You are here

ОГК. Покой нам только снится

Пол пациента: 
Методы исследования: 

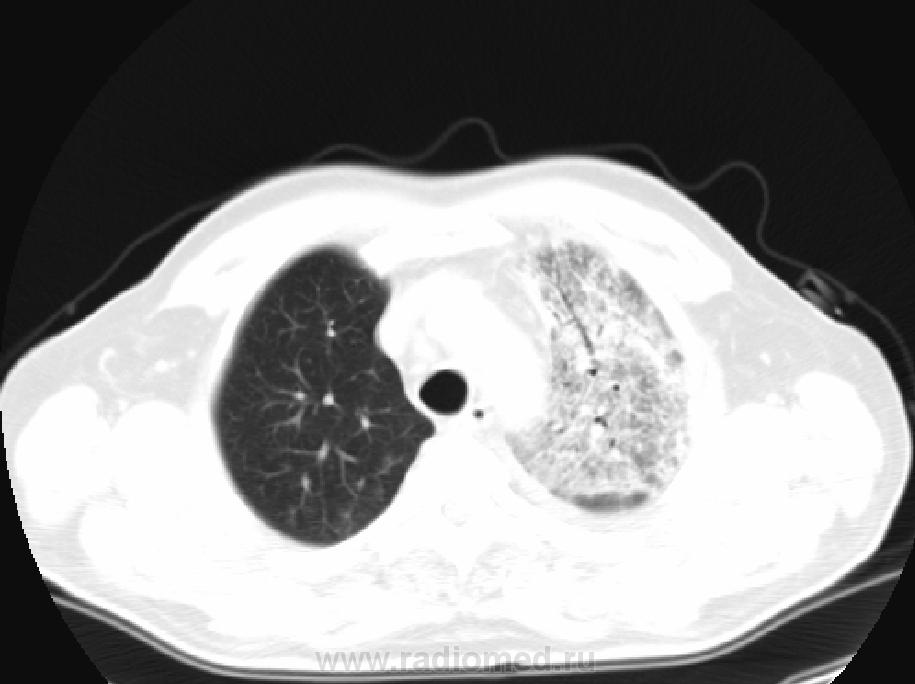
Пацинент 70 лет.  Поступил в терапевтическое отделение 30.12.2011,затем переведен в реанимацию. Заболел остро. Температура тела до 39 С, озноб, ЧДД- 26 в 1 мин. Гемограмма: лейк.14,5*109/л, п/я-24%. лимф.12%. СОЭ - 60 мм/ч. В мокроте сгустки крови. Аускультация - в проекции S1+2  левого легкого многочисленные влажные хрипы (5.1.12). УЗИ сосудов нижних конечностей - норма. Гастроскопия - гастрит. Прошу  Вас коллеги высказать мнение по данному процессу в легких.    Представляю рисунки от 30-31. 2011. КТ от 2.1.2012. Жду. С уважением Nikolas

  • https://radiomed.ru/sites/default/files/styles/case_slider_image/public/user/7898/ris.2_0.jpg?itok=oxC7lUaC
  • https://radiomed.ru/sites/default/files/styles/case_slider_image/public/user/7898/ris.4.jpg?itok=kAzN9aHQ
  • https://radiomed.ru/sites/default/files/styles/case_slider_image/public/user/7898/ris.6.jpg?itok=3HjEnKoa
  • https://radiomed.ru/sites/default/files/styles/case_slider_image/public/user/7898/4.jpg?itok=NXzRYPpQ
  • https://radiomed.ru/sites/default/files/styles/case_slider_image/public/user/7898/7.jpg?itok=GsEYwgCg
  • https://radiomed.ru/sites/default/files/styles/case_slider_image/public/user/7898/10.jpg?itok=pvLxls9o
  • https://radiomed.ru/sites/default/files/styles/case_slider_image/public/user/7898/13.jpg?itok=rP8BO9nc
  • https://radiomed.ru/sites/default/files/styles/case_slider_image/public/user/7898/16.jpg?itok=lmswdzWU
  • https://radiomed.ru/sites/default/files/styles/case_slider_image/public/user/7898/20.jpg?itok=mKZMaD-n
  • https://radiomed.ru/sites/default/files/styles/case_slider_image/public/user/7898/26.jpg?itok=qcPwhvif
ID:17891
Катенёв Валентин Львович's picture
Offline
Last seen: 7 years 5 months ago
Joined: 22.03.2008 - 22:15
Posts: 54876

Первое впечатление - очень похоже на пневмонию или БАР. Это только по рентгенограммам.

