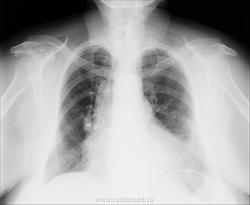
А может и не грыжа. На прямой газовый пузырь желудка кажется на месте. Может и частично опорожнившаяся киста, и дренированный абсцесс. Конечно же надо разбираться.
А с легкими все в порядке? Нет ли картинки гиповентиляции верхней и средних сегментов лев. легкого. А ГПОД не периферический ли, м.б. с распадом и мт в парабронхеальные?
Алкс! Парабронхиальные- это бронхопульмональные? Абсцесс тоже можно добавить в диф. ряд.
С весной уважаемая Миргалина! Она все же наступила, невзирая на ...
Ну, Вы же поняли куда, а названия иногда у меня старинные проскакивают, но тут хотел подчеркнуть именно пара. С возможностью либо инвазии, либо сдавления. Т.к. бронхопульмональных 3 или 4 порядка, точно не помню...
Да и Вас с весной! Насчет рака вот у меня сомнения-уж больно ровненько все. У себя бы-проКаТила , заодно "пара-" посмотрела бы. Ой, щас бить начнут. Да я уж привыкшая!
Да и Вас с весной! Насчет рака вот у меня сомнения-уж больно ровненько все. У себя бы-проКаТила , заодно "пара-" посмотрела бы. Ой, щас бить начнут. Да я уж привыкшая!
Грыжа ПОД? Дайте глоток бария. За 2 ребром справа что-то виднеется?
Грыжа ПОД? Дайте глоток бария
----------------------------------------------------------------------------------------------------------------------------------------------------------------------------------------
+1.Фиксированная грыжа пищеводного отверстия диафрагмы, с вероятностью~95%.
+ за грыжу, и за тень на фоне 2-го реба, только кажется это сосуды, на оригинале надо посмотреть. а одышка скорее всего из-за сердечных дел
А может и не грыжа. На прямой газовый пузырь желудка кажется на месте. Может и частично опорожнившаяся киста, и дренированный абсцесс. Конечно же надо разбираться.
"Слушай всех, прислушивайся к немногим, решай сам".©
Ну,так барий,а потом-линеечку,если надо.
на прямом скорее кишка...
Это эхинококк, наверное.
С Уважением, Дмитрий.
А с легкими все в порядке? Нет ли картинки гиповентиляции верхней и средних сегментов лев. легкого. А ГПОД не периферический ли, м.б. с распадом и мт в парабронхеальные?
Алкс! Парабронхиальные- это бронхопульмональные? Абсцесс тоже можно добавить в диф. ряд.
Ой, NIL уже добавила. Пардон. Опоздала, как всегда.
С весной уважаемая Миргалина! Она все же наступила, невзирая на ...
Ну, Вы же поняли куда, а названия иногда у меня старинные проскакивают, но тут хотел подчеркнуть именно пара. С возможностью либо инвазии, либо сдавления. Т.к. бронхопульмональных 3 или 4 порядка, точно не помню...
Да и Вас с весной! Насчет рака вот у меня сомнения-уж больно ровненько все. У себя бы-проКаТила , заодно "пара-" посмотрела бы. Ой, щас бить начнут. Да я уж привыкшая!
"Слушай всех, прислушивайся к немногим, решай сам".©
Можно.Так я бы на КТ и дала бы поллитру per os (только не барий уж тут, конечно)