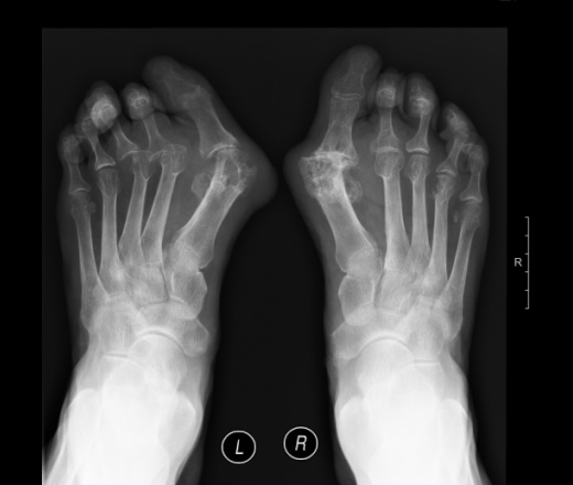
Пол пациента: Женский пол Тип патологии: Метаболическое заболевание Область исследования: Скелетно-мышечная система Методы исследования: Rg возраст 74 ,боли в суставах РА??? ID:63058 Цель публикации: Консультация Mon, 15/02/2016 - 16:14 #1 NIL Offline Last seen: 2 weeks 4 days ago Joined: 25.11.2013 - 20:50 Posts: 18208 В данном случае мне подагрический артирит милее "Слушай всех, прислушивайся к немногим, решай сам".© Mon, 15/02/2016 - 16:16 #2 Agr_Ai Offline Last seen: 3 months 2 weeks ago Joined: 02.09.2014 - 14:10 Posts: 1393 Я за ревматоидный. Кисти бы доснять. Mon, 15/02/2016 - 16:46 #3 Сергей Кузьминов Offline Last seen: 1 year 1 month ago Joined: 06.10.2012 - 15:51 Posts: 11813 Agr_Ai wrote: Я за ревматоидный. Кисти бы доснять. +1. Mon, 15/02/2016 - 17:15 #4 maker4ik Offline Last seen: 8 years 8 months ago Joined: 19.10.2011 - 17:49 Posts: 2682 Сергей Кузьминов wrote: Agr_Ai wrote: Я за ревматоидный. Кисти бы доснять. +1. +1 Mon, 15/02/2016 - 17:58 #5 Михаил66676 Offline Last seen: 6 years 3 months ago Joined: 28.11.2015 - 13:37 Posts: 16 Тофусы есть Tue, 16/02/2016 - 09:09 #6 urievich Offline Last seen: 2 months 4 weeks ago Joined: 28.07.2015 - 07:42 Posts: 435 За подагру. Что с анализам /мочевая кислота, СРБ?,/ Tue, 16/02/2016 - 09:11 #7 перчик Offline Last seen: 1 month 2 weeks ago Joined: 06.03.2014 - 12:16 Posts: 721 urievich wrote: За подагру. Что с анализам /мочевая кислота, СРБ?,/ Это первичная больная, анализов пока нет, но суставной синдром много лет)) Tue, 16/02/2016 - 09:12 #8 перчик Offline Last seen: 1 month 2 weeks ago Joined: 06.03.2014 - 12:16 Posts: 721 Михаил66676 wrote: Тофусы есть тофусы в головках плюсневых костей? я вижу вроде слева один Tue, 16/02/2016 - 16:43 #9 Елена Александрова Offline Last seen: 3 years 7 months ago Joined: 17.01.2016 - 10:13 Posts: 4 Мне кажется все же подагрический+ статическая деформация стоп Wed, 17/02/2016 - 07:52 #10 Sushkov IV Offline Last seen: 7 years 3 months ago Joined: 03.08.2015 - 22:23 Posts: 582 К сожалению без биохимии не доказать, но мне тож подагрический здесь милее по картинке, хоть и такая распространенная форма поражения для него менее характерна. Wed, 17/02/2016 - 08:00 #11 Лейман Иван Offline Last seen: 3 months 1 day ago Joined: 09.01.2014 - 07:54 Posts: 1190 А я за подагричесикй Thu, 18/02/2016 - 01:57 #12 Игрок Offline Last seen: 9 years 1 month ago Joined: 15.10.2015 - 17:29 Posts: 2321 Ставлю на двоих! Страсть - сила любви! Nobody
В данном случае мне подагрический артирит милее
"Слушай всех, прислушивайся к немногим, решай сам".©
Я за ревматоидный. Кисти бы доснять.
+1
Тофусы есть
За подагру. Что с анализам /мочевая кислота, СРБ?,/
Это первичная больная, анализов пока нет, но суставной синдром много лет))
тофусы в головках плюсневых костей? я вижу вроде слева один
Мне кажется все же подагрический+ статическая деформация стоп
К сожалению без биохимии не доказать, но мне тож подагрический здесь милее по картинке, хоть и такая распространенная форма поражения для него менее характерна.
А я за подагричесикй
Ставлю на двоих!
Страсть - сила любви!
Nobody