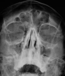
Касательно пристеночного уплотнения справа в в/ч пазухе- вполне возможно суммационное искажение из-за неправильной укладки,с учетом клиники-я бы перестраховался и назначил томограмму(в идеале-малодозовый режим СКТ на ППН). Можно назначить контроль в динамике.
Наклон головы и есть неправильная укладка,если я не ошибаюсь,хотя идеального ничего и никого нет, а по качеству изображения- "5" баллов,тут не поспоришь!!!
Так что думаете по поводу дальнейшей тактики: Рентгенологическое исследование ППН в динамике или малодозовый режим СКТ на ППН???
Мы, ограничены в использовании "высоких технологий", так как наше рентгеновское отделение, маленькой ЦРБ-ушки укомплектовано только рентгенодиагностической аппаратурой, правда - все "цифра". Решение по дообследованию и дальшейшему тактическому ведению, по всей видимости, примет клиницист, курирующий пациента.
КТ, МРТ и прочее, имеет место быть, только в областном центре или в очень крупных районах. Мы-же маленький рай-центр, по типу "Деревни Гадюкино".
Мне интересно,как начинающему специалисту,тут необходимо экономить деньги больного(исследование в динамике) или диагноз(в случае данного пациента) превыше всего?
Что из вышеуказанного рекомендовать в беседе с лечащим врачом и писать в истории болезни с данным "сомнением в пазухе"?
Мне интересно,как начинающему специалисту,тут необходимо экономить деньги больного(исследование в динамике) или диагноз(в случае данного пациента) превыше всего?
Что из вышеуказанного рекомендовать в беседе с лечащим врачом и писать в истории болезни с данным "сомнением в пазухе"?
Уважаемый коллега!
Я, Вас прекрасно понимаю "по поводу экономии денег больного", так как длительное время работал в Харьковской области в одной из крупных межрайонных ЦРБ (20 лет зав. рентгенологическим отделением) и ситуация (со здравоохранением) на Украине мне также хорошо известна, так как я весьма часто там бываю.
В Российской Федерации, по большому счету, "пациент не платит", есть конечно "ньюансы", но - это только "ньюансы" и не более.
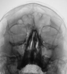
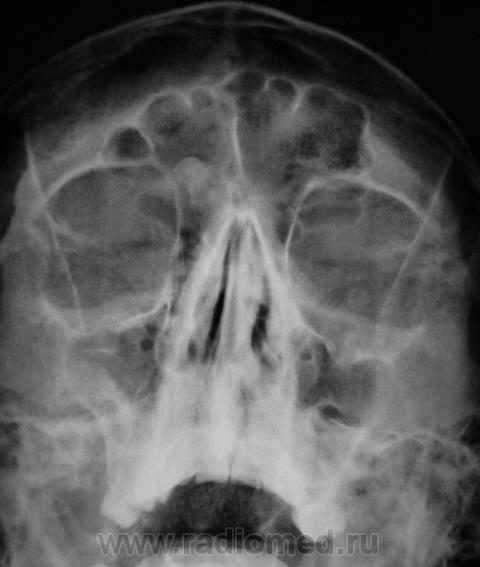
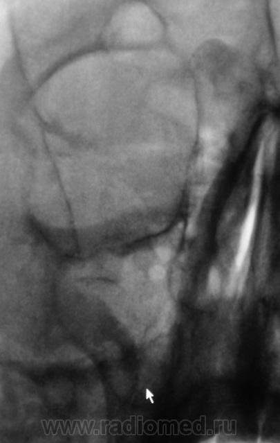
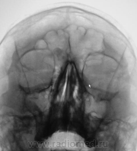
что-то плотное в правой лобной пазухе- остеома?
Образование правой лобной пазухи,пристеночное утолщение слизистой пр.гайморовой пазухи. Как всегда может помочь томограмма.
Остеома с типичной локализацией. Неосложненная.
100% согласен!
Касательно пристеночного уплотнения справа в в/ч пазухе- вполне возможно суммационное искажение из-за неправильной укладки,с учетом клиники-я бы перестраховался и назначил томограмму(в идеале-малодозовый режим СКТ на ППН). Можно назначить контроль в динамике.
А лаборанту - "взбучку" за неровную укладку!!!
Ум не замещает знания!
"Взбучки" лаборантом не будет!
Снимок хорошего качества, в стандартной укладке, а то, что голова несколько наклонена, так это, не суть важно - пациент виноват.
Слава и "денежная премия" лаборантам, производящим качественные снимки.
Наклон головы и есть неправильная укладка,если я не ошибаюсь,хотя идеального ничего и никого нет, а по качеству изображения- "5" баллов,тут не поспоришь!!!
Так что думаете по поводу дальнейшей тактики: Рентгенологическое исследование ППН в динамике или малодозовый режим СКТ на ППН???
Ум не замещает знания!
Мы, ограничены в использовании "высоких технологий", так как наше рентгеновское отделение, маленькой ЦРБ-ушки укомплектовано только рентгенодиагностической аппаратурой, правда - все "цифра". Решение по дообследованию и дальшейшему тактическому ведению, по всей видимости, примет клиницист, курирующий пациента.
КТ, МРТ и прочее, имеет место быть, только в областном центре или в очень крупных районах. Мы-же маленький рай-центр, по типу "Деревни Гадюкино".
Спасибо за ответ.
Мне интересно,как начинающему специалисту,тут необходимо экономить деньги больного(исследование в динамике) или диагноз(в случае данного пациента) превыше всего?
Что из вышеуказанного рекомендовать в беседе с лечащим врачом и писать в истории болезни с данным "сомнением в пазухе"?
Ум не замещает знания!
Уважаемый коллега!
Я, Вас прекрасно понимаю "по поводу экономии денег больного", так как длительное время работал в Харьковской области в одной из крупных межрайонных ЦРБ (20 лет зав. рентгенологическим отделением) и ситуация (со здравоохранением) на Украине мне также хорошо известна, так как я весьма часто там бываю.
В Российской Федерации, по большому счету, "пациент не платит", есть конечно "ньюансы", но - это только "ньюансы" и не более.
Пациент, по всей видимости, получит "квотный талон" на проведение КТ, или в областном центре, или в ближайшем крупном районе.
Спасибо за разъяснение ситуации)))
Ум не замещает знания!
Пациент направлен на цифровую флюорографию придаточных полостей носа.