Факт коррекции по прямой проекции констатировать сложно, надо боковую. А вот констатировать отсутствие пневмоторакса, который часто бывает как осложнение операции, вполне можно. Видимо, этого и хотят.
метод Насса (миниинвазивная коррекция воронкообразной деформации грудной клетки). В англоязычной литературе данная операция называется как Nuss procedure или MIRPE (Miniinvasive repair of pectus excavatum). Во время операции производится два небольших разреза сбоку. В эти разрезы устанавливается одна-две металлические пластины, которые выпрямляют грудину и фиксируют ее в нужном положении. По прошествии 3-4 лет пластину вынимают, при этом правильная форма грудной клетки сохраняется. Операция проводится под общим наркозом. После оперативного вмешательства пациент проводит в стационаре около недели. В течение месяца необходимо соблюдать щадящий режим – разрешены только непродолжительные прогулки по городу. В течение трех первых месяцев не рекомендуется заниматься спортом. Однако, уже после 6 месяцев пациент полностью реабилитируется и может вернуться к обычной жизни. Пластина по прошествии этого времени почти не ощущается, болевой синдром больше не беспокоит.
Пусть меня покрасят зеленой краской, которая не отмывается, но никогда такого нет видела и даже, может к своему стыду, не слышала! Такое вижу впервые, честное слово! Спасибо, что показали, хотя бы буду в курсе. Век живи, век учись!!!
Уважаемый Валентин Львович, я абсолютно не ставил себе цели кого-то обидеть или задеть. Просто, действительно, сегодня услышал такую забавную версию, которая, с учетом современных молодежных течений в моде, имеет полное право на существование. И хотел услышать мнение коллег-лучевиков по этому поводу. Извините, если кого-то это задело.
Уважаемый Валентин Львович, я абсолютно не ставил себе цели кого-то обидеть или задеть. Просто, действительно, сегодня услышал такую забавную версию, которая, с учетом современных молодежных течений в моде, имеет полное право на существование. И хотел услышать мнение коллег-лучевиков по этому поводу. Извините, если кого-то это задело.
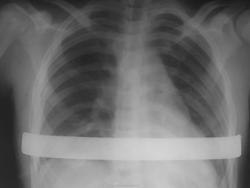
Воронкообразная деформация грудной клетки после пластики по Нассу.
ну зачем так быстро-то? я вот слышал версию, что это такой пирсинг))).
Сформулируем вопрос иначе, чего сейчас от нас хотят, кроме констатации факта коррекции деформации грудной клетки?
Факт коррекции по прямой проекции констатировать сложно, надо боковую. А вот констатировать отсутствие пневмоторакса, который часто бывает как осложнение операции, вполне можно. Видимо, этого и хотят.
метод Насса (миниинвазивная коррекция воронкообразной деформации грудной клетки). В англоязычной литературе данная операция называется как Nuss procedure или MIRPE (Miniinvasive repair of pectus excavatum). Во время операции производится два небольших разреза сбоку. В эти разрезы устанавливается одна-две металлические пластины, которые выпрямляют грудину и фиксируют ее в нужном положении. По прошествии 3-4 лет пластину вынимают, при этом правильная форма грудной клетки сохраняется.
Операция проводится под общим наркозом. После оперативного вмешательства пациент проводит в стационаре около недели. В течение месяца необходимо соблюдать щадящий режим – разрешены только непродолжительные прогулки по городу. В течение трех первых месяцев не рекомендуется заниматься спортом. Однако, уже после 6 месяцев пациент полностью реабилитируется и может вернуться к обычной жизни. Пластина по прошествии этого времени почти не ощущается, болевой синдром больше не беспокоит.
Спасибо Борис Юрьевич! Большое спасибо за иллюстрацию, никогда не видел.
Спасибо Vega! Спасибо за комментарий!.
не, ну это даже не интересно. Я про пирсинг хотел услышать, а Вы так сразу все карты и раскрыли.
Не за что, Валентин Львович. В последнее время много таких операций стало, так что есть вероятность, что придется столкнуться.
Зря Вы уважаемый Борис Юрьевич!
Никогда раньше не видел. По всей видимости, "рентгенологи" общей сети с таким не сталкиваются.
Вега, то понятно, Вега травматолог, и по проверенным данным "парагвайской разведки", ОН "крутой" травматолог, в самом лучшем понятии слова "крутой"...
Тоже не видела, спасибо за демонстрацию!
http://www.pedsurg.ru/dep_treatment.htm
https://www.youtube.com/channel/UCBGxoBUOqUT_bFhSeUgtWEw
Пусть меня покрасят зеленой краской, которая не отмывается, но никогда такого нет видела и даже, может к своему стыду, не слышала! Такое вижу впервые, честное слово! Спасибо, что показали, хотя бы буду в курсе. Век живи, век учись!!!
Уважаемый Валентин Львович, я абсолютно не ставил себе цели кого-то обидеть или задеть. Просто, действительно, сегодня услышал такую забавную версию, которая, с учетом современных молодежных течений в моде, имеет полное право на существование. И хотел услышать мнение коллег-лучевиков по этому поводу. Извините, если кого-то это задело.
Вы никого не обидели, Вы обогатили нас знаниями!
Это пояс верности, купленный в секандхенде.
Высоковато для области, которая ассоциируется с "верностью"...
А пояс, в прцессе эксплуатации ,мог и сместиться.
Тю, та это ж совсем ещё ребёнок, судя по грудной клетке. И может быть, даже мальчик. Кому же верность хранить?
Да нууу. Это проект по созданию кибернетического организма. На данном этапе в организм вживляют бронепластины))))
ПОмню в детстве ходил на спектакль в кукольный театр, так там был человек, на которого были надеты злодейские обручи.
Это случайно не он?
Ой, больной, что-то мне ваш снимок не нравится. Но ничего - щас мы в Фотошопе все подправим.