Средостение тоже себя не правильно ведет, несколько влево устремилось...

Dr.Akulla's picture
Offline
Last seen: 12 years 3 months ago
Joined: 28.05.2011 - 20:06
Posts: 218

ТЭЛА и инфарктная пневмония в дифряд

ДокRg's picture
Offline
Last seen: 12 years 8 months ago
Joined: 30.03.2011 - 20:05
Posts: 105

+1 за ТЭЛА со всеми вытекающими...

КАГ's picture
Offline
Last seen: 10 months 4 weeks ago
Joined: 24.10.2010 - 16:30
Posts: 199

Рак...

Катенёв Валентин Львович's picture
Offline
Last seen: 7 years 5 months ago
Joined: 22.03.2008 - 22:15
Posts: 54876

Интересно, а левую бококую первично делали? Вот глянуть бы на её, хотя бы через "замочную скважину", уверен, что делали...

Almo's picture
Offline
Last seen: 11 hours 57 min ago
Joined: 28.09.2008 - 18:50
Posts: 8304

ИМХО: С учётом всей имеющейся информации больше данных за полисегментарную пневмонию  слева в S1-2 и S2  справа, с относительно быстрой отрицательной динамикой с 30.12.11 на момент 31.12.11г. В диф.ряд можно вынести ТЭЛА, но не уверен, что при инфаркт-пневмонии будет такое острое начало, + отсутствие изменений со стороны вен нижних конечностей, на УЗИ- всё это делает этот DS возможным, но не очень вероятным. Версия БАРа с 2-хстороннней локализацией и таким острым началом, то же не очень убедительна, хотя возможна. 

Nikolas's picture
Offline
Last seen: 1 month 4 weeks ago
Joined: 21.12.2010 - 20:37
Posts: 4560

при поступлении боковой. Возможно две причины: 1) старая болезнь, которая очень плохо поддается лечению. В педиатрии почти невозможно исправить положение с боковыми снимками; 2) в больнице имеется КТ и врачи полагались на дальнейшее КТ исследование. В этом есть определенный смысл. Очень хочу, чтобы дали оценку наши специалисты по КТ - исследованию. Ситуация с больным не очень простая. Много разных опекунов и т.д. С уважением Nik

Бородулин М.А.'s picture
Offline
Last seen: 1 year 2 months ago
Joined: 17.02.2011 - 01:10
Posts: 1409

 

Клебсиелла-пневмония. Пневмонии, вызванные грамотрицательными бактериями из рода клебсиелла, принято разделять на пневмонии с острым началом и обычно молниеносным течением п на пневмонии с постепенным, почти незаметным началом. Острая пневмония (типичная, или фридлендеровская, пневмония) вызывается первыми тремя штаммами рода клебсиелла, рост которых подавляется многими антибиотиками. Другие штаммы этого рода резистентны к большинству антибиотиков. Обычно они оказываются возбудителями пневмонии у хронических больных, получающих длительное время антибиотики. Эта нозокомиальная инфекция начинается обычно незаметно и отличается хроническим течением.

 Болеют главным образом мужчины пожилого и старческого возраста, страдающие алкоголизмом или недостаточным питанием, вызванным какой-либо хронической истощающей болезнью. Клебсиелла-пневмония в противоположность пневмококковой пневмонии почти никогда не присоединяется к какому-либо заболеванию верхних дыхательных путей. Она возникает как самостоятельная болезнь.

