiomed.ru/sites/default/files/styles/case_slider_image/public/user/16789/img-0003-00001_20.jpg?itok=3AjHys7i
  • https://radiomed.ru/sites/default/files/styles/case_slider_image/public/user/16789/img-0004-00001_19.jpg?itok=wD8J-bRH
  • https://radiomed.ru/sites/default/files/styles/case_slider_image/public/user/16789/img-0005-00001_17.jpg?itok=yTvYzZyn
  • https://radiomed.ru/sites/default/files/styles/case_slider_image/public/user/16789/img-0006-00001_14.jpg?itok=f774Djqp
  • https://radiomed.ru/sites/default/files/styles/case_slider_image/public/user/16789/img-0007-00001_15.jpg?itok=tDseccvw
  • https://radiomed.ru/sites/default/files/styles/case_slider_image/public/user/16789/img-0008-00001_12.jpg?itok=Vn4gFPnk
  • https://radiomed.ru/sites/default/files/styles/case_slider_image/public/user/16789/img-0009-00001_12.jpg?itok=dsh-9Vqx
  • https://radiomed.ru/sites/default/files/styles/case_slider_image/public/user/16789/img-0010-00001_11.jpg?itok=KLLzvwMD
  • https://radiomed.ru/sites/default/files/styles/case_slider_image/public/user/16789/img-0011-00001_8.jpg?itok=tvvSYeiv
  • https://radiomed.ru/sites/default/files/styles/case_slider_image/public/user/16789/img-0012-00001_11.jpg?itok=8p_RkBY6
  • https://radiomed.ru/sites/default/files/styles/case_slider_image/public/user/16789/img-0013-00001_9.jpg?itok=72Pg7oFw
  • https://radiomed.ru/sites/default/files/styles/case_slider_image/public/user/16789/img-0014-00001_7.jpg?itok=QxaTQ6mJ
  • https://radiomed.ru/sites/default/files/styles/case_slider_image/public/user/16789/img-0015-00001_4.jpg?itok=EJ4AlNNn
  • https://radiomed.ru/sites/default/files/styles/case_slider_image/public/user/16789/img-0016-00001_5.jpg?itok=1QNJ4mxG
  • https://radiomed.ru/sites/default/files/styles/case_slider_image/public/user/16789/img-0017-00001_4.jpg?itok=XDCPMdUB
ID:30814
НАДЕЖДА ЮРЬЕВНА's picture
Offline
Last seen: 7 years 1 month ago
Joined: 30.07.2012 - 13:14
Posts: 360

http://files.mail.ru/E0609590AAA54C5DAA5D49FE10626979

Кроме подкожной эмфиземы мягких тканей головы и лица слева, перелома скуловой кости, глазницы ничего не вижу blush.

Helios's picture
Offline
Last seen: 9 months 3 weeks ago
Joined: 06.08.2010 - 15:16
Posts: 4417

А гемосинус слева?

НАДЕЖДА ЮРЬЕВНА's picture
Offline
Last seen: 7 years 1 month ago
Joined: 30.07.2012 - 13:14
Posts: 360

Гемосинус то понятно, в переломы какие еще в этом "месиве"?

Helios's picture
Offline
Last seen: 9 months 3 weeks ago
Joined: 06.08.2010 - 15:16
Posts: 4417

Я дайкомы не смотрела, попробую скачать

Helios's picture
Offline
Last seen: 9 months 3 weeks ago
Joined: 06.08.2010 - 15:16
Posts: 4417

Надежда, а отека мозга нет?Мне показалось, что сглаженность борозд, сужение межгиральных пространств все же есть.Но не судите строго-в КТ пока не очень.

