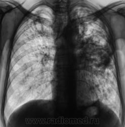
Пол пациента: Мужской пол Тип патологии: Инфекция Область исследования: Грудная клетка и верхние дыхательные пути Методы исследования: Rg Жил на дальнем хуторе "мужичок", не тужил, коровок разводил... Но заболел у "мужичка" зуб, совсем невмоготу. Думал "мужичок" - прямо к "зубнику", но направили его (7 лет не проходил) на "флюру".. ID:2382 Цель публикации: Консультация Tue, 30/03/2010 - 19:52 #1 brainmodel Offline Last seen: 7 months 1 week ago Joined: 18.03.2010 - 22:04 Posts: 2881 У нас в службе - максимум - 5 лет непрхождения флюоро. Вы нас переплюнули. Вот так и у нас, ходил один, на зубы жалился, потом по дороге в садик с двумя детишками закашлялся и помер при них от легочного кровотечения. Verum plus uno esse non potest. Tue, 30/03/2010 - 19:53 #2 brainmodel Offline Last seen: 7 months 1 week ago Joined: 18.03.2010 - 22:04 Posts: 2881 А насчет коровок - не всчтречался, честно. По литературе судить не берусь. Verum plus uno esse non potest. Tue, 30/03/2010 - 20:21 #3 Катенёв Валенти... Offline Last seen: 7 years 5 months ago Joined: 22.03.2008 - 22:15 Posts: 54876 Произведены томограммы. Приложения: Tue, 30/03/2010 - 20:24 #4 brainmodel Offline Last seen: 7 months 1 week ago Joined: 18.03.2010 - 22:04 Posts: 2881 Хороший кавернозный туб. Verum plus uno esse non potest. Tue, 30/03/2010 - 20:36 #5 Катенёв Валенти... Offline Last seen: 7 years 5 months ago Joined: 22.03.2008 - 22:15 Posts: 54876 brainmodel wrote: Хороший кавернозный туб. А, не фиброзно-кавернозный? Wed, 31/03/2010 - 15:28 #6 Vikkur Offline Last seen: 5 years 3 weeks ago Joined: 24.09.2009 - 14:34 Posts: 1749 Конечно ФКТ..) Классика жанра. Да зуб теперь долго лечить не будут(( Виктор. Wed, 31/03/2010 - 20:48 #7 Катенёв Валенти... Offline Last seen: 7 years 5 months ago Joined: 22.03.2008 - 22:15 Posts: 54876 Не так "крут", как предыдущий, но заслуживает внимания. Приложения: Wed, 31/03/2010 - 23:52 #8 Наталия Offline Last seen: 9 years 1 week ago Joined: 30.07.2008 - 13:24 Posts: 538 Инфильтративный туберкулёз с обеих сторон
У нас в службе - максимум - 5 лет непрхождения флюоро. Вы нас переплюнули. Вот так и у нас, ходил один, на зубы жалился, потом по дороге в садик с двумя детишками закашлялся и помер при них от легочного кровотечения.
Verum plus uno esse non potest.
А насчет коровок - не всчтречался, честно. По литературе судить не берусь.
Verum plus uno esse non potest.
Произведены томограммы.
Хороший кавернозный туб.
Verum plus uno esse non potest.
А, не фиброзно-кавернозный?
Конечно ФКТ..) Классика жанра. Да зуб теперь долго лечить не будут((
Виктор.
Не так "крут", как предыдущий, но заслуживает внимания.
Инфильтративный туберкулёз с обеих сторон