You are here

Рак желудка. Ваше мнение коллеги.

Пол пациента: 
Область исследования: 
Методы исследования: 

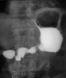
Пациент направлен на рентгенологическое исследование врачом терапевтом. Пациент предъявляет жалобы на боли в эпигастральной области. За последний год значительно похудел.

Иллюстрации представлены по мере заполнения желудка взвесью сернокислого бария.


1.R.Zh_..jpg
1.R.Zh_..jpg
2.R.Zh_..jpg
2.R.Zh_..jpg

 

 

 

 

 

 

 

 

 

 

 


3.R.Zh_..jpg
3.R.Zh_..jpg
4.R.Zh_..jpg
4.R.Zh_..jpg

 

 

 

 

 

 

 

 

 

 

 


5.R.Zh_..JPG
5.R.Zh_..JPG
6.R.Zh_..JPG
6.R.Zh_..JPG

 

 

 

 

 

 

 

 

 

 

 

 


7.R.Zh_..jpg
7.R.Zh_..jpg
8.R.Zh_..JPG
8.R.Zh_..JPG

 

 

 

 

 

 

 

 

 

 

 

 

 


9.R.Zh_..JPG
9.R.Zh_..JPG
10.R.Zh_..jpg
10.R.Zh_..jpg

 

 

 

 

 

 

 

 

 

 

 

 

 

 


11.R.Zh_..jpg
11.R.Zh_..jpg
12.R.Zh_..JPG
12.R.Zh_..JPG

 

 

 

 

 

 

 

 

 

 

 

 


13.R.Zh_..jpg
13.R.Zh_..jpg
14.R.Zh_..JPG
14.R.Zh_..JPG

 

 

 

 

 

 

 

 

 

 

 

 


15.R.Zh_..JPG
15.R.Zh_..JPG
16.R.Zh_.JPG
16.R.Zh_.JPG

 

 

 

 

 

 

 

 

 

 

 

Ваше мнение коллеги по поводу "образования" в луковице 12-ти перстной кишки, помеченного жёлтыми стрелками, и по поводу "образования" в желудке, помеченного красными стрелками.

AttachmentSize
Image icon 1.R.Zh_..jpg79.1 KB
Image icon 2.R.Zh_..jpg85.96 KB
Image icon 3.R.Zh_..jpg67.98 KB
Image icon 4.R.Zh_..jpg51.43 KB
Image icon 5.R.Zh_..JPG57.45 KB
Image icon 6.R.Zh_..JPG84.88 KB
Image icon 7.R.Zh_..jpg84.64 KB
Image icon 8.R.Zh_..JPG93.43 KB
Image icon 9.R.Zh_..JPG87.44 KB
Image icon 10.R.Zh_..jpg74.87 KB
Image icon 11.R.Zh_..jpg81.69 KB
Image icon 12.R.Zh_..JPG66.73 KB
Image icon 13.R.Zh_..jpg54.1 KB
Image icon 14.R.Zh_..JPG24.07 KB
Image icon 15.R.Zh_..JPG86.09 KB
Image icon 16.R.Zh_.JPG26.54 KB
Анатолий Владимирович Шумаков's picture
Offline
Last seen: 8 years 3 months ago
Joined: 16.10.2009 - 21:16
Posts: 1941

Уважаемый Валентин Львович!

Полностью согласен, что данном наблюдении мы сталкиваемся с инфильтративным тотальным навообразованием желудка, однако протяженность поражения заставляет включить в ряд дифференциальной диагностики еще и лимфому.

Катенёв Валентин Львович's picture
Offline
Last seen: 7 years 5 months ago
Joined: 22.03.2008 - 22:15
Posts: 54876

Спасибо Вам коллега за высказанное мнение.

v1tal's picture
Offline
Last seen: 5 years 2 months ago
Joined: 07.06.2008 - 19:41
Posts: 1779

Ой Валентин Львович, с вашего разрешения хотел бы продемонстрировать рак желудка, но другую форму,  со значительным распрастранением:

Изображение:Изображение  Изображение

 Изображение  Изображение  Изображение

 

"Знаешь, у некоторых врачей есть комплекс мессии — им необходимо спасать мир. А у тебя комплекс Рубика — тебе необходимо решать головоломки."

