You are here

Развейте мои сомнения

Пол пациента: 
Методы исследования: 

Молодой человек. В течение недели повышение t по вечерам, слабость, потливость. Вопрос не новый: отпустить или помучать?

 

 

  • https://radiomed.ru/sites/default/files/styles/case_slider_image/public/user/2861/tkachenko.jpg?itok=tMhPpfYM
ID:8033
Helios's picture
Offline
Last seen: 1 year 2 weeks ago
Joined: 06.08.2010 - 15:16
Posts: 4417

Слева в 1 межреберье-кольцевидная тень(?).Снимок нечеткий, похоже,ЦФГ, у меня часто бывает что-то не совсем понятное на цифровых снимках, надо сделать прицельно верхние доли.

Vikkur's picture
Offline
Last seen: 5 years 4 weeks ago
Joined: 24.09.2009 - 14:34
Posts: 1749

думается что отпустиь, но архив глянуть..

Приложения: 
pryamoy.jpg

Виктор.

lupan's picture
Offline
Last seen: 7 years 3 months ago
Joined: 07.01.2010 - 17:17
Posts: 1406

Я вбил себе в голову, что контур средостения на уровне дуги легочной артерии ненормальный. Глюки?

Приложения: 
pryamoy1.jpg

Великое преймущество врача заключается в том, что он не обязан следовать собственным советам. ( А. Кристи)

Helios's picture
Offline
Last seen: 1 year 2 weeks ago
Joined: 06.08.2010 - 15:16
Posts: 4417

Одно другому не мешает.Если меня что-то смущает-обязательно дообследую.Редко ошибалась.Зато спала спокойно.

Катенёв Валентин Львович's picture
Offline
Last seen: 7 years 5 months ago
Joined: 22.03.2008 - 22:15
Posts: 54876

На мой взгляд, не "глюки", а реальность.

Да, и еще есть, за что глаз цепляется.

Vikkur's picture
Offline
Last seen: 5 years 4 weeks ago
Joined: 24.09.2009 - 14:34
Posts: 1749

В даномм случае показано УЗИ?

Архив в принципе есть?

Виктор.

lupan's picture
Offline
Last seen: 7 years 3 months ago
Joined: 07.01.2010 - 17:17
Posts: 1406

Vikkur wrote:

В даномм случае показано УЗИ?

Архив в принципе есть?

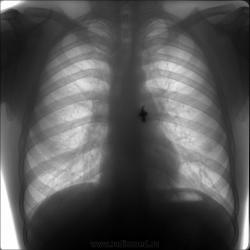
Архив есть, но я его не сбросил на флэшку. При ретроспективном просмотре на работе картина стабильная за последний год (на мой взгляд). Еще смущает затенение передне-верхнего средостения.

 

Приложения: 
tkachenko.jpg

Великое преймущество врача заключается в том, что он не обязан следовать собственным советам. ( А. Кристи)

Vikkur's picture
Offline
Last seen: 5 years 4 weeks ago
Joined: 24.09.2009 - 14:34
Posts: 1749

извините не понял, как это стабильно за последний год? а за предыдущий?, всего сколько снимков?

Виктор.

lupan's picture
Offline
Last seen: 7 years 3 months ago
Joined: 07.01.2010 - 17:17
Posts: 1406

Более раннего архива нет. Год как попал "в места не столь отдаленные".

Великое преймущество врача заключается в том, что он не обязан следовать собственным советам. ( А. Кристи)

Катенёв Валентин Львович's picture
Offline
Last seen: 7 years 5 months ago
Joined: 22.03.2008 - 22:15
Posts: 54876

lupan wrote:

Более раннего архива нет. Год как попал "в места не столь отдаленные".

Ну, в "местах не столь отдаленных", надо думать, что прогрессирование процесса пойдет, и для динамики "года" ждать не придется. Но вот есть опасение, именно с учетом того места, которое Вы пометили стрелочками (да, мне и "тело" правого корня, как-то не симпатично), что тут может вылезни не "специфика".

Vikkur's picture
Offline
Last seen: 5 years 4 weeks ago
Joined: 24.09.2009 - 14:34
Posts: 1749

птичка как я понял в клетке), я бы понаблюдал...

