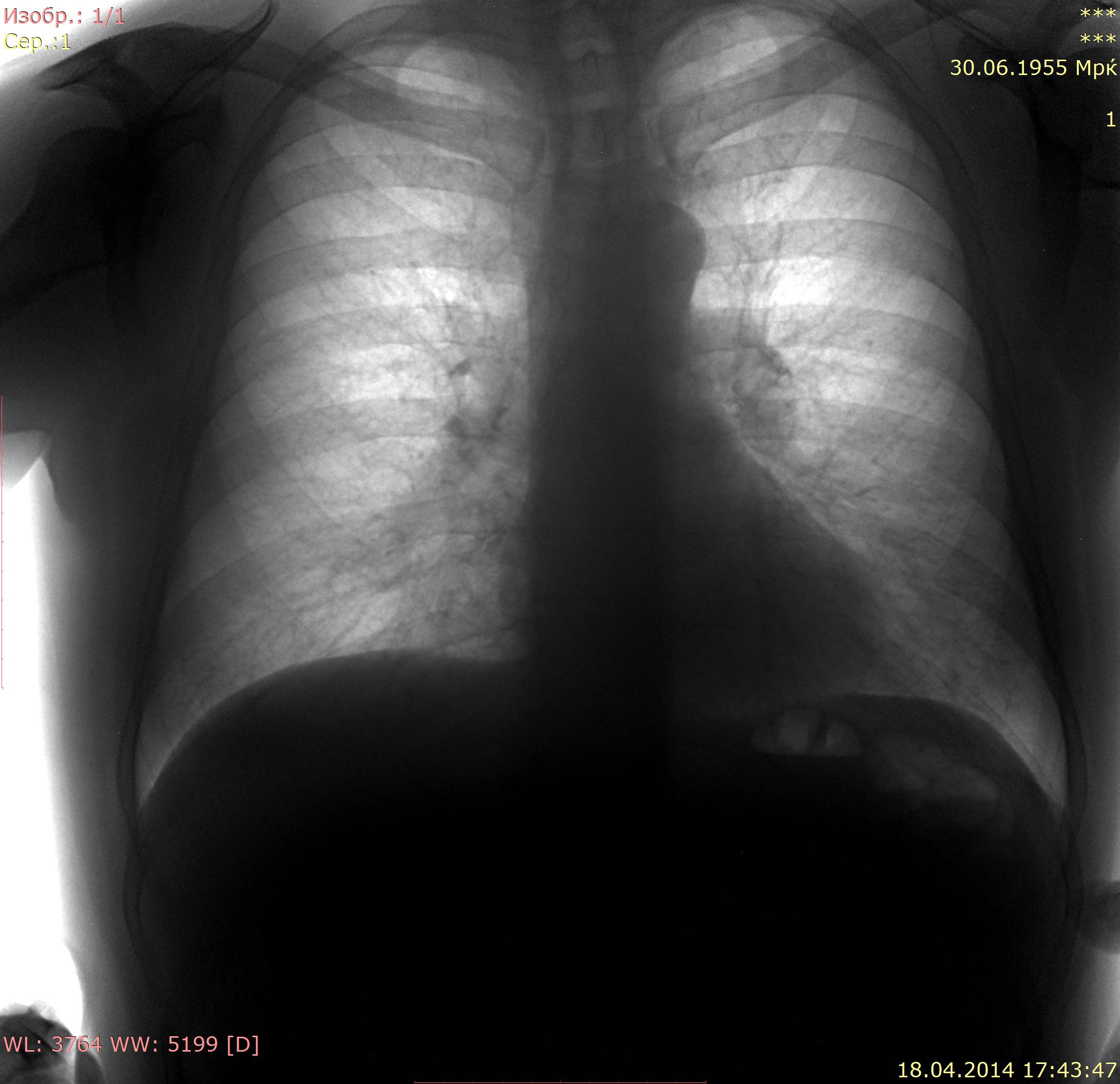
Пациент 1955 г.р, отмечал кашель, повышение температуры.
Контроль через 10 дней после лечения, состояние удовлетворительное.
Архивных снимков нет, есть описание 2 летней давности: усиление в рисунка в н\о легочных полей. В язычковых сегментах пневмония или что?
Проф флг, 1941 г р. архива нет, жалоб нет. Слева - дисковидные ателектазы? Требует ли такая картина дообследования\контрольного флг или можно отпустить?