 Острая клебсиелла-пневмония начинается всегда внезапно с озноба, болей в боку и кашля. Лихорадка может быть постоянного типа (как при пневмококковой пневмонии) или ремиттирующая; у стариков она может быть умеренной или полностью отсутствовать. Вязкая мокрота с трудом откашливается, по своему виду и консистенции она напоминает черносмородиновое желе. Часто встречается мокрота, представляющая собой желе, окрашенное красной кровью. Примерно в 20% случаев развивается нерезко выраженная желтуха.

 Рентгенологическое исследование выявляет гомогенное затемнение большей части или всей доли легкого. Величина и расположение очагов инфильтрации при клебсиелла-пневмонии (как и при пневмококковой) обычно не следуют сегментарному делению легкого. Они располагаются чаще всего в задних отделах верхних долей пли в верхних частях нижних долей легкого. Поражается обычно только одна (чаще верхняя) доля правого легкого.

 Физические методы исследования часто оказываются недостаточными для выявления очагов инфильтрации легкого. Объясняется это обтурацией бронхов желеобразной слизью, вызывающей ослабление дыхательных шумов в пораженных отделах легкого.

 Болезнь в 2/3 случаев протекает с умеренным лейкоцитозом, в 1/3 случаев содержание лейкоцитов в крови остается нормальным. В мазке мокроты обнаруживается большое количество грамотрицательных диплобацилл, окруженных светлой капсулой.

 Клебсиелла-пневмония относится к числу весьма тяжелых болезней. Даже при адекватных методах лечения смертность составляет 25 — 50%. Диагноз этой болезни должен обсуждаться при любой тяжелой пневмонии, возникшей внезапно у больного в возрасте старше 50 лет. Особенно часто встречаются при этой пневмонии ремиттирующая лихорадка, слизистая или желеобразная мокрота с кровью, повторные ознобы, обусловленные ранним образованием абсцессов. Если больной острой пневмонией переживает первые 2 сут, у него уже обнаруживаются абсцессы. У некоторых из переживших острый период больных пневмония полностью не разрешается и приобретает хроническое течение. В результате этого развивается пневмосклероз с бронхоэктазами и с одной или несколькими полостями в пораженном легком. В отличие от фиброзно-кавернозного туберкулеза в мокроте этих больных постоянно обнаруживаются диплобациллы клебсиелла-пневмонии.

ЛГ's picture
Offline
Last seen: 9 years 3 months ago
Joined: 06.01.2010 - 12:31
Posts: 3523

Отсутствие изменений со стороны нижних конечностей может быть при ТЭЛА, если источник тромбов в малом тазу. В данном случае клинически, рентгенологически - пневмония, согласна. Если есть боли, то для исключения ТЭЛА нужна КТ с контрастированием, никто не мешает сочетанию тромбоза и пневмонии. При отсутствии подозрений на ТЭЛА - рентгенконтроль после курса лечения. 

КАГ's picture
Offline
Last seen: 10 months 4 weeks ago
Joined: 24.10.2010 - 16:30
Posts: 199

А не может ли это быть туберкулезом???

Катенёв Валентин Львович's picture
Offline
Last seen: 7 years 5 months ago
Joined: 22.03.2008 - 22:15
Posts: 54876

КАГ wrote:

А не может ли это быть туберкулезом???

Вполне может быть

Nikolas's picture
Offline
Last seen: 1 month 4 weeks ago
Joined: 21.12.2010 - 20:37
Posts: 4560

палочки Коха, исследуем мокроту на цитологию и т.д. Лечение и обследование в новогодние каникулы - опасно для жизни. Грустно, но доля правды есть. Очень благодарен коллегам за полезные и нужные мнения.  Жду новых решений.  Однако просветите, как расшифровать ИМХО? С уважением Nikolas

Приложения: 
grust_.jpg
КАГ's picture
Offline
Last seen: 10 months 4 weeks ago
Joined: 24.10.2010 - 16:30
Posts: 199

ИМХО или IMHO ( от англ. IMHO ), также имхо или imho ( строчными буквами ) - известное выражение, означающее"по моему скромному мнению" ( англ. In My Humble Opinion ). 

Как - то так...

Bob's picture
Bob
Offline
Last seen: 12 years 4 months ago
Joined: 20.08.2011 - 20:06
Posts: 218

Nikolas wrote:

 Однако просветите, как расшифровать ИМХО? С уважением Nikolas

Есть еще одно толкование:

Имею мнение. Попробуй опровергнуть.

