Luis Mazas Artasona.
El edema cerebral es una situación patológica que se caracteriza por la acumulación anómala de líquido en cualquiera de los componentes del tejido encefálico. Desde el punto de vista fisiopatológico hay cuatro modalidades de edema cerebral. Tres de ellas se pueden diagnósticar mediante TC o TRM:
1) Edema Difuso citotóxico: Cúmulo de agua en lás células por difusión pasiva, desde el compartimento intersticial, a través de la membrana celular.
2) Edema Intersticial: Cúmulo de líquido alrededor de los ventrículos, en la hidrocefalia a tensión: resorción transependimaria de LCR.
3) Edema Hiperémico: Se produce por un incremento del volumen sanguíneo intravascular.
4) Edema Vasogénico: Extravasación de líquido de las arteriolas al espacio intersticial.
SEE MORE IMAGES
El más importante de todos es el edema vasogénico, porque es un signo indirecto de la existencia de un proceso patológico intracraneal, que podría pasar desapercibido en una exploración de TC o TRM. En este tipo de edema se produce un aumento de la permeabilidad de los capilares normales del cerebro porque están comprimidos por una lesión ocupante de espacio intracraneal o porque hay un fenómeno de angiogénesis tumoral que produce arteriolas patológicas. El edema vasogénico cerebral puede estar producido por un tumor maligno, uno benigno, una infección o un traumatismo. El líquido extravasado difunde por la sustancia blanca cerebral contorneando la corteza, motivo por el que se presenta como un área hipodensa de contorno digitiforme. Suele producir efecto de masa importante. ¿Pero, cual es la causa que produce el edema vasogénico? La utilización de contraste suele solucionar esta duda.
(Vasogenic edema, is an indirect sign of the existence of an intracranial pathologic process that could go undetected in a CT or MRI scans. In this type of edema there is an increase of permeability of normal brain capillaries that are compressed by a intracranial space occupying lesion or because there is a phenomenon of tumoral angiogenesis. The cerebral vasogenic edema can be caused by a malignant tumor, a benign, infection or trauma. The extravasation of liquid diffuses throught cerebral white matter, outlining the cortex, why is presented as a hypodense digitiform area. It usually causes significant mass effect. But, what is the cause that produces vasogenic edema? The use of iodinated endovenous contrast usually solve this doubt)
IMÁGENES SIN CONTRASTE ENDOVENOSO
Todas las exploraciones de Tomografía Computarizada craneoencefálica deben realizarse primero sin contraste endovenoso. Y, dependiendo de los hallazgos encontrados, se repite el examen despues de administrar una dosis de contraste. Si no se hace así podemos llevarnos alguna sorpresa.
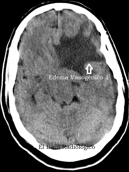
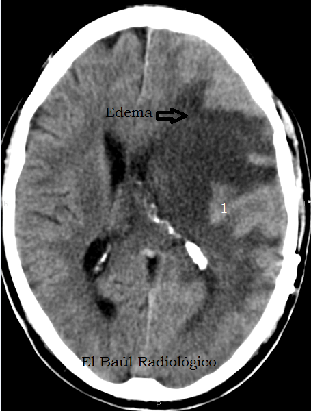
FIGURA 1) En esta imagen se aprecia edema vasogénico en la sustancia blanca del lóbulo frontal izquierdo. No podemos identificar la causa.
(This image shows a large area of vasogenic edema in the white matter of the left frontal lobe).
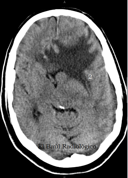
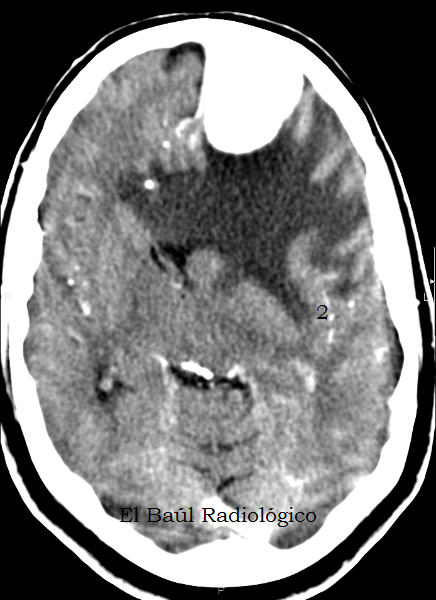
FIGURA 2) Corte más cefálico, con edema digitiforme. Suele asociarse a tumores malignos. ¿Podemos detectar con certeza la causa que lo ha producido? No.
(A more cephalad CT image, with digitiform edema. It is usually associated with malignant tumors. Can we identify, with certainty, the cause that has produced it? No)
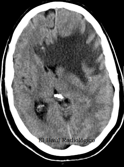
FIGURA 3) Más edema vasogénico digitiforme. ¿.....?
(More digitiform vasogenic edema. .....?)
FIGURA 4) Y más edema que desplaza las estructuras de la línea media en sentido contralateral. ¿....?
(And more edema which displaces the midline structures in the contralateral sense. ....?)
FIGURA 5) El edema digitiforme colapsa el cuerpo del ventrículo lateral. El diagnóstico sigue siendo dudoso.
(Digitiform edema collapses the body of lateral left ventricle. The diagnosis remains doubtful).
IMÁGENES CON CONTRASTE YODADO EDOVENOSO
En todas las imágenes que acabamos de presentar, lo más llamativo es la existencia de edema vasogénico, pero en ninguna se ha conseguido detectar la causa que lo produce. El edema es un signo radiológico indirecto. Por eso, en estos casos es obligatorio repetir una segunda adquisición después de administrar contraste yodado endovenoso. Con este procedimiento, se pone de manifiesto la causa, el tipo de lesión, benigna o maligna y hasta el diagnóstico.
