You are here

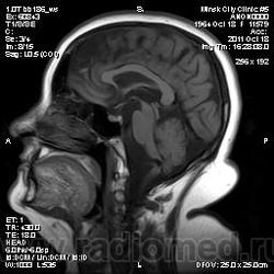
Деформация ствола и продолговатого мозга

Пол пациента: 
Область исследования: 
Методы исследования: 

Женщина с жалобами на головокружение, нарушение координации движений, двоение в глазах. Жалобы беспокоят около 6 лет. В анамнензе гипертония (АД до 200), сейчас (после наступления менопаузы) - гипотоник 100/60... МР-ангиография - позволяет "резать" только веллизиев круг (такие ограниченные возможности системы)...

  • https://radiomed.ru/sites/default/files/styles/case_slider_image/public/user/12806/t1_sag0003_0.jpg?itok=Rv5GRYD4
  • https://radiomed.ru/sites/default/files/styles/case_slider_image/public/user/12806/t1_sag0004_0.jpg?itok=wLGfgLy1
  • https://radiomed.ru/sites/default/files/styles/case_slider_image/public/user/12806/t20004_1.jpg?itok=Cg0JLThJ
  • https://radiomed.ru/sites/default/files/styles/case_slider_image/public/user/12806/t20005_1.jpg?itok=7JeyYI0E
  • https://radiomed.ru/sites/default/files/styles/case_slider_image/public/user/12806/t20007_0.jpg?itok=xcWXvDS-
  • https://radiomed.ru/sites/default/files/styles/case_slider_image/public/user/12806/t20008_0.jpg?itok=r80H_tcN
  • https://radiomed.ru/sites/default/files/styles/case_slider_image/public/user/12806/t20009_0.jpg?itok=004avTnV
  • https://radiomed.ru/sites/default/files/styles/case_slider_image/public/user/12806/novyy_tochechnyy_risunok_0.jpg?itok=n1eya-7z
  • https://radiomed.ru/sites/default/files/styles/case_slider_image/public/user/12806/novyy_tochechnyy_risunok_2.jpg?itok=hUQDxRTK
ID:16294
И.Бондаренко's picture
Offline
Last seen: 2 days 6 hours ago
Joined: 13.09.2011 - 22:55
Posts: 9208

За счёт чего деформация? Добавочная косточка?

Helios's picture
Offline
Last seen: 9 months 2 weeks ago
Joined: 06.08.2010 - 15:16
Posts: 4417

То есть-жалобы появились только 6 лет назад?Интересно)))

nnemo's picture
Offline
Last seen: 11 years 3 months ago
Joined: 13.09.2011 - 18:32
Posts: 561

по поводу жалоб - добивался как мог - говорят появились около 6 лет назад, медленно прогрессировали. С чем либо конкретным появление жалоб не связывает... А деформация по моему за счет значительно изогнутой основной артерии с диаметром около 8 мм на всем протяжении. Дополнительной косточки я не вижу...

Сергей Нагорный's picture
Offline
Last seen: 9 years 10 months ago
Joined: 13.07.2010 - 22:49
Posts: 1370

Почему картинки не увеличиваются? Т2Sag нет?

С уважением, С.Н. Нагорный

dr.Pro's picture
Offline
Last seen: 12 years 11 months ago
Joined: 06.04.2010 - 20:08
Posts: 30

не может быть фузиформной аневризмы основной артерии?

nnemo's picture
Offline
Last seen: 11 years 3 months ago
Joined: 13.09.2011 - 18:32
Posts: 561

Нагорный Сергей Николаевич wrote:

Почему картинки не увеличиваются? Т2Sag нет?

T2sag нет.... Есть еще аксиалы PD. Экспортирую обычно из е-фильма как Jpeg файлы. Почему не увеличиваются не знаю... 

irena's picture
Offline
Last seen: 9 years 9 months ago
Joined: 28.09.2009 - 13:00
Posts: 289

нейроваскулярный конфликт между основной артерией и стволом .

Helios's picture
Offline
Last seen: 9 months 2 weeks ago
Joined: 06.08.2010 - 15:16
Posts: 4417

Ирина, это , как я понимаю,врожденное состояние?Почему тогда жалобы только 6 лет назад появились?

Nela's picture
Offline
Last seen: 6 years 2 months ago
Joined: 12.05.2009 - 20:43
Posts: 1847

Ну, круто изогнулась базиллярис! Но причина не врожденная, скорее всего всего гипертония и атеросклероз.

Ольга Сергеевна's picture
Offline
Last seen: 11 years 4 months ago
Joined: 20.08.2011 - 19:38
Posts: 105

А мне кажется долихоэктазия и патологическая извитость основной артерии.

Ольга Сергеевна's picture
Offline
Last seen: 11 years 4 months ago
Joined: 20.08.2011 - 19:38
Posts: 105

А двоится скорее всего за счет компрессии глазодвигательных нервов, больше правого. 

cupitur's picture
Offline
Last seen: 12 years 1 week ago
Joined: 19.09.2011 - 10:42
Posts: 262

А это не может быть 1-й тип аномалии Арнольда-Киари?

nnemo's picture
Offline
Last seen: 11 years 3 months ago
Joined: 13.09.2011 - 18:32
Posts: 561

cupitur wrote:

А это не может быть 1-й тип аномалии Арнольда-Киари?

По моему однозначно НЕТ. Тут кстати совсем недавно в соседней ветке обсуждали аномалии Киари.... ;)

Popovpavel's picture
Offline
Last seen: 7 years 4 months ago
Joined: 08.06.2009 - 00:23
Posts: 649

Может, жалобы и не связаны с этим сдавлением...

nnemo's picture
Offline
Last seen: 11 years 3 months ago
Joined: 13.09.2011 - 18:32
Posts: 561

Popovpavel - а какие еще варианты с вашей точки зрения? Заранее спасибо....

Popovpavel's picture
Offline
Last seen: 7 years 4 months ago
Joined: 08.06.2009 - 00:23
Posts: 649

nnemo wrote:

Popovpavel - а какие еще варианты с вашей точки зрения? Заранее спасибо....

Сдавление продолговатого мозга извитой базилярной артерией. Аневризмы вроде бы не видно... А какие еще могут быть варианты?

nnemo's picture
Offline
Last seen: 11 years 3 months ago
Joined: 13.09.2011 - 18:32
Posts: 561

Popovpavel wrote:

nnemo wrote:

Popovpavel - а какие еще варианты с вашей точки зрения? Заранее спасибо....

Сдавление продолговатого мозга извитой базилярной артерией. Аневризмы вроде бы не видно... А какие еще могут быть варианты?

"... А деформация по моему за счет значительно изогнутой основной артерии с диаметром около 8 мм на всем протяжении...." - это мое изначальное мнение, значит наши мнения совпадают ;) 

Popovpavel's picture
Offline
Last seen: 7 years 4 months ago
Joined: 08.06.2009 - 00:23
Posts: 649

Всегда приятно, когда мнения двух специалистов совпадают)