Наша предвзятость к интерпретации снимков, в том числе и флюорограмм, граничащая довольно часто с "гипердиагностикой" совершенно не от хорошей жизни...
Просто, упущенное в свое время, и в диагностическом плане, а главное в организационном, в настоящее время вылазит, и вылазит не хило. Я говорю не только о РФ, это касается и Украины, на которой я довольно часто бываю и обязательно встречаюсь с коллегами.
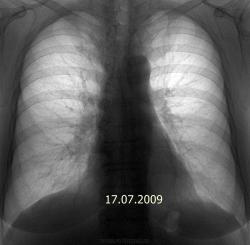
Конечно, к левому, первому снимку, даже при определенном настрое "придраться нельзя".
Просто, наши и Ваши организаторы здравоохранения, довольно часто являющиеся, именно, дезорганизаторами этого самого здравоохранения, не хотят признать "возможностей" того или иного метода, в том числе, и флюорографии, считая её панацеей "ранней диагностики", но мы - то прекрасно понимаем, что "это" не так, и в тубарском плане, и это надо признать, заподозрить "единичные очаги" весьма проблемно. По большому счету в тубарском векторе можно считать "отправной точной" - уже инфильтративный. В плане онкологии "маленький рачокс", мы довольно часто распознаём, не потому, что это так, а просто - повезло. Простыл пациент, и вот вокруг "компроментированного" участка увидели рачокс + парапроцесс. "Простуду" полечили, парапроцесс ушел, и тенечки нет, нас обозвали "козлами", а через 3 годика, смотришь "тенечка появилась", и уже не исчезали.
На "Радиология 2009" был интересный доклад о ранней диагностике рака легкого, в частности, там сказали, что америкосы проводившие КТ-скрининг для выявления малого рака легких, в настоящее время от него отказались, посчитав экономически не выгодным, мол на продолжительность жизни это не влияет... Вот так...
На "Радиология 2009" был интересный доклад о ранней диагностике рака легкого, в частности, там сказали, что америкосы проводившие КТ-скрининг для выявления малого рака легких, в настоящее время от него отказались, посчитав экономически не выгодным, мол на продолжительность жизни это не влияет... Вот так...
А у нас, хотели хорошо, а получилось как всегда... Мы много чего берём с западных стандартов, от которых, они сами порой про анализировав отходят, мы же просто ляпаем...что бы было, а вдруг.
"Знаешь, у некоторых врачей есть комплекс мессии — им необходимо спасать мир. А у тебя комплекс Рубика — тебе необходимо решать головоломки."
На "Радиология 2009" был интересный доклад о ранней диагностике рака легкого, в частности, там сказали, что америкосы проводившие КТ-скрининг для выявления малого рака легких, в настоящее время от него отказались, посчитав экономически не выгодным, мол на продолжительность жизни это не влияет... Вот так...
Цифровая флюоро (стоимость - аппарат + процесс), не намного дешевле полноформатного цифрового снимка (кстати, такие аппараты уже есть - цифра только для ОГК) зато, "выявляемость" заметно повышается, и это "аппаратный фактор", правда, необходим один маленький ньюансик.
А может быть тут ничего страшного нет, случай явно не запущенный, главное оперативно (в смысле решительно) и, возможно, оперативно подойти к данному случаю. В онко направил, а как там решат - будет видно.
А, мы как-то с коллегами попробовали. Идет поток, фактически флюорографический, и параллельно съёмке, за своим АРМом сидит врач-рентгенолог, и сразу анализирует снятое, т.е. "описывает", и сразу-же "непонятное" доснимается в нужных проекциях, или направляется сразу-же в рентгеновский кабинет на томографию. Заключение сразу, после прохождения флюорографии. Такая организация оправдывает себя со всех сторон. Вот, только данному врачу, с учетом "цифрового потока", главный врач, если он умный или мудрый, будет платить около двух ставок, только за эту работу. Выгода - огромная.
у нас это норма. в больнице договор со многими страх.компаниями. идут пациенты. если даже пациент ушел, а мы позднее описывем и видим изменения , пациента , когда он приходит за ответом, ждет дообследование. по другому, наверно, только там где нет должной аппаратуры для дообследования и они направляются для этого в другие места. наверно, проблема в отсутствии необходимой аппаратуры на местах...
Или есть те , кто не дообследует по причине , что за это не заплатят?