(All images presented above, the most striking is the presence of vasogenic edema, but has not been been able to detect the cause that produces it. Edema is an indirect radiological sign. So in these cases is required to repeat a second acquisition after administration of intravenous iodinated contrast. With this procedure, we demonstrates the cause, type of injury, benign or malignant, and the diagnosis)

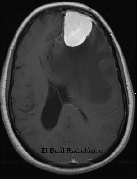
FIGURA 1+C) Imagen obtenida después de administrar 100 cc de contraste yodado endovenoso. La lesión es tan hiperdensa que podría confundirse, a simple vista, con un osteoma u otra tumoración ósea. ¡ Cómo ha cambiado la situación ¡ Gracias al efecto del contraste las dudas diagnósticas se han disipado)
(Image obtained after administration of 100 ml of intravenous iodinated contrast. The lesion is so hyperdense that could be confused, at first, with an osteoma or other oseous neoplasm. The situation has changed, thanks to the contrast effect and diagnostic doubts have dissipated) ).
FIGURA 2+C) En una imagen más cefálica el resultado es el mismo. Lesión hipercaptante rodeada de edema.
(In a more cephalad image the result is the same. Hyperenhanced lesion surrounded by edema).
FIGURA 3+C) En el siguiente corte sigue observándose la tumoración.
(In the next slice the tumor is being observed).
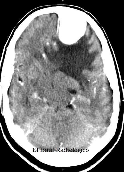
FIGURA 4+C) En esta imagen ya no se aprecia el tumor, pero sorprende la gran cantidad de edema vasogénico que existe en la sustancia blanca del hemisferio cerebral izquierdo.
(In this picture is no longer appreciated the tumor, but we was surprised by the large amount of vasogenic edema existing in the white matter of the left cerebral hemisphere)
FIGURA 5+C) Y en esta última imagen todavía podemos apreciar el edema, muy alejado del tumor, y el efecto que produce sobre el ventrículo lateral al que ha colapsado.
(And in this last image we can still appreciate the edema, far from the tumor, and the effect upon the lateral ventricle that has collapsed)
FIGURA 6+C) Aunque la tumoración parece completamente homogénea, al medir la densidad se obtienen cifras del coeficiente de atenuación muy dispares +557 UH en la periferia que corresponden al hueso del cráneo y 115 UH, en el centro, que indican la captación de contraste yodado por el tumor.
(Although the tumor seems completely homogeneous, by measuring the density, we obtained very different attenuation coefficients. 557 UH in the periphery, corresponding to the skull bone, and 115 UH, in the center, indicating the iodinated contrast uptake by the tumor).
FIGURA 7+C) Todavía queda la última maniobra técnica. Si se modifica el nivel de ventana, bajando las cifras de 35 UH, habituales para el parénquima cerebral, hasta 28 UH el tumor se clarea y se distingue perfectamente del parénquima cerebral.
(There is still the latest technical maneuver. If you change the window level, lowering the numbers of 35 UH, common to the brain parenchyma, until 28 UH perfectly is distinguished tumor of the brain parenchyma).
Diagnóstico definitivo: Meningioma (Tumoración bien delimtada, anclada en la tabla interna del cráneo que se realza intensamente con contraste yodado). Estos tumores, aunque se localizan fuera del parénquima cerebral producen edema vasogénico, al destruir el endotelio de los vasos periféricos del parénquima cerebral que comprimen. Por tanto ante el hallazgo de una extensa zona de edema vasogénico digitiforme en una exploración de TC hay que pensar también en un meningioma.
(Final diagnosis: Meningioma (well-defined tumor, anchored in the inner table of the skull that enhances intensely with iodine contrast). These tumors, are located outside of the brain parenchyma and produces vasogenic edema, destroying the endothelium of vessels by compressing the brain parenchyma. So when we discover a large area of digitiform vasogenic edema in a CT scan, we must also think in a meningioma)
Вазогенный отёк
(The discovery of an area of edema on a CT or MRI scans does not aggravate the prognosis and, conversely helps us tremendously. Some tumors do not produce edema and can be missed in a CT scan. In the pictures below, we present a sequence of tomographic slices where we can appreciate the digitiform edema in the white matter of the left cerebral hemisphere. Does anyone would find out the cause that produced it, in the first five images without contrast?)
FIGURA 4) Una nueva imagen. El diagnóstico sigue incierto.
ADQUISICIÓN CON CONTRASTE
Como no hemos obtenido un diagnóstico concluyente, en el examen previo, se procede a inyectar 100 cc de contraste yodado endovenoso y se repiten los mismos cortes.
(As we have not obtained a conclusive diagnosis, in the previous examination, we injected 100 cc of intravenous iodinated contrast, and repeat the same slices).
FIGURA 1) En esta primera imagen no se observa ningún foco de realce patológico postcontraste.
FIGURA 2) En esta segunda imagen se aprecia una lesíón intraparenquimatosa, adherida al cuerpo del ventrículo lateral izquierdo. Mal aspecto.
FIGURA 3) Y en ésta el realce es mayor.El diagnóstico es sombrío.
FIGURA 4) En este corte aparece una lesión sólida, que se realza con contraste de manera irregular abigarrada. Aspecto típico de los tumores gliales de alto grado.
Hospital Universitario Miguel Servet. (HUMS) Zaragoza.Spaiñ
Secuencia FSE-Dp. (FSE-Dp Sequence)
Secuencia FSE - T1 + Gadolinio. (FSE-T1+Gd Sequence)
Продолжение.