ЛГ's picture
Offline
Last seen: 9 years 3 months ago
Joined: 06.01.2010 - 12:31
Posts: 3523

Новости о пациенте есть?

Nikolas's picture
Offline
Last seen: 1 month 4 weeks ago
Joined: 21.12.2010 - 20:37
Posts: 4560

есть от 10.01.2012. по сравнению с данными от 2.1.2012. Но не так, как хотелось всем  врачам. Буду держать в курсе событий. Все Ваши мнения передал лечащему врачу. С уважением Nik

Nikolas's picture
Offline
Last seen: 1 month 4 weeks ago
Joined: 21.12.2010 - 20:37
Posts: 4560

динамику от 10.02.12. Что скажите  коллеги. С уважением Nik

Приложения: 
ris._0.jpgris.1.jpgris.2.jpgscreenshot-3.jpgscreenshot-4.jpgscreenshot-5.jpgscreenshot-6.jpgscreenshot-7.jpgscreenshot-8.jpg
Петрович's picture
Offline
Last seen: 7 years 7 months ago
Joined: 22.03.2009 - 01:13
Posts: 3908

Положительная динамика вялая. Может и правда клебсиелла-пневмония, но надо найти возбудителя в мокроте.
Жаль, что нет снимков/флюорограмм до болезни.

Неоднозначно всё

Катенёв Валентин Львович's picture
Offline
Last seen: 7 years 5 months ago
Joined: 22.03.2008 - 22:15
Posts: 54876

Петрович wrote:

Положительная динамика вялая. Может и правда клебсиелла-пневмония, но надо найти возбудителя в мокроте.
Жаль, что нет снимков/флюорограмм до болезни.

Клебсиелла - то довольно высокая материя для нас, обретающихся на глубокой периферии.

А, почему автор умалчивает о горячо любимой МБТ, ведь Его Величество, порой, выступает не только, как "Величество", но и как "Изворотливый имитатор" всевозможной патологии.

Что с МБТ, уважаемый автор случая, или она не найдена, если не найдена - большой непорядок...

Nikolas's picture
Offline
Last seen: 1 month 4 weeks ago
Joined: 21.12.2010 - 20:37
Posts: 4560

МБТ. Сделали бронхоскопию: рак, туберкулез не обнаружен. В содержимом бронхов МБТ, раковые клетки не найдены. Выделен возбудитель - стафилококк. Гистологию ждем. Состояние удовлетворительное.  С уважением Nik

ЛГ's picture
Offline
Last seen: 9 years 3 months ago
Joined: 06.01.2010 - 12:31
Posts: 3523

10 дней динамики. Немного... Клинически улучшение, рентгенологически - без деструкций, что радует. Я так понимаю, что не контрастировали, ТЭЛА не опровергли, но и не подтвердили. Выходит, банальная пневмония.

Катенёв Валентин Львович's picture
Offline
Last seen: 7 years 5 months ago
Joined: 22.03.2008 - 22:15
Posts: 54876

Nikolas wrote:

Гистологию ждем. Состояние удовлетворительное.  С уважением Nik

МБТ -  не найдена - большой непорядок...

--------------------------------------------------------

Найденный стафилокк - не возбудил... Конечно, стафилококк, тоже "славный парень", и бед натворить может очень даже много..., но до "изощренности ПАЛКИ" ему "не умываться"

"Палочное мнение" осталось..., осталось непоколебимо...

Nikolas's picture
Offline
Last seen: 1 month 4 weeks ago
Joined: 21.12.2010 - 20:37
Posts: 4560

не удаляю специфическое поражение. Несмотря на.......

Приложения: 
clip_image006.jpg
Катенёв Валентин Львович's picture
Offline
Last seen: 7 years 5 months ago
Joined: 22.03.2008 - 22:15
Posts: 54876

Nikolas wrote:

не удаляю специфическое поражение. Несмотря на.......

У меня аналогичное чувство...