Катенёв Валентин Львович's picture
Offline
Last seen: 7 years 5 months ago
Joined: 22.03.2008 - 22:15
Posts: 54876

Ой как интересно. А безоар исключили?

v1tal's picture
Offline
Last seen: 5 years 2 months ago
Joined: 07.06.2008 - 19:41
Posts: 1779

     Пациентка попала ко мне после проведения ФГДС, эндоскописты толком не могла попасть в антральный отдел, гистологию взяли, а после скопии уже была про оперирована.

   Жалобы у неё интересные; быстрая насыщаемость после не большого приёма пищи, визуально-очень худенькая.

"Знаешь, у некоторых врачей есть комплекс мессии — им необходимо спасать мир. А у тебя комплекс Рубика — тебе необходимо решать головоломки."

Катенёв Валентин Львович's picture
Offline
Last seen: 7 years 5 months ago
Joined: 22.03.2008 - 22:15
Posts: 54876

Так что на операции, что гистология? То, что быстро "насыщается" - это второй вопрос.

v1tal's picture
Offline
Last seen: 5 years 2 months ago
Joined: 07.06.2008 - 19:41
Posts: 1779

Гистологически -злокачественный рост, более точную формулировку не вспомню, данная пациенка была месяца 2-3 назад, ей провели гастрэктомию, хирурги-онкологи в протоколе описали о наличие объёмного образования желудка,  с распрастранением во все отделы.

"Знаешь, у некоторых врачей есть комплекс мессии — им необходимо спасать мир. А у тебя комплекс Рубика — тебе необходимо решать головоломки."

tatyana's picture
Offline
Last seen: 4 years 6 months ago
Joined: 24.06.2009 - 08:33
Posts: 2090

Спасибо, Виталий, красивая демонстрация, редкий случай

"самоуверенность дилетантов - предмет зависти профессионалов"

Катенёв Валентин Львович's picture
Offline
Last seen: 7 years 5 months ago
Joined: 22.03.2008 - 22:15
Posts: 54876

А на Ваш взгляд, Татьяна Валентиновна, какой "зверь" - это.

tatyana's picture
Offline
Last seen: 4 years 6 months ago
Joined: 24.06.2009 - 08:33
Posts: 2090

Катенёв Валентин Львович wrote:

А на Ваш взгляд, Татьяна Валентиновна, какой "зверь" - это.

Не поняла вопрос, если про демонстрацию Виталия, то экзофитный рак желудка, субтотальное распространение

"самоуверенность дилетантов - предмет зависти профессионалов"

Катенёв Валентин Львович's picture
Offline
Last seen: 7 years 5 months ago
Joined: 22.03.2008 - 22:15
Posts: 54876

Именно по этому случаю - спасибо.

Катенёв Валентин Львович's picture
Offline
Last seen: 7 years 5 months ago
Joined: 22.03.2008 - 22:15
Posts: 54876

А может быть "первый случай", представленный, как РАК, и вовсе не РАК?

Mila85's picture
Offline
Last seen: 3 years 6 months ago
Joined: 15.03.2012 - 16:59
Posts: 1790

Страдая над очередным непонятным желудком, смотрю старые темы. За последние полгода у нас где-то было два пациента с подтвержденным раком желудка (у обоих инфильтративная форма). Так вот у обоих не было ни болей, ни рвоты.. только похудение и очень быстрая насыщаемость пищей, так что можно наверное считать это одним из типичных симптомов

Катенёв Валентин Львович's picture
Offline
Last seen: 7 years 5 months ago
Joined: 22.03.2008 - 22:15
Posts: 54876

Mila85 wrote:

только похудение и очень быстрая насыщаемость пищей, так что можно наверное считать это одним из типичных симптомов

+1, запущенного рака желудка

Катенёв Валентин Львович's picture
Offline
Last seen: 7 years 5 months ago
Joined: 22.03.2008 - 22:15
Posts: 54876

Интересный подбор...

NIL's picture
NIL
Offline
Last seen: 4 days 14 hours ago
Joined: 25.11.2013 - 20:50
Posts: 18217

Катенёв Валентин Львович wrote:

Интересный подбор...

И знакомый. Недавно в "Классике жанра" был представлен. Запомнился.


"Слушай всех, прислушивайся к немногим, решай сам".©

Катенёв Валентин Львович's picture
Offline
Last seen: 7 years 5 months ago
Joined: 22.03.2008 - 22:15
Posts: 54876

Да, был...