Андрей Юрьевич's picture
Offline
Last seen: 3 weeks 1 day ago
Joined: 16.11.2008 - 22:16
Posts: 18101

Ну, кости, конечно лучше смотреть в костном фильтре, а не в костном окне мягкотканных изображений. Поэтому чем могу: оскольчатые переломы передней и задней стенок левой верхнечелюстной пазухи со смещением, перелом верхней стенки левой в/ч пазухи (нижней стенки левой орбиты), (тут обязательно посмотреть МПР на предмет пролапса мягких тканей орбиты в полость пазухи, но по эти дайкомам почему-то не строит); перелом левой скуловой кости, перелом левой скуловой дуги, перелом левого клиновидно-скулового шва,  перелом левого большого крыла основной кости (перелом наружной стенки левой орбиты); перелом тела основной кости (стенок клиновидных пазух); содержимое повышенной плотности (кровь) в клиновидных, левой верхнечелюстной пазухах, решетчатых клетках, левосторонний экзофтальм. Содержимое в правом наружном слуховом проходе, ячейках правого сосцевидного отростка, пристеночно в правой барабанной полости (может тоже есть перелом, но это надо вдумчиво смотреть в костно фильтре и на МПР); кравой перелом правого мыщелка затылочной кости, (возможен перелом затылочной кости справа, но это надо детально отстраивать на более тонких (0,63мм) срезах)

Интракраниально: срединные стрктуры не смещены, цистерны основания мозга не деформированы, желудочки симметричны, латеральные щели и конвекситальные борозды проослеживаются с обеих стророн. Есть снижение плотности белого вещества левой лобной доли (ушиб I вида (по Корниенко).

Вот как-то так.

Андрей Юрьевич

НАДЕЖДА ЮРЬЕВНА's picture
Offline
Last seen: 7 years 1 month ago
Joined: 30.07.2012 - 13:14
Posts: 360

Спасибо огромное, Андрей Юрьевич и Елена Юрьевна! Такое множество переломов мелких костей я бы  не увидела.

Андрей Юрьевич's picture
Offline
Last seen: 3 weeks 1 day ago
Joined: 16.11.2008 - 22:16
Posts: 18101

НАДЕЖДА ЮРЬЕВНА wrote:
...Такое множество переломов мелких костей я бы  не увидела.

Польщен, конечно, НАДЕЖДА ЮРЬЕНА, но тело и большое крыло клиновидной кости, это не мелкие кости, это основание черепа.

Андрей Юрьевич

Helios's picture
Offline
Last seen: 9 months 3 weeks ago
Joined: 06.08.2010 - 15:16
Posts: 4417

Надежда, с меня помощник плохой.

Popovpavel's picture
Offline
Last seen: 7 years 4 months ago
Joined: 08.06.2009 - 00:23
Posts: 649

Переломы лицевого черепа классифицируются по Ле Фор: http://bone-surgery.ru/view/perelom_verhnej_chelyusti/

Кроме переломов по Ле Фор, существует перелом скулоорбитального комплекса, когда ломаются кости в области швов, соединяющих скуловую кость с верхней челюстью (передняя и заднелатеральная стенки верхнечелюстной пазухи, нижняя стенка орбиты), с основной костью (латеральная стенка орбиты) и с височной костью (скуловая дуга). При этом скуловая кость, как правило, вдавлена.

Во всех этих случаях челюстно-лицевому хирургу не требуется, чтобы рентгенолог перечислил все сломанные кости. Ему нужно, чтобы он указал вид перелома, от которого и будет зависеть лечебная тактика.

В нашем случае имеется перелом скулоорбитального комплекса слева. Кроме того, мне мерещится перелом левой латеральной стенки основной пазухи (если бы срезы были тонкие, можно было бы сказать точно). Это добавляет к перелому лицевого черепа еще и перелом основания мозгового черепа, который по определению является открытым и требует консультации нейрохирурга. Так что, смотрите тонкие срезы.

Ну и гемосинус, конечно)

Popovpavel's picture
Offline
Last seen: 7 years 4 months ago
Joined: 08.06.2009 - 00:23
Posts: 649

Прошу прощения, тонкие срезы, оказывается, есть.

Однозначно, тут есть и перелом основания черепа (тело и большое крыло основной кости), а также небольшие эпидуральные гематомы в области кавернозного синуса и передних отделов средней черепной ямки. Так что, без нейрохирургов не обойтись...