Бородулин М.А.'s picture
Offline
Last seen: 1 year 2 months ago
Joined: 17.02.2011 - 01:10
Posts: 1409

Nikolas wrote:

. Выделен возбудитель - стафилококк.

 

 Титр?

Nikolas's picture
Offline
Last seen: 1 month 4 weeks ago
Joined: 21.12.2010 - 20:37
Posts: 4560

19.1.12. Выписан в удовлетворительном состоянии. Лабораторные показатели в норме. Рисунки представлены. Выскажите свое мнение. С уважением Nikolas

Приложения: 
1.jpg2.jpg3.jpg4.jpg5.jpg6.jpg7.jpg8.jpg9.jpg
Петрович's picture
Offline
Last seen: 7 years 7 months ago
Joined: 22.03.2009 - 01:13
Posts: 3908

Пневмония с атипичной локализацией. Динамика понуждает к такому диагнозу. А что, палочек с Фамилией не было выявлено?

Неоднозначно всё

Бородулин М.А.'s picture
Offline
Last seen: 1 year 2 months ago
Joined: 17.02.2011 - 01:10
Posts: 1409

Nikolas wrote:

19.1.12. Выписан в удовлетворительном состоянии. Лабораторные показатели в норме. Рисунки представлены. Выскажите свое мнение. С уважением Nikolas

типичная картина пневмонии вызванной палочкой с фамилией))). 

Минус работе бак. лаборатории, или методике взятия материала.

Катенёв Валентин Львович's picture
Offline
Last seen: 7 years 5 months ago
Joined: 22.03.2008 - 22:15
Posts: 54876

Nikolas wrote:

19.1.12. Выписан в удовлетворительном состоянии. Лабораторные показатели в норме. Рисунки представлены. Выскажите свое мнение. С уважением Nikolas

Как я понял, что даже посев на средах "палок" не обнаружил.

Nikolas's picture
Offline
Last seen: 1 month 4 weeks ago
Joined: 21.12.2010 - 20:37
Posts: 4560

заметку пациента для отдаленного наблюдения. Посева не было. Больной из общей лечебной сети.

Бородулин М.А.'s picture
Offline
Last seen: 1 year 2 months ago
Joined: 17.02.2011 - 01:10
Posts: 1409

Nikolas wrote:

заметку пациента для отдаленного наблюдения. Посева не было. Больной из общей лечебной сети.

Думаю память не изменяет.

Всем пациентам пульмонологических отделений  должен быть выполнен клинический минимум обследования на туберкулез.

Включая трехкратную бактериоскопию

и посев.

Nikolas's picture
Offline
Last seen: 1 month 4 weeks ago
Joined: 21.12.2010 - 20:37
Posts: 4560

друг дорогой". Посевы не делают. В медицинском учреждении, где Вы работаете , делают посевы  мокроты на МБТ? С уважением Nik

Бородулин М.А.'s picture
Offline
Last seen: 1 year 2 months ago
Joined: 17.02.2011 - 01:10
Posts: 1409

 

МЕТОДИЧЕСКИЕ РЕКОМЕНДАЦИИ


№ 5589-РХ 
от 20 июля 2007 г.

"Организация выявления больных туберкулезом в амбулаторно-поликлинических и больничных учреждениях"



Настоящие методические рекомендации подготовлены Министерством здравоохранения и социального развития Российской Федерации при участии кафедры туберкулеза Государственного образовательного учреждения высшего профессионального образования "Курский государственный медицинский университет Федерального агентства по здравоохранению и социальному развитию (Коломиец В.М., Амельченко А.А., Кудинов С.М., Малыхина Т.И., Рачина Н.В.).

Методические рекомендации предназначены для специалистов медицинских организаций, оказывающих первичную медико-санитарную помощь больным туберкулезом в амбулаторно-поликлинических и больничных учреждениях, для врачей-специалистов, участвующих в оказании медицинской помощи больным туберкулезом, а также для врачей-интернов, клинических ординаторов, аспирантов по специальностям: "Инфекционные болезни", "Фтизиатрия", "Врач общей практики".