Виктор.

lupan's picture
Offline
Last seen: 7 years 3 months ago
Joined: 07.01.2010 - 17:17
Posts: 1406

Вообще-то, первая мысль была об объеме в средостении (тимома?). В понедельник буду резать, с комментариями коллег - более уверенно.

Великое преймущество врача заключается в том, что он не обязан следовать собственным советам. ( А. Кристи)

lupan's picture
Offline
Last seen: 7 years 3 months ago
Joined: 07.01.2010 - 17:17
Posts: 1406

Vikkur wrote:
птичка как я понял в клетке), я бы понаблюдал...

Так ведь болеет, жалуется. А от чего лечить?

Великое преймущество врача заключается в том, что он не обязан следовать собственным советам. ( А. Кристи)

Helios's picture
Offline
Last seen: 1 year 2 weeks ago
Joined: 06.08.2010 - 15:16
Posts: 4417

lupan wrote:

Вообще-то, первая мысль была об объеме в средостении (тимома?). В понедельник буду резать, с комментариями коллег - более уверенно.

  А какие признаки тимомы Вы видите на данных рентгенограммах?  УЗИ назначали? УЗИ-сты хорошо видят тимомы-были случаи в практике.

Vikkur's picture
Offline
Last seen: 5 years 4 weeks ago
Joined: 24.09.2009 - 14:34
Posts: 1749

а кровь какова..да и жалобы не конкретные... потливсть слабость, t, последнее под сомнением, что реально проводили термометрию.?. зеки народ ушлый.... на "больничке попариться к бабке не ходи".. ведь вкамере как не крути у всех новеньких будет слабость и потливость..

Виктор.

lupan's picture
Offline
Last seen: 7 years 3 months ago
Joined: 07.01.2010 - 17:17
Posts: 1406

Helios wrote:

lupan wrote:

Вообще-то, первая мысль была об объеме в средостении (тимома?). В понедельник буду резать, с комментариями коллег - более уверенно.

  А какие признаки тимомы Вы видите на данных рентгенограммах?  УЗИ назначали? УЗИ-сты хорошо видят тимомы-были случаи в практике.

Во-первых, слегка расширенный контур (стрелки). Во-вторых, затененное средостение (овал). В-третьих, тимома - это очень предположительно, может оказаться и что-то другое, хотя бы и норма.

Великое преймущество врача заключается в том, что он не обязан следовать собственным советам. ( А. Кристи)

lupan's picture
Offline
Last seen: 7 years 3 months ago
Joined: 07.01.2010 - 17:17
Posts: 1406

У нас не госпиталь, а обычная медчасть, поэтому об УЗИ речи нет, надо отправлять по этапу.

Великое преймущество врача заключается в том, что он не обязан следовать собственным советам. ( А. Кристи)

lupan's picture
Offline
Last seen: 7 years 3 months ago
Joined: 07.01.2010 - 17:17
Posts: 1406

Vikkur wrote:
а кровь какова..да и жалобы не конкретные... потливсть слабость, t, последнее под сомнением, что реально проводили термометрию.?. зеки народ ушлый.... на "больничке попариться к бабке не ходи".. ведь вкамере как не крути у всех новеньких будет слабость и потливость..

Кровь взяли, результат я не дождался. А косячит он врят ли, есть такие, кот. обращаются только когда действительно заболеют.

Великое преймущество врача заключается в том, что он не обязан следовать собственным советам. ( А. Кристи)

Евгений1313's picture
Offline
Last seen: 13 years 5 months ago
Joined: 15.10.2010 - 19:13
Posts: 808

ИЩЕТЕ ЧЁРНУЮ КОШКУ В ТЕМНОЙ КОМНАТЕ. НЕ МУДРСТВУЙТЕ. НИЧЕГО ТАМ НЕТ.

tatyana's picture
Offline
Last seen: 4 years 6 months ago
Joined: 24.06.2009 - 08:33
Posts: 2090

согласна с Валентином Львовичем, на мой взгляд, корни расширены, и в s6 как-то прозрачность снижена

"самоуверенность дилетантов - предмет зависти профессионалов"

Almo's picture
Offline
Last seen: 18 hours 50 min ago
Joined: 28.09.2008 - 18:50
Posts: 8304

Дефигурация  тени средостения слева есть, но это может быть за счёт поворота. Проще всего развеять сомнения на R-скопии лёгких.