You are here

КТ ОБП+ОМТ+С. Объемное образование матки или левого яичника?

Пол пациента: 
Область исследования: 
Методы исследования: 

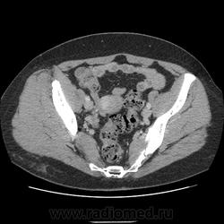
Женщина 50 лет, жалобы на тянущие боли в области малого таза, менопауза 1год, патологических выделений из влагалища не отмечает. На УЗИ киста правого яичника, левый яичник нормальный, объемное образование кишечника(?). На МРТ кистозно-солидное образование левого яичника, кишечника(?). Рекомендуют КТ. Как отдифференцировать? Киста справа понятно, слева то ли в яичнике, то ли... не было бы УЗИ и МРТ подумал бы на лейомиому матки. В понедельник будет делать ирригоскопию.

   

  • https://radiomed.ru/sites/default/files/styles/case_slider_image/public/user/19376/img-0001-00615.jpg?itok=i6BDcjo3
  • https://radiomed.ru/sites/default/files/styles/case_slider_image/public/user/19376/img-0001-00618.jpg?itok=5M7muZCS
  • https://radiomed.ru/sites/default/files/styles/case_slider_image/public/user/19376/img-0001-00622.jpg?itok=0kEY47x4
  • https://radiomed.ru/sites/default/files/styles/case_slider_image/public/user/19376/img-0001-00624.jpg?itok=_Ng4xk0l
  • https://radiomed.ru/sites/default/files/styles/case_slider_image/public/user/19376/img-0001-00626.jpg?itok=-qr83izS
  • https://radiomed.ru/sites/default/files/styles/case_slider_image/public/user/19376/img-0001-00630.jpg?itok=kIVov5rr
  • https://radiomed.ru/sites/default/files/styles/case_slider_image/public/user/19376/img-0001-00637.jpg?itok=k48BAnPr
  • https://radiomed.ru/sites/default/files/styles/case_slider_image/public/user/19376/img-0001-00640.jpg?itok=Pw0VIqnw
  • https://radiomed.ru/sites/default/files/styles/case_slider_image/public/user/19376/img-0001-00647.jpg?itok=HyBtsjw-
  • https://radiomed.ru/sites/default/files/styles/case_slider_image/public/user/19376/img-0001-00650.jpg?itok=WnSo0WXC
  • https://radiomed.ru/sites/default/files/styles/case_slider_image/public/user/19376/img-0001-00653.jpg?itok=JlTAVeHi
  • https://radiomed.ru/sites/default/files/styles/case_slider_image/public/user/19376/img-0001-00656.jpg?itok=-HFvIXZX
  • https://radiomed.ru/sites/default/files/styles/case_slider_image/public/user/19376/img-0001-00660.jpg?itok=fWDipoUT
  • https://radiomed.ru/sites/default/files/styles/case_slider_image/public/user/19376/img-0002-00001_1.jpg?itok=937BNAZQ
  • https://radiomed.ru/sites/default/files/styles/case_slider_image/public/user/19376/img-0003-00001_2.jpg?itok=1DO9i3rB
  • https://radiomed.ru/sites/default/files/styles/case_slider_image/public/user/19376/img-0004-00001_3.jpg?itok=HfkRK6ZC
  • https://radiomed.ru/sites/default/files/styles/case_slider_image/public/user/19376/img-0004-00001u.jpg?itok=R4d6WeRd
  • https://radiomed.ru/sites/default/files/styles/case_slider_image/public/user/19376/img-0005-00001u.jpg?itok=-wXJJcA6
  • https://radiomed.ru/sites/default/files/styles/case_slider_image/public/user/19376/img-0006-00001u.jpg?itok=zHwsE231
  • https://radiomed.ru/sites/default/files/styles/case_slider_image/public/user/19376/img-0007-00001u.jpg?itok=R_cW-QYE
  • https://radiomed.ru/sites/default/files/styles/case_slider_image/public/user/19376/img-0008-00001u.jpg?itok=9qYziHId
  • https://radiomed.ru/sites/default/files/styles/case_slider_image/public/user/19376/img-0009-00001u.jpg?itok=uDGhAxMN
  • https://radiomed.ru/sites/default/files/styles/case_slider_image/public/user/19376/img-0010-00001u.jpg?itok=JboKXi41