Андрей Юрьевич's picture
Offline
Last seen: 3 weeks 1 day ago
Joined: 16.11.2008 - 22:16
Posts: 18101

Popovpavel wrote:
... Так что, без нейрохирургов не обойтись...

Коллега, а как тут помогут нейрохирурги?

Андрей Юрьевич

Popovpavel's picture
Offline
Last seen: 7 years 4 months ago
Joined: 08.06.2009 - 00:23
Posts: 649

Андрей Юрьевич wrote:

Popovpavel wrote:
... Так что, без нейрохирургов не обойтись...

Коллега, а как тут помогут нейрохирурги?

Не очень понял вопроса. Кто у нас лечит переломы черепа и внутричерепные гематомы?

Андрей Юрьевич's picture
Offline
Last seen: 3 weeks 1 day ago
Joined: 16.11.2008 - 22:16
Posts: 18101

Popovpavel wrote:

Андрей Юрьевич wrote:

Popovpavel wrote:
... Так что, без нейрохирургов не обойтись...

Коллега, а как тут помогут нейрохирурги?

Не очень понял вопроса. Кто у нас лечит переломы черепа и внутричерепные гематомы?


Коллега, относясь  к вам с уважением, не хочу переводить беседу в плоскость вопроса на вопрос, но уверяю вас,  в очень многих ЛПУ, большинство переломов черепа лечат травматологи, и нейрохирургов вызывают только при необходимости проведения  операции. Впрочем: вы, наверное, работаете в учреждении, где нейрохирургов много.

И еще, коллега, прошу помощи с терминами. Вы уверены, что буржуйский термин zygomaticomaxillary complex fracture http://radiopaedia.org/articles/zygomaticomaxillary-complex-fracture-1 переведен на русский медицинский как  ///перелом скулоорбитального комплекса///.? Раньше (вроде бы) перелом скулоорбитального комплекса имел более узкое значение, как перелом скуловых отростков и нижней стенки орбиты, то, что буржуи называют как Zygomatic Arch and Orbital Fractures

Андрей Юрьевич

Popovpavel's picture
Offline
Last seen: 7 years 4 months ago
Joined: 08.06.2009 - 00:23
Posts: 649

Андрей Юрьевич wrote:

Коллега, относясь  к вам с уважением, не хочу переводить беседу в плоскость вопроса на вопрос, но уверяю вас,  в очень многих ЛПУ, большинство переломов черепа лечат травматологи, и нейрохирургов вызывают только при необходимости проведения  операции. Впрочем: вы, наверное, работаете в учреждении, где нейрохирургов много.

Согласен с вами, что при отсутствии нейрохирургов приходится выкручиваться травматологам. Но вообще-то это не есть гуд, обычно пациент с переломами черепа, а тем более, с внутричерепной гематомой, переводится в нейрохирургию, или по крайней мере консультироваться нейрохирургами.

Андрей Юрьевич wrote:

И еще, коллега, прошу помощи с терминами. Вы уверены, что буржуйский термин zygomaticomaxillary complex fracture http://radiopaedia.org/articles/zygomaticomaxillary-complex-fracture-1 переведен на русский медицинский как  ///перелом скулоорбитального комплекса///.? Раньше (вроде бы) перелом скулоорбитального комплекса имел более узкое значение, как перелом скуловых отростков и нижней стенки орбиты, то, что буржуи называют как Zygomatic Arch and Orbital Fractures

Вы заставили меня углубиться в изучение этого вопроса)

Да, мне кажется, это одно и то же.

Frontal view of a zygomaticomaxillary complex fracture: http://www.rad.washington.edu/academics/academic-sections/msk/teaching-materials/online-musculoskeletal-radiology-book/facial-and-mandibular-fractures

 

Перелом скулообитального комплекса:  http://medbe.ru/materials/cherepno-mozgovye-narusheniya/kraniofatsialnaya-travma-povrezhdeniya-verkhney-zony-litsa/

Да и наши челюстно-лицевые хирурги называли переломом скулоорбитального комплекса именно это.