- https://radiomed.ru/sites/default/files/styles/case_slider_image/public/user/18954/18_pr_00001.jpg?itok=qUBbPrxS
- https://radiomed.ru/sites/default/files/styles/case_slider_image/public/user/18954/28_pr00001.jpg?itok=NsaIjRnU
- https://radiomed.ru/sites/default/files/styles/case_slider_image/public/user/18954/28_pr_00001.jpg?itok=mUWPGHdq
- https://radiomed.ru/sites/default/files/styles/case_slider_image/public/user/18954/28_bok_sil_00001.jpg?itok=qFlanF7B
- https://radiomed.ru/sites/default/files/styles/case_slider_image/public/user/18954/28_bok_sil_00001_0.jpg?itok=boV_WicF
- https://radiomed.ru/sites/default/files/styles/case_slider_image/public/user/18954/28_bok_sil00001.jpg?itok=q8heyG66
- https://radiomed.ru/sites/default/files/styles/case_slider_image/public/user/18954/img-0001-00001_8.jpg?itok=D7cbEyLN
- https://radiomed.ru/sites/default/files/styles/case_slider_image/public/user/18954/img-y0001-00001.jpg?itok=9IiI0Egc
ID:46795
По первому заключил бы положительную динамику пневмонии с последующим контролем.Второй-зависит от архива,если архива нет-можно назначить дообследование,хотя бы в виде контроля.
Оба -контроль через месяц, № 1 может остаточные после пневмонии, как и около 5 р слева
Не нам судить…
А я что-то по первому случаю динамики не вижу и на боковом как-то на пневмонию не похоже. Может это локальный пневмосклероз? В настоящее время жалоб особых нет.
Солидарен. Я тоже динамики не усмотрел. Понравилось описание про сгущённый рисунок в нижних отделах, без выводов. Пусть терапевты решают - кого мучить а/б и Rg контролем, а кого отпустить.)
"Лишь утратив всё до конца, мы обретаем свободу." F.C.
Не знаю, что было 2 года назад, но сейчас изменения односторонние.
По первому случаю : слева - ничего особенного. Можно пригласить на контроль через месяц и успокоиться. Но мозолит глаза кольцевидная тень справа. Что-то никто на неё внимания не обратил... А мне кажется - не скиалогия, а патология
"Слушай всех, прислушивайся к немногим, решай сам".©
По второму случаю - не придиралась бы. Остатки ранее перенесенного процесса в виде линейной тяжистости ( не дисковидный ателектаз). Хотите помучаться - поднимите архив, пригласите на контроль через месяц. Мир от этого не рухнет, а Вам спокойнее будет
"Слушай всех, прислушивайся к немногим, решай сам".©
Спасибо, можно уточнить, что значит "ничего особенного" : положительная динамика пневмонии (а по моему никакой динамики нет) или склероз/фиброз? А кольцевидной тени 10 дней назад не было, не могла же она за такие сроки образоваться, по-моему это сосуды.
"Ничего особенного" = склероз, фиброз, т.е. остатки пневмонии. Считаю динамику положительной.Назначьте контроль через месяц (после пневмонии - полагается). Тогда и разберётесь со всеми "тараканами". По кольцевидной тени Вам решать. Мне она, почему-то, бросилась в глаза. И на первом снимке , кажется, в этом месте не чисто. Может ещё кто-нибудь выскажется. Может, сильно бдительная я стала...
"Слушай всех, прислушивайся к немногим, решай сам".©
По № 1 разницу вижу по состоянию легкого за тенью сердца, при том, что вдох на контроле больше + боковой делали только при контроле. Можно конечно и сразу дообследовать, но часто бывает через 3-4 нед изменения полностью уходят. А через пару недель и с правом разберетесь, есть там что-то или нет.
Не нам судить…
Теперь и мне видно положительную динамику.
Это потому что затемнение спряталось за малым поворотом. Но оно не ушло, ещё-таки есть. Ведь Вы заметили поворот... только на последнем контроле он есть. Так бывает. И поворот нашу жизнь иногда, упростив, усложняет ещё.)
"Лишь утратив всё до конца, мы обретаем свободу." F.C.
По-моему, первый (18.04) и последний (12.05) прямой снимок в схожих установках, а промежуточный (28.04) - с разворотом. Мне кажется, что динамика положительная, левый контур сердца стал более четким.
Хорошо. Шляпа, не удалось Вас сбить мне с верного пути.) Всё верно, динамика имеет место быть. Положительная, как ни крути!) Сердечный контур чётче - это раз, рисунок лёгочный не такой сближенный/сгущённый/обогащённый в язычках - два. Да и не только в язычках - в прикорневых зонах тоже тишина - уже и три, ага.) Ну, и размер плеврального пятна чуть меньше сбоку - ушла инфильтрация, остались только спайки - четыре! Все дела.) Осталось Вас спросить - Вы пневмонию заключали для получения контроля или просто ждали, как ждут, чтоб вздуть друг дружку Труляля и Траляля?))
"Лишь утратив всё до конца, мы обретаем свободу." F.C.
Да, пневмонию написала из соображений "там видно будет".
Так рассуждают чаще терапевты - там будет видно, и пациенту пишут антибиотики. А у нас есть признаки для неблагополучия в лёгких, как ни крути!) Они на снимках видны. Сохраните их в своей памяти и Вы.
"Лишь утратив всё до конца, мы обретаем свободу." F.C.