Микробиологическая диагностика

Микробиологические исследования являются обязательными при постановке диагноза туберкулеза любой локализации. При активном выявлении случаев заболевания они применяются для верификации диагноза и при невозможности провести обследование больного лучевыми методами (например: постельный больной или отказ от обследования в других условиях). Основное условие проведения - наличие патологического диагностического материала, т.е. например, при легочных формах туберкулеза - мокроты.

Бактериоскопическое исследование (микроскопия) - первый, наиболее быстрый, простой и дешевый метод выявления кислотоустойчивых микобактерий (КУМБ), к которым относятся и микобактерии туберкулеза (МБТ). Он позволяет обнаружить микобактерии при содержании их менее 10000 микробных тел в 1 мл материала. Тем не менее, микроскопия остается одним из основных диагностических исследований на первичных этапах обследования больных. Преимущество бактериоскопии заключается в быстроте получения результата (от 1 часа) и относительной простоте исследования. Для получения достоверного результата исследования мазка диагностического материала лаборант обязан просмотреть 100 полей зрения, и только тогда, не обнаружив КУМБ, он имеет право дать отрицательный ответ.

Культуральный метод (посев) позволяет выявлять микобактерии туберкулеза при наличии в исследуемом патологическом материале нескольких десятков жизнеспособных особей возбудителя. Это особенно важно при исследовании олигобациллярного диагностического материала от впервые выявленных или уже леченных больных, выделяющих малое количество микобактерий. Недостатки метода: необходимость в специализированной лаборатории, квалифицированном персонале, длительное время инкубации (от трех недель до трех месяцев).

Первичное бактериоскопическое обследование осуществляется всеми лечебно-профилактическими учреждениями и входит в диагностический минимум. На данном этапе выявляется наиболее эпидемически опасная категория пациентов.

Целью данного этапа является определение наличия/отсутствия кислотоустойчивых микобактерий в мокроте или другом диагностическом материале методом прямой микроскопии среди лиц с подозрением на туберкулез по клиническим и/или рентгенологическим симптомам. К ним относятся:

  1. обратившиеся за медицинской помощью с респираторными жалобами или симптомами интоксикации, характерными для туберкулеза (выявление по обращаемости);
  2. лица с изменениями, выявленными лучевыми методами или входящие в группы риска по заболеванию туберкулезом (активное выявление);
  3. привлеченные к обследованию (активное выявление) по результатам применения клинического метода;
  4. больные, находящиеся под наблюдением врачей узких специальностей по поводу ряда хронических заболеваний (активное выявление).
Вячеслав's picture
Offline
Last seen: 6 years 16 hours ago
Joined: 01.04.2010 - 19:56
Posts: 209

Здрвств., Nikolas. Был ли контроль в динамике и продолжение истории? СПС.

Nikolas's picture
Offline
Last seen: 1 month 4 weeks ago
Joined: 21.12.2010 - 20:37
Posts: 4560

К большому сожалению продолжения "истории" нет. Больной уехал в область по месту жительства.

Миргалина's picture
Offline
Last seen: 4 months 9 hours ago
Joined: 06.08.2015 - 20:04
Posts: 2882

Снова реинкарнация  случая. Иногда интересно. И несмотря на стафилококк, я вот больше за инфаркт-пневмонию слева в в/доле  выскажусь. Справа тоже характерные для ТЭЛА изменения есть. Короче, за ТЭЛА. Перед Новым годом мне тоже прислали аналогичный случай, острый, правда, буквально за несколько дней деструкция в верхней доле слева образовалась, с кровохарканьем. рентген-картина идентична.

Nikolas's picture
Offline
Last seen: 1 month 4 weeks ago
Joined: 21.12.2010 - 20:37
Posts: 4560

Очень желательно увидеть Ваш случай (ТЭЛА с распадом) уважаемая Миргалина! Постарайтесь для общества.

Миргалина's picture
Offline
Last seen: 4 months 9 hours ago
Joined: 06.08.2015 - 20:04
Posts: 2882

Я бы с радостью. Да где ж я теперь его возьму? Прислали на СД-диске из района на консультацию. Конечно, если контрольные снимки представят, попробую разместить.