Пол пациента:
Тип патологии:
Область исследования:
Методы исследования:
- https://radiomed.ru/sites/default/files/styles/case_slider_image/public/user/12/2.TT_..P5070009.JPG?itok=dgXFvSlZ
- https://radiomed.ru/sites/default/files/styles/case_slider_image/public/user/12/3.TT_..P5070009a.jpg?itok=DZ-dKrqF
- https://radiomed.ru/sites/default/files/styles/case_slider_image/public/user/12/4.TT_..P5070010.JPG?itok=HdG7gmqe
- https://radiomed.ru/sites/default/files/styles/case_slider_image/public/user/12/5.TT_.P5070011.JPG?itok=ekbflH1_
- https://radiomed.ru/sites/default/files/styles/case_slider_image/public/user/12/6.TT_.P5070011a.jpg?itok=WGbv3FlY
ID:3667
Ну, и, после "репозиции".
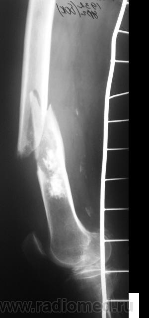
н\3 бедра со смещением по длине и ширине. Отломки находятся под углом открытым кпереди прим. в 10-15 град.
После репозиции дистальный отломок смещён латерально на ширину кортикального слоя.
Прийди к Себе
А не создается-ли впечатления, что представленный перелом патологический? Первый снимок произведен через час после травмы.
костных структур в проекции прелома, то действительно это патологический перелом. Честно не сразу обратил внимание.
Прийди к Себе
Валентин Львович, здравствуйте! Позвольте несколько вопросов.
1.Обстоятельства и механизм травмы?
2.Не проводилось ли оперативное лечение с гетеропластикой? если да - по какой причине?
3. Что за включения в мягких тканях по задней поверхности бедра - локальные обызествления в артерии?
Болезни ног: виды, симптомы, причины, профилактика и лечение
Отвечаю.
1.Механизма и обстоятельств травмы не знаю, снимки привезли описать утром, травма была ночью 07.05.
2.Ранее никаких оперативных вмешательств не проводилось.
3. Включения в мягких тканях, действительно напоминают локальные обызвествления в стенках сосудов.
Меня очень смутила картинка, на предмет наличия "хрящеподобной матрицы".
Что это - не скажу (под рукой нет литературы). Но. 1.Процесс опухолевый - в средней части, по заднему контуру отмечается вздутие кости. 2.Относительно длительно текущий - вздутие достаточно протяженное. 3.Пока еще относительно доброкачественный - кортикальный слой созранен. 4. Многоузловой (мультифокальный) - не менее 3-х узлов/фокусов. В зависимости от возраста/пола/анамнеза вполне может быть метастатическим. 5.Перелом все-таки патологический - линия перелома проходит через верхнюю часть патологического субстрата.
Андрей Юрьевич
Это может оказаться и безобидным обызвествлением костного мозга после инфаркта, хондромой или хондросаркомой. - Уроки Татьяны Валентиновны. Но вздутия не вижу - его в боковой проекции симулирует третий фрагмент в месте перелома. Ну а метастаз - маловероятен... Опять же - "горим" на сочетанной патологии...
Как по мне, так там наоборот, локальное (хотя и на достаточном протяжении) УТОЛЩЕНИЕ кортикального слоя по задней поверхности, хотя и в сочетании с умеренным вздутием.
Болезни ног: виды, симптомы, причины, профилактика и лечение
Но наверно гипертрофия заднего полуцилиндра бедра - вряд ли заслуга локального процесса, скорее особенности осанки, и биомеханики нижней конечности - это очень длительное явление... Конечно тут без гистологии - пропадем...
Данная рентген-картина может быть характерна и для хондросаркомы.
"Знаешь, у некоторых врачей есть комплекс мессии — им необходимо спасать мир. А у тебя комплекс Рубика — тебе необходимо решать головоломки."
Здравствуйте Виталий Валерьевич!
Вот, и у меня зародилась такая подлая мысль о наличии "хондро", и даже очень вероятно хондросаркомы.
Как Вы, как "гранит" науки. Я понял - море нового и интересного.
Здравствуйте Валентин Львович, Вы правы интересного море-голова кругом идет, зарылся в куче электронной литературы, но думаю со временем все уложиться
.
"Знаешь, у некоторых врачей есть комплекс мессии — им необходимо спасать мир. А у тебя комплекс Рубика — тебе необходимо решать головоломки."
Дай Вам Бог! Конечно, все уложится.
хочу поддержать доктора Анатолия Шумакова: перелом вряд ли патологический, обызвествление костного мозга бедренной кости и вероятно стенок сосудов
Присоединяюсь, поддерживаю.
--------------
"Просто, по видимости, не видеть логики в очевидных вещах - это тоже одно из свойств некоторых умов, наряду с грустными думами о свойствах ума других." © Vega 08/10/2011
А, вот интересно, такое обызвествление костного мозга, по всей видимости, не могло родиться на "ровном месте"?
По Рейнбергу - чаще посттравматические (травмы без перелома).
--------------
"Просто, по видимости, не видеть логики в очевидных вещах - это тоже одно из свойств некоторых умов, наряду с грустными думами о свойствах ума других." © Vega 08/10/2011
А, травмы не было, это первая в жизни.
Может и не помнить (если перелома нет - какая это травма
).
Сосудистые нарушения - возможны с меньшей вероятностью.
--------------
"Просто, по видимости, не видеть логики в очевидных вещах - это тоже одно из свойств некоторых умов, наряду с грустными думами о свойствах ума других." © Vega 08/10/2011
Может и не помнит, и то верно...