все это возможно при наличии времени и аппаратуры. меня все время забавляет в "" фраза администрации - нет денег и достать не от куда. смотришь в окно из кабинета - джипы, дорогущие иномарки, сверкающие гиперцентры( кстати, московские и питерские) , нефтяные компании, и т.д. и думаешь :" да, действительно, от куда же их взять городу на своих жителей..."
Не дообследовать пациента по какой либо причине чревато для собственного заработка и доброго имиджа, и не дай Бог дойти до судебных разбирательств. Исключение - когда пациент убыл в неизвестность (по жительству). Всё остальное - или неопытность, или халатность. Со вторым имею несчастье работать бок о бок. И ничего, всё сходит, как с гуся, что и обидно... К тому же есть еще у врача такой пунктик, как совесть (у некоторых его заменяет профессиональное честолюбие). Сам себе тупых ошибок не простишь. У меня в плане дообследования оба варианта: на одной работе дообследую сразу тех из общего потока, кого нужно, максимум - на следующий день (в плане томо, скопии и графии) в виду занятости. На второй работе - назначаю обследования на следующий день, т.к. читаю флюоро после обеда в пустом кабинете.
А по снимку от 17.07.09. - показалась гиперплазия правого корня, особенно настораживает тело. В паренхиме - пусто. А вообще, приходится встречаться с такими случаями бурно растущих опухолей, что промежуток в 6 месяцев между флюорографиями пациента не спасает: вот он был (корни не расширены, малоструктурны, паренхима интактна) и вот он пришел (центральный рак, выпирающий по контуру корня с лучистостью и гиповентиляцией верхней доли; на ФБС - карциноматоз трахеи и бронхов, обтурация в\д бронха серой опухолью, цитология - аденокарцинома), а вот через 2 недели его уж и нет на свете (онко:-лечение симптоматическое по месту жительства). Рентгенолог всегда должен быть готов отстоять сою правоту в том, в чем прав.
все это возможно при наличии времени и аппаратуры. меня все время забавляет в "" фраза администрации - нет денег и достать не от куда. смотришь в окно из кабинета - джипы, дорогущие иномарки, сверкающие гиперцентры( кстати, московские и питерские) , нефтяные компании, и т.д. и думаешь :" да, действительно, от куда же их взять городу на своих жителей..."
При хронической нехватке врачей и денег на оплату врачам, управления ЛПУ, бухгалтерии и прочие парамедицинские структуры ЛПУ переполнены и "населяющие их" оплачиваются довольно не плохо. Организаторы здравоохранения давно закрепили за собой иммидж дезорганизаторов здравоохранения с выраженным коррупционно-клановым духом.
Если оставить пока в стороне коррупционеров из администрации и нахлебников из "бухгалтерии и прочиих парамедицинских структур" можно ли уже заключить (с учётом передового пиндосского опыта), что рентгенология (в самом широком смысле) не обеспечивает эффективного выявления ранних стадий рака лёгкого)? И нельзя ли в этом вопросе положиться на МРТ, если она станет массово доступной?
А по снимку от 17.07.09. - показалась гиперплазия правого корня, особенно настораживает тело. В паренхиме - пусто.
У нас каждый день по 120-140 пациентов на флюорограмме. Хочется, что-бы заключение было острым, как нож - по одну сторону или норма, или что-то остаточное после прошедших битв за здоровье, может какая-то сердечная патология с своим рентгенсимптомокомплексом, а по другую - все что еще может привести к худшим последствиям (начальный ТБС, Са...). Если придираться к таким корням - можно потонуть в дообследованиях и контролях. А кто возьмет на себя ответственность в таком случае сказать, как отрезать?
Я думаю в этом и отличие рентгенолога "от бога" придираться там где необходимо. Таких не много... очень хотелось бы приблизиться к этой когорте.
может я не прав, но зачастую мы особенно придираемся к сотрудникам, знакомым( здесь же родственнки) и к "заинтересованным". ко всем придираться невозможно, действительно утоним.
Если оставить пока в стороне коррупционеров из администрации и нахлебников из "бухгалтерии и прочиих парамедицинских структур" можно ли уже заключить (с учётом передового пиндосского опыта), что рентгенология (в самом широком смысле) не обеспечивает эффективного выявления ранних стадий рака лёгкого)? И нельзя ли в этом вопросе положиться на МРТ, если она станет массово доступной?
Правильно ставите вопрос Петрович!
Но, увы, от специалистов и врачей мало, что зависит. Решение примут люди в лучем случае "при сем присутствующие", в худшем - "в стороне стояшие".
Принятие "решений, кажущихся хорошими", наглядно показал пример с "Мосрентгеном".
