You are here

Флг

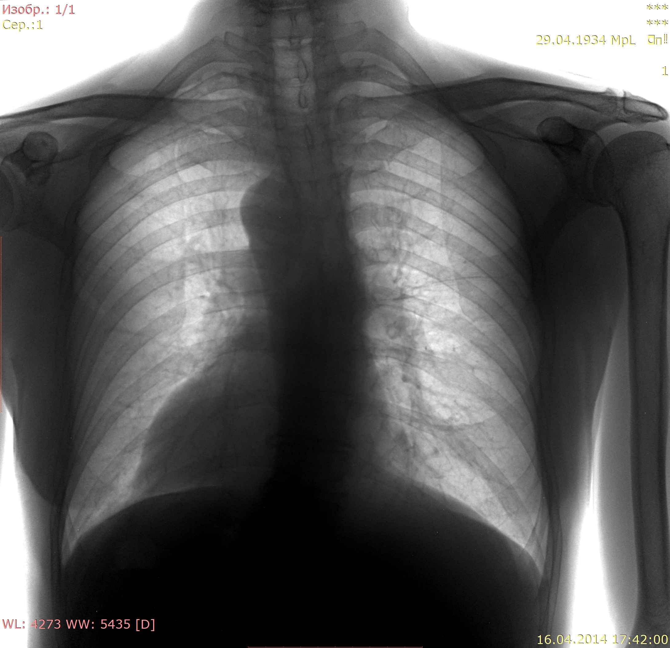
Проф флг, 1938 г.р, не понятна тень на 2 ребре справа, архива нет.

  • https://radiomed.ru/sites/default/files/styles/case_slider_image/public/user/18954/img-000y1-00001.jpg?itok=--kM6QoO
  • https://radiomed.ru/sites/default/files/styles/case_slider_image/public/user/18954/3400001.jpg?itok=Fqi0LgTd
  • https://radiomed.ru/sites/default/files/styles/case_slider_image/public/user/18954/img-0003-00001.jpg?itok=Dn0zb3b6
  • https://radiomed.ru/sites/default/files/styles/case_slider_image/public/user/18954/img-000y3-00001.jpg?itok=W6ctKZek
  • https://radiomed.ru/sites/default/files/styles/case_slider_image/public/user/18954/img-0002-00001_1.jpg?itok=VgxSysnb
  • https://radiomed.ru/sites/default/files/styles/case_slider_image/public/user/18954/img-0002-00y001.jpg?itok=MpLLVjkL
  • https://radiomed.ru/sites/default/files/styles/case_slider_image/public/user/18954/img-0004-00001.jpg?itok=QsVzK0fB
  • https://radiomed.ru/sites/default/files/styles/case_slider_image/public/user/18954/img-0004-000v01.jpg?itok=-IhRxAhV
ID:46694
Дмитрий Волегов's picture
Offline
Last seen: 3 years 11 months ago
Joined: 22.05.2013 - 00:32
Posts: 1148

Вспомнился фильм - "Тени исчезают в полдень".

С Уважением, Дмитрий.

schlyapa's picture
Offline
Last seen: 8 years 5 months ago
Joined: 27.09.2013 - 22:15
Posts: 613

А это не она?

Приложения: 
kkimg-0003-00001.jpg
NIL's picture
NIL
Offline
Last seen: 1 day 5 hours ago
Joined: 25.11.2013 - 20:50
Posts: 18217

Да, есть тень. Мне кажется, в S3. Подозрительна на Мts (довольно округла, средней интенсивности) Но, учитывая усиление легочного рисунка в сегменте, может оказаться банальной очаговой пневмонией.В моей объективной реальности - рентгенконтроль после противовоспалитеьного лечения.


"Слушай всех, прислушивайся к немногим, решай сам".©

atexta's picture
Offline
Last seen: 3 years 2 months ago
Joined: 08.02.2014 - 18:41
Posts: 4842

Да, тень, требующая разбирательства после п\воспалительного лечения

Не нам судить…