Подскажите, склероз или аневризма?

4 posts / 0 new
Last post
Ирина Борисова's picture
Offline
Last seen: 3 months 1 week ago
Joined: 15.12.2021 - 22:35
Posts: 15

Добрый день.

Я женщина, 40 лет. Симптомы: руки и ноги перестали  функционаровать корректно (в основном слева, слабость и например нога в лево не поворачивается), по левой стороне туловища нарушена чувствительность (щеку не чувствую тоже), ощущение отека в левом ухе, боли в животе в левом подреберье и примерно подребрами по центру, левой рукой не могу поднять предмет более 500гр (иначе темнеет в глазах и оседаю), 2 месяц назад была задержка мочеиспускания в течение 1,5 суток, в тот же день был обморок, стали сильнокровоточить десна. Такое состояние впервые, раньше не случалось.

Подскажите, пожалуйста:

1. склероз или аневризма? (при этом год назад было все в порядке)

2. почему в описании указали, что диафрагма релаксированна, а в заключении не указали? сказали что там немного внизу, она не гладкая, но тем не менее. При этом год назад все было в порядке

3. может еще что то есть

 

 

 

Игорь Ким 2's picture
Offline
Last seen: 3 hours 18 min ago
Joined: 02.03.2021 - 09:53
Posts: 728

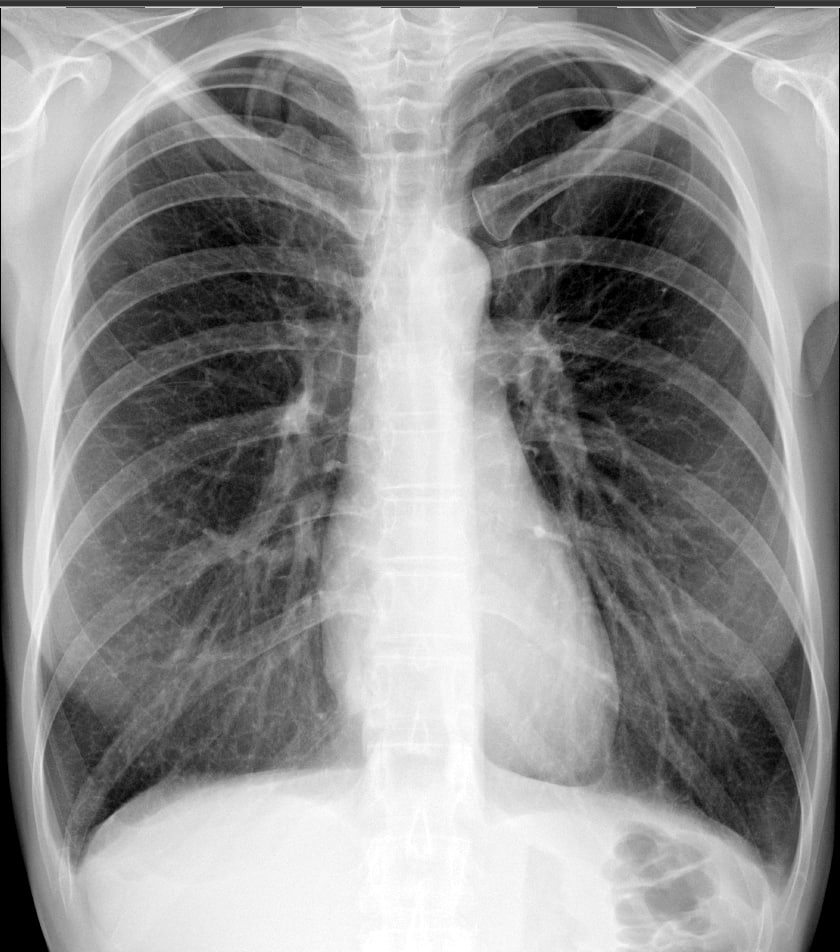
Не нахожу ни склероза( вероятно Вас интересовал пневмофиброз),  ни аневризмы( не уточненной чего), ни релаксации одного из куполов диафрагмы. Легкие и сердце в пределах нормы. 

Ирина Борисова's picture
Offline
Last seen: 3 months 1 week ago
Joined: 15.12.2021 - 22:35
Posts: 15

Большое спасибо Вам, что посмотрели снимки.

Мне как раз в описании написали: склерозирована дуга аорты, диафрагма частично релаксированна (на словах объяснили тем, что внизу контур не гладкий и есть какие то спайки). Посмотрела снимок годичной давности, там действительно был гладкий четкий контур диафрагмы. Про пневмофиброз в описании и в заключении нет ничего. Поэтому обратилась за сторонним мнением. Если все в пределах нормы, то получается склерозированной дуги аорты нет? И по снимку нет пневмофиброза? Тогда не понятно что искать, симптоматика у меня не очень, отдышка также присутствует.

Игорь Ким 2's picture
Offline
Last seen: 3 hours 18 min ago
Joined: 02.03.2021 - 09:53
Posts: 728

По существу мне не чего добавить к вышеизложенному( норма). Да, Вам и рентгенолог ничего плохого не написал, тоже норму. По мелочам, не имеющим ни какого значения сложно говорить и противоречить "Диафрагма расположена обычно, частично релаксирована" ( при том, что она имеет два купола, правый и левый). Не факт, что " ... дуга аорты склерозирована", а не скиалогия связанная с задним отрезком ребра и позвоночником. Ваша симптоматика ни как не связана с рентгенограммой гр. клетки и лучше всего обратиться к неврологу.