А по снимку от 17.07.09. - показалась гиперплазия правого корня, особенно настораживает тело. В паренхиме - пусто.
У нас каждый день по 120-140 пациентов на флюорограмме. Хочется, что-бы заключение было острым, как нож - по одну сторону или норма, или что-то остаточное после прошедших битв за здоровье, может какая-то сердечная патология с своим рентгенсимптомокомплексом, а по другую - все что еще может привести к худшим последствиям (начальный ТБС, Са...). Если придираться к таким корням - можно потонуть в дообследованиях и контролях. А кто возьмет на себя ответственность в таком случае сказать, как отрезать?
Полностью согласен. Это я так, пост фактум придираюсь. На практике такие корни задержки в написании кода не вызывают.
Если оставить пока в стороне коррупционеров из администрации и нахлебников из "бухгалтерии и прочиих парамедицинских структур" можно ли уже заключить (с учётом передового пиндосского опыта), что рентгенология (в самом широком смысле) не обеспечивает эффективного выявления ранних стадий рака лёгкого)? И нельзя ли в этом вопросе положиться на МРТ, если она станет массово доступной?
Рентгенология как раз наиболее эффективна для выявления ранних стадий рака легкого (и не только). Проведение КТ-скринга - вопрос чисто экономический, к тому же современные цифровые технологии традиционной рентгенографии вполне приближаются к КТ. Проблема скорее в том, а проводится ли скриниг (по нашему профосмотр) и в каком объеме. В рассматриевом нами случае речь идет не о ранней диагностике, а об обнаружении мтс без выявленного первичного очага.
Что касается МРТ, то этот метод вряд ли будет использоваться для выявления малого рака легких, прежде всего ввиду его низкой чувствительности к легочной ткани, кроме того он дороже и занимает значительно больше времени по сравнению с КТ.
P.S. Еще о скрининге... Сегодня финны рассказывали о маммоскрининге у них. Проводят с 1987 года, за это время смертность от РМЖ снизилась на 50%, в 90-95% выявляется 1 стадия (нащ вопрос "сколько процентов выявлено 3-4 стадий?" не поняли). После этого утверждения, что "время обнаружения опухоли не влияет на продолжительность жизни", мне представляются сомнительными.
На этих изображениях не видна костная структура рёбер. Игорь Иванович, а на флюорограммах Вы её видите? Если не трудно, каковы размеры матрицы: сколько пикселей и сколько миллиметров? Разрешение какое: пар линий на миллиметр?
На этих изображениях не видна костная структура рёбер. Игорь Иванович, а на флюорограммах Вы её видите? Если не трудно, каковы размеры матрицы: сколько пикселей и сколько миллиметров? Разрешение какое: пар линий на миллиметр?
Для меня то, что Вы спрашиваете - матюки какие-то. Где и как это смотреть?
Так видна костная структура рёбер на флюорограммах ваших?
Это смотреть надо в сопроводительной документации. В разделе основных параметров. Может называться «спецификация». В даже в паспорте аппарата может быть. Если дадите точное название модели (это уж точно в паспорте), можно поискать в интернете.
Так видна костная структура рёбер на флюорограммах ваших?
Сегодня обратил внимание при читке флюорограмм, что практически на всех очень четко видна костная структура. Даже, если бы было что-то не так - все равно изменить ничего нельзя.
Извините, второй снимок 17.03.2010 года.
Уважаемый Игорь Иванович!
Наша предвзятость к интерпретации снимков, в том числе и флюорограмм, граничащая довольно часто с "гипердиагностикой" совершенно не от хорошей жизни...
Просто, упущенное в свое время, и в диагностическом плане, а главное в организационном, в настоящее время вылазит, и вылазит не хило. Я говорю не только о РФ, это касается и Украины, на которой я довольно часто бываю и обязательно встречаюсь с коллегами.
Конечно, к левому, первому снимку, даже при определенном настрое "придраться нельзя".
Просто, наши и Ваши организаторы здравоохранения, довольно часто являющиеся, именно, дезорганизаторами этого самого здравоохранения, не хотят признать "возможностей" того или иного метода, в том числе, и флюорографии, считая её панацеей "ранней диагностики", но мы - то прекрасно понимаем, что "это" не так, и в тубарском плане, и это надо признать, заподозрить "единичные очаги" весьма проблемно. По большому счету в тубарском векторе можно считать "отправной точной" - уже инфильтративный. В плане онкологии "маленький рачокс", мы довольно часто распознаём, не потому, что это так, а просто - повезло. Простыл пациент, и вот вокруг "компроментированного" участка увидели рачокс + парапроцесс. "Простуду" полечили, парапроцесс ушел, и тенечки нет, нас обозвали "козлами", а через 3 годика, смотришь "тенечка появилась", и уже не исчезали.