  • https://radiomed.ru/sites/default/files/styles/case_slider_image/public/user/19376/img-0011-00001u.jpg?itok=9tkuUzXP
  • https://radiomed.ru/sites/default/files/styles/case_slider_image/public/user/19376/img-0012-00001u.jpg?itok=1qGL0-kg
  • https://radiomed.ru/sites/default/files/styles/case_slider_image/public/user/19376/img-0013-00001u.jpg?itok=ZgNtYyH8
  • https://radiomed.ru/sites/default/files/styles/case_slider_image/public/user/19376/img-0014-00001u.jpg?itok=P82DvZAV
  • https://radiomed.ru/sites/default/files/styles/case_slider_image/public/user/19376/img-0015-00001u.jpg?itok=v1iNapk1
  • https://radiomed.ru/sites/default/files/styles/case_slider_image/public/user/19376/img-0016-00001u.jpg?itok=wYfZ8Mj8
  • https://radiomed.ru/sites/default/files/styles/case_slider_image/public/user/19376/img-0017-00001u.jpg?itok=lI4chMeB
  • https://radiomed.ru/sites/default/files/styles/case_slider_image/public/user/19376/img-0018-00001u.jpg?itok=RB75pMsi
  • https://radiomed.ru/sites/default/files/styles/case_slider_image/public/user/19376/img-0019-00001u.jpg?itok=SMun2A5a
  • https://radiomed.ru/sites/default/files/styles/case_slider_image/public/user/19376/img-0020-00001u.jpg?itok=obBZIpws
  • https://radiomed.ru/sites/default/files/styles/case_slider_image/public/user/19376/img-0021-00001u.jpg?itok=nm0jratj
  • https://radiomed.ru/sites/default/files/styles/case_slider_image/public/user/19376/img-0022-00001u.jpg?itok=TDj8xdq9
  • https://radiomed.ru/sites/default/files/styles/case_slider_image/public/user/19376/img-0023-00001u.jpg?itok=_EkArmDj
  • https://radiomed.ru/sites/default/files/styles/case_slider_image/public/user/19376/img-0024-00001u.jpg?itok=sHepR7Cp
  • https://radiomed.ru/sites/default/files/styles/case_slider_image/public/user/19376/img-0025-00001u.jpg?itok=KMyTzJZD
  • https://radiomed.ru/sites/default/files/styles/case_slider_image/public/user/19376/img-0026-00001u.jpg?itok=01R7akMM
  • https://radiomed.ru/sites/default/files/styles/case_slider_image/public/user/19376/img-0027-00001u.jpg?itok=KbDy7kGp
  • https://radiomed.ru/sites/default/files/styles/case_slider_image/public/user/19376/img-0028-00001u.jpg?itok=6hTPcR64
  • https://radiomed.ru/sites/default/files/styles/case_slider_image/public/user/19376/img-0029-00001u.jpg?itok=Vx3xfCYo
  • https://radiomed.ru/sites/default/files/styles/case_slider_image/public/user/19376/img-0030-00001u.jpg?itok=zJuuVB3o
  • https://radiomed.ru/sites/default/files/styles/case_slider_image/public/user/19376/img-0031-00001u.jpg?itok=BApX4v5c
ID:38279
480's picture
480
Offline
Last seen: 11 years 3 months ago
Joined: 05.08.2013 - 21:18
Posts: 6

кистозно-солидное образование кишечника?.... сомнительно.

Вячеслав's picture
Offline
Last seen: 5 years 9 months ago
Joined: 01.04.2010 - 19:56
Posts: 209

Автор случая, Tatarin, здрвст. Если случай верифицирован, то сообщите результаты.СПС.

Вячеслав's picture
Offline
Last seen: 5 years 9 months ago
Joined: 01.04.2010 - 19:56
Posts: 209

 Было бы хорошо, если бы люди, занимающиеся в КТ, высказали своё мнение по выложеным сканам: кто, что видит. Хотя бы описание краткое.

Tatarin's picture
Offline
Last seen: 8 years 3 weeks ago
Joined: 06.12.2013 - 15:41
Posts: 653

Вячеслав wrote:

Автор случая, Tatarin, здрвст. Если случай верифицирован, то сообщите результаты.СПС.

Не верифицирован.

Вячеслав's picture
Offline
Last seen: 5 years 9 months ago
Joined: 01.04.2010 - 19:56
Posts: 209

СПС