Вот такие пироги...
На "Радиология 2009" был интересный доклад о ранней диагностике рака легкого, в частности, там сказали, что америкосы проводившие КТ-скрининг для выявления малого рака легких, в настоящее время от него отказались, посчитав экономически не выгодным, мол на продолжительность жизни это не влияет... Вот так...
"самоуверенность дилетантов - предмет зависти профессионалов"
А у нас, хотели хорошо, а получилось как всегда... Мы много чего берём с западных стандартов, от которых, они сами порой про анализировав отходят, мы же просто ляпаем...что бы было, а вдруг.
"Знаешь, у некоторых врачей есть комплекс мессии — им необходимо спасать мир. А у тебя комплекс Рубика — тебе необходимо решать головоломки."
Цифровая флюоро (стоимость - аппарат + процесс), не намного дешевле полноформатного цифрового снимка (кстати, такие аппараты уже есть - цифра только для ОГК) зато, "выявляемость" заметно повышается, и это "аппаратный фактор", правда, необходим один маленький ньюансик.
А может быть тут ничего страшного нет, случай явно не запущенный, главное оперативно (в смысле решительно) и, возможно, оперативно подойти к данному случаю. В онко направил, а как там решат - будет видно.
Ну, как в "ОНКО", в отдельных случаях, могут мурыжить и наблюдать - знаем. Своего рота тоже - лотерея, к кому попадет...
Всем добрый вечер! Скажите ,Валентин Львович, а как вы видите организацию о которой говорите?
А, мы как-то с коллегами попробовали. Идет поток, фактически флюорографический, и параллельно съёмке, за своим АРМом сидит врач-рентгенолог, и сразу анализирует снятое, т.е. "описывает", и сразу-же "непонятное" доснимается в нужных проекциях, или направляется сразу-же в рентгеновский кабинет на томографию. Заключение сразу, после прохождения флюорографии. Такая организация оправдывает себя со всех сторон. Вот, только данному врачу, с учетом "цифрового потока", главный врач, если он умный или мудрый, будет платить около двух ставок, только за эту работу. Выгода - огромная.
у нас это норма. в больнице договор со многими страх.компаниями. идут пациенты. если даже пациент ушел, а мы позднее описывем и видим изменения , пациента , когда он приходит за ответом, ждет дообследование. по другому, наверно, только там где нет должной аппаратуры для дообследования и они направляются для этого в другие места. наверно, проблема в отсутствии необходимой аппаратуры на местах...
Или есть те , кто не дообследует по причине , что за это не заплатят?
Вся изюмина в том, что все делается сразу, на пациенте, которые, именно, в настоящее время находится здесь, у нас.
все это возможно при наличии времени и аппаратуры. меня все время забавляет в "" фраза администрации - нет денег и достать не от куда. смотришь в окно из кабинета - джипы, дорогущие иномарки, сверкающие гиперцентры( кстати, московские и питерские) , нефтяные компании, и т.д. и думаешь :" да, действительно, от куда же их взять городу на своих жителей..."
Не дообследовать пациента по какой либо причине чревато для собственного заработка и доброго имиджа, и не дай Бог дойти до судебных разбирательств. Исключение - когда пациент убыл в неизвестность (по жительству). Всё остальное - или неопытность, или халатность. Со вторым имею несчастье работать бок о бок. И ничего, всё сходит, как с гуся, что и обидно... К тому же есть еще у врача такой пунктик, как совесть (у некоторых его заменяет профессиональное честолюбие). Сам себе тупых ошибок не простишь. У меня в плане дообследования оба варианта: на одной работе дообследую сразу тех из общего потока, кого нужно, максимум - на следующий день (в плане томо, скопии и графии) в виду занятости. На второй работе - назначаю обследования на следующий день, т.к. читаю флюоро после обеда в пустом кабинете.
А по снимку от 17.07.09. - показалась гиперплазия правого корня, особенно настораживает тело. В паренхиме - пусто. А вообще, приходится встречаться с такими случаями бурно растущих опухолей, что промежуток в 6 месяцев между флюорографиями пациента не спасает: вот он был (корни не расширены, малоструктурны, паренхима интактна) и вот он пришел (центральный рак, выпирающий по контуру корня с лучистостью и гиповентиляцией верхней доли; на ФБС - карциноматоз трахеи и бронхов, обтурация в\д бронха серой опухолью, цитология - аденокарцинома), а вот через 2 недели его уж и нет на свете (онко:-лечение симптоматическое по месту жительства). Рентгенолог всегда должен быть готов отстоять сою правоту в том, в чем прав.
Verum plus uno esse non potest.
При хронической нехватке врачей и денег на оплату врачам, управления ЛПУ, бухгалтерии и прочие парамедицинские структуры ЛПУ переполнены и "населяющие их" оплачиваются довольно не плохо. Организаторы здравоохранения давно закрепили за собой иммидж дезорганизаторов здравоохранения с выраженным коррупционно-клановым духом.
Если оставить пока в стороне коррупционеров из администрации и нахлебников из "бухгалтерии и прочиих парамедицинских структур" можно ли уже заключить (с учётом передового пиндосского опыта), что рентгенология (в самом широком смысле) не обеспечивает эффективного выявления ранних стадий рака лёгкого)? И нельзя ли в этом вопросе положиться на МРТ, если она станет массово доступной?
Неоднозначно всё
У нас каждый день по 120-140 пациентов на флюорограмме. Хочется, что-бы заключение было острым, как нож - по одну сторону или норма, или что-то остаточное после прошедших битв за здоровье, может какая-то сердечная патология с своим рентгенсимптомокомплексом, а по другую - все что еще может привести к худшим последствиям (начальный ТБС, Са...). Если придираться к таким корням - можно потонуть в дообследованиях и контролях. А кто возьмет на себя ответственность в таком случае сказать, как отрезать?
Я думаю в этом и отличие рентгенолога "от бога" придираться там где необходимо. Таких не много... очень хотелось бы приблизиться к этой когорте.
может я не прав, но зачастую мы особенно придираемся к сотрудникам, знакомым( здесь же родственнки) и к "заинтересованным". ко всем придираться невозможно, действительно утоним.
Правильно ставите вопрос Петрович!
Но, увы, от специалистов и врачей мало, что зависит. Решение примут люди в лучем случае "при сем присутствующие", в худшем - "в стороне стояшие".
Принятие "решений, кажущихся хорошими", наглядно показал пример с "Мосрентгеном".
Полностью согласен. Это я так, пост фактум придираюсь. На практике такие корни задержки в написании кода не вызывают.
Verum plus uno esse non potest.
Рентгенология как раз наиболее эффективна для выявления ранних стадий рака легкого (и не только). Проведение КТ-скринга - вопрос чисто экономический, к тому же современные цифровые технологии традиционной рентгенографии вполне приближаются к КТ. Проблема скорее в том, а проводится ли скриниг (по нашему профосмотр) и в каком объеме. В рассматриевом нами случае речь идет не о ранней диагностике, а об обнаружении мтс без выявленного первичного очага.
Что касается МРТ, то этот метод вряд ли будет использоваться для выявления малого рака легких, прежде всего ввиду его низкой чувствительности к легочной ткани, кроме того он дороже и занимает значительно больше времени по сравнению с КТ.
P.S. Еще о скрининге... Сегодня финны рассказывали о маммоскрининге у них. Проводят с 1987 года, за это время смертность от РМЖ снизилась на 50%, в 90-95% выявляется 1 стадия (нащ вопрос "сколько процентов выявлено 3-4 стадий?" не поняли). После этого утверждения, что "время обнаружения опухоли не влияет на продолжительность жизни", мне представляются сомнительными.
"самоуверенность дилетантов - предмет зависти профессионалов"
Поламали копья, и будя - на КТ консолидированные переломы 3,4,5 ребер.
На этих изображениях не видна костная структура рёбер. Игорь Иванович, а на флюорограммах Вы её видите? Если не трудно, каковы размеры матрицы: сколько пикселей и сколько миллиметров? Разрешение какое: пар линий на миллиметр?
Неоднозначно всё
Для меня то, что Вы спрашиваете - матюки какие-то. Где и как это смотреть?
Так видна костная структура рёбер на флюорограммах ваших?
Это смотреть надо в сопроводительной документации. В разделе основных параметров. Может называться «спецификация». В даже в паспорте аппарата может быть. Если дадите точное название модели (это уж точно в паспорте), можно поискать в интернете.
Неоднозначно всё
Сегодня обратил внимание при читке флюорограмм, что практически на всех очень четко видна костная структура. Даже, если бы было что-то не так - все равно изменить